精密審美会グループの治療実績数
-
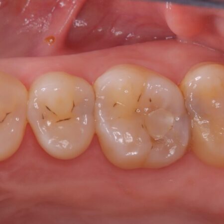
セラミック治療
2015~2025年6月 -
0 本
-
精密根管治療
2012~2025年6月 -
0 歯
-
矯正歯科治療
2012~2025年6月 -
0 件
-
インビザライン
2015~2025年6月 -
0 件
医院について
診療内容
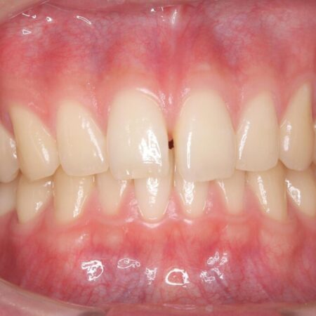
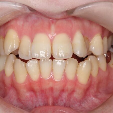
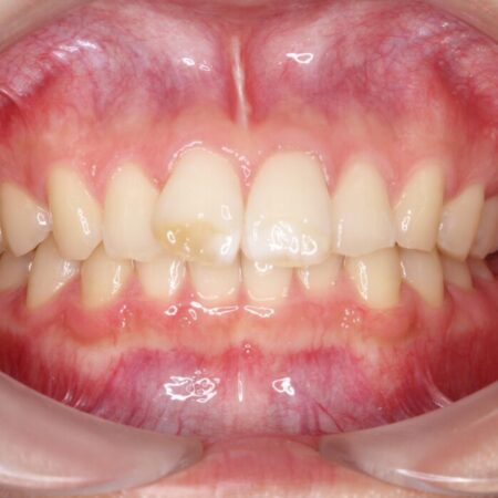
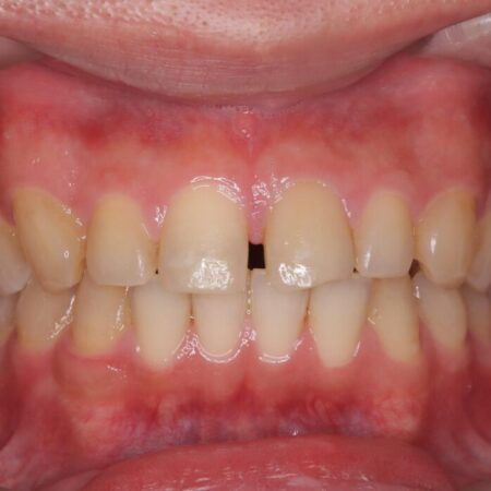
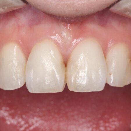
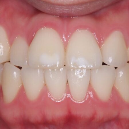
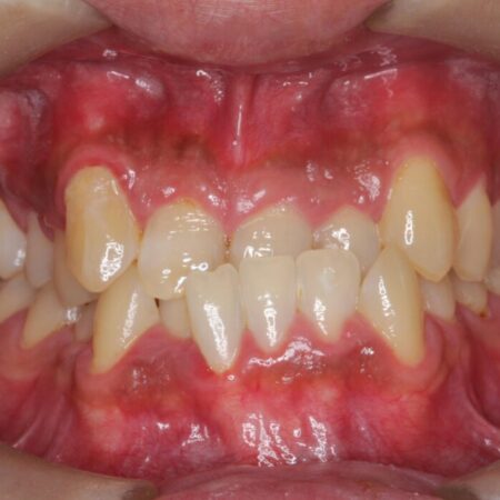
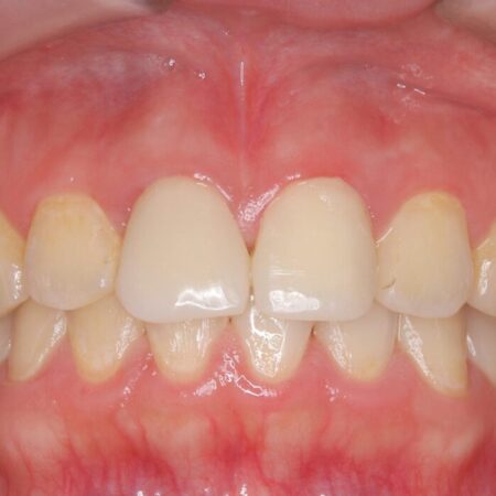
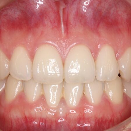
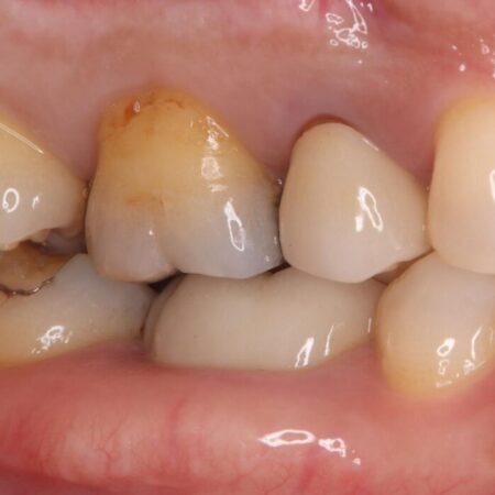
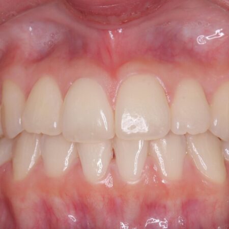
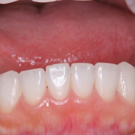
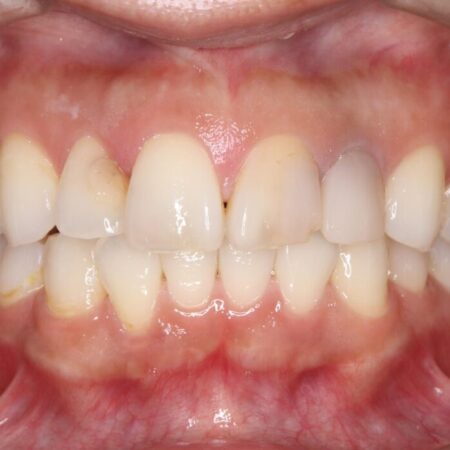
セラミック治療
Ceramic
審美治療はオールセラミック等の被せ物を使用し、美しさと健康の両方を目的としています。
