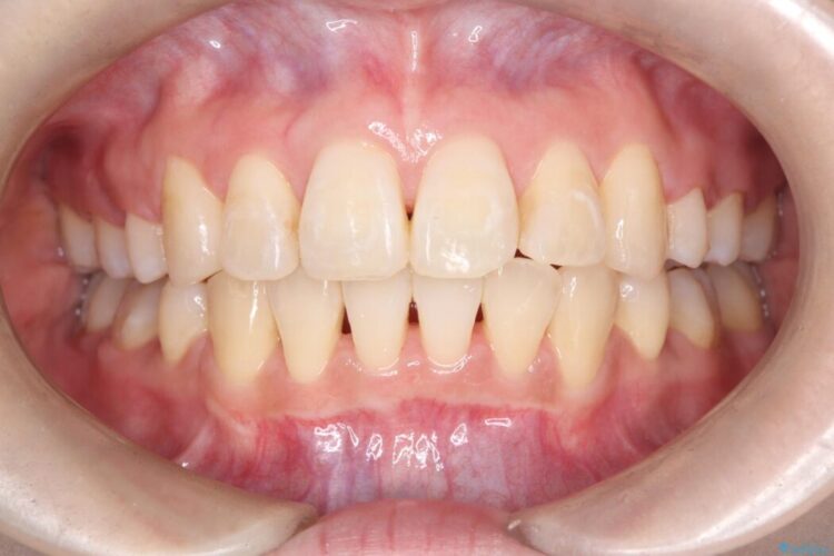
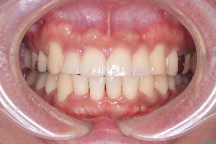
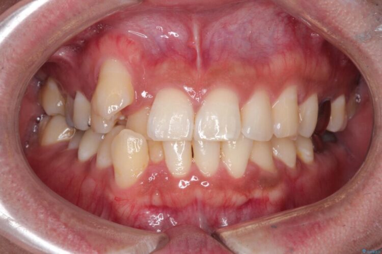
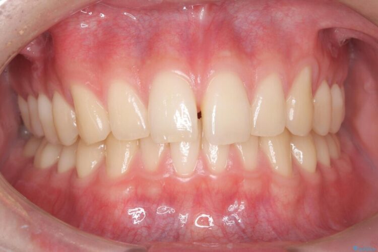
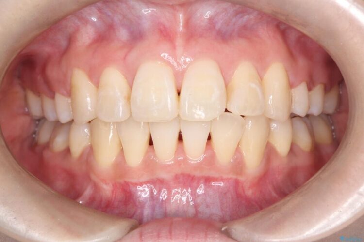
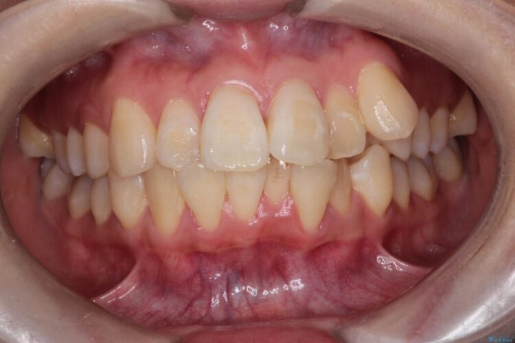
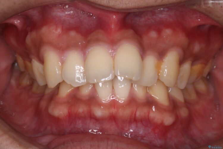
ワイヤー矯正の症例
銀座しらゆり歯科の矯正歯科治療症例一覧ページです。表側矯正(クリアブラケット、審美装置)・裏側矯正(ハーフリンガル・フルリンガル)など、歯列矯正治療例をご紹介しております。
ワイヤー矯正の注意事項(リスク・副作用など)
- 治療中は違和感や痛みが起こることがあります
- 症状により、抜歯が必要な場合があります
- 治療中は歯磨きがしにくくなるため、虫歯や歯周病になりやすくなります
- 矯正治療後の保定が不十分だと後戻り(元の位置に戻ろうとする動き)をします
- 自費診療(保険適用外治療)となります