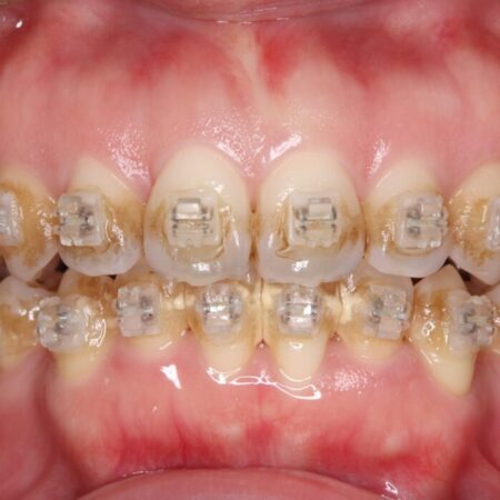
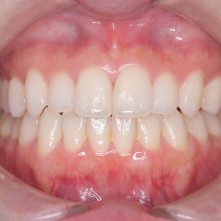
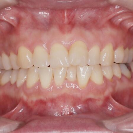
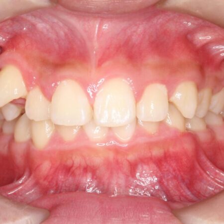
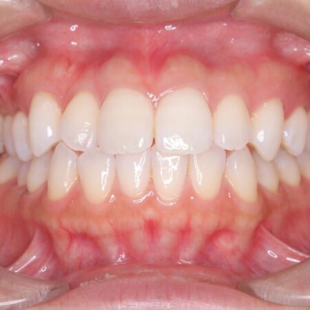
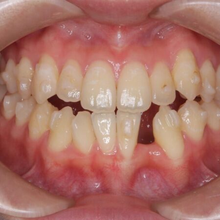
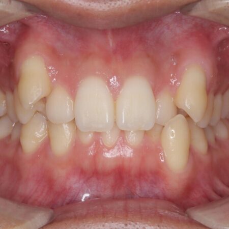
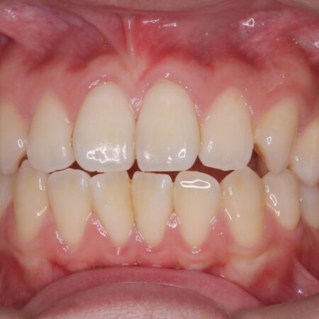
矯正歯科
Orthodontic
裏側矯正、マウスピース矯正など、目立たない矯正もお選びいただくことができます。
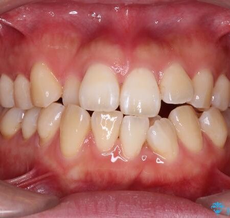
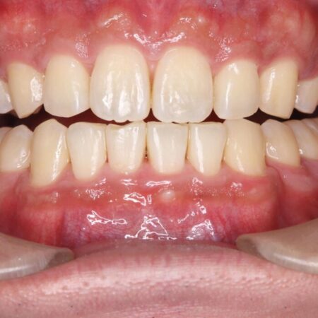
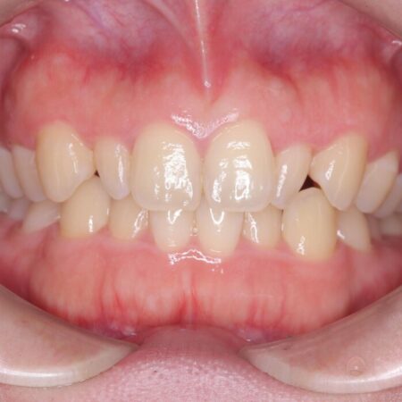
インビザライン
Invisalign
グループ累計症例数4,300件の経験豊富な歯科医師が治療計画を綿密に作成します。
インプラント
Implant
噛み合わせの再構築を含めた総合的な視点で、インプラントに取り組んでいます。
歯周病治療
Periodontics
歯茎の再生治療、歯槽骨の再生治療により、出来る限り歯を抜かないよう取り組んでいます。
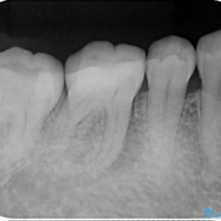
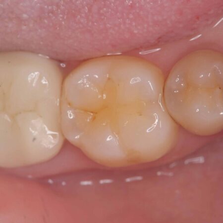
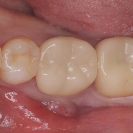
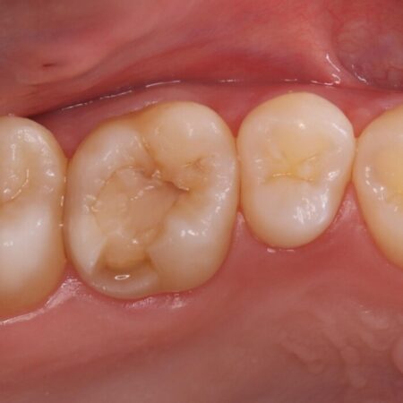
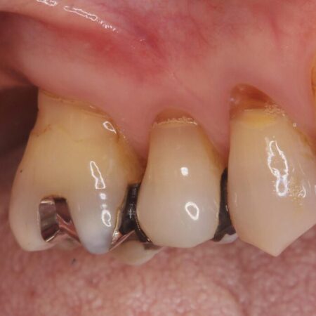
精密根管治療
Micro-endo
虫歯と神経を取るだけでは十分とは言えません。当院では必ずラバーダムを用いて根管治療を行います。
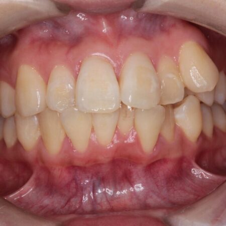
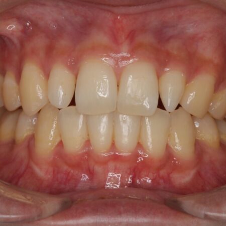
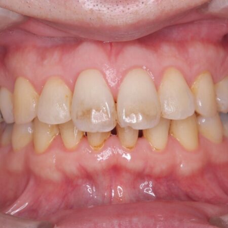
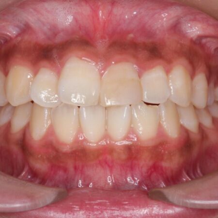
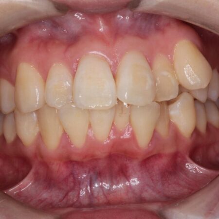
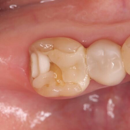
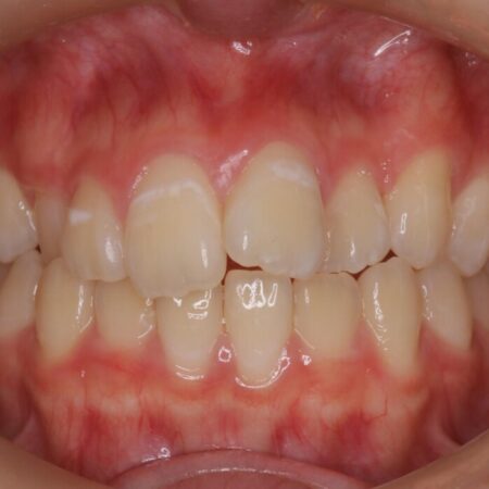
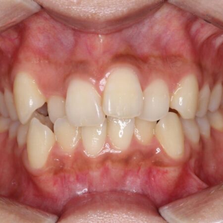
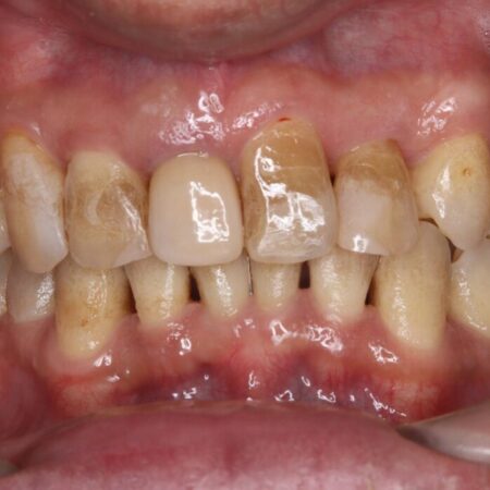
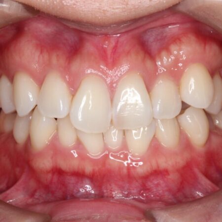
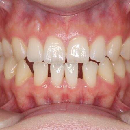
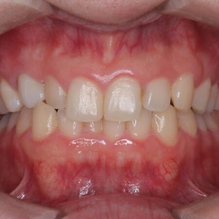
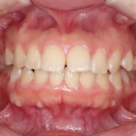
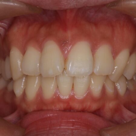
症例紹介
少しでも不安を払拭し、安心して当院の治療を受けていただけるように、当院で行った自由診療の症例を多数公開しています。
医院からのお知らせ
一覧を見る-
2025.11.27
[2025-2026] 年末年始の休診日のお知らせ -
2024.11.29
[2024-2025] 年末年始の休診日のお知らせ -
2024.8.1
[2024] 夏季休診のお知らせ -
2024.4.25
[2024] ゴールデンウイークの休診日のお知らせ -
2023.12.11
[2023-2024] 年末年始の休診日のお知らせ
医院ブログ
一覧を見る-
2025.10.24
歯の痛みがあるとき、すぐに歯医者に行くべきか? -
2024.11.27
マウスピース矯正ならインビザライン?特徴と医院の選び方を解説 -
2024.11.27
銀歯からセラミックへ? メリット・デメリットや歯科医院選びのポイントまで解説! -
2024.11.1
根管治療、なぜ失敗してしまうの?再発を防ぐための歯科医院選びのポイント -
2024.11.1
インプラントの寿命は?長く使い続けるためのポイントを解説!
診療の流れ
- 問診・無料カウンセリング
- 精密検査
- 診断・治療計画の説明
- 治療
- 定期検診・メンテナンス
患者様が当医院の治療法にご納得いただくまでは費用はかかりません。当医院では「歯の健康を第一に考えた治療」を徹底しています。これは審美歯科治療に限ったことではなく、矯正治療に対しても同じ姿勢で取り組んでいます。
治療費用・お支払い
当院では、高額になりがちな矯正歯科治療やインプラント治療が無理のない負担でお支払いただけるようデンタルローンを取り扱っております。
月々少ないご負担でお受けいただけます。お気軽にご相談ください。
