軽度のガタつきを納得のいく歯列へワイヤー矯正
治療概要
- 患者様:20代女性
- 治療期間:10ヶ月
- 治療回数:5~10回
- 矯正装置:審美装置
- 概算治療費:77万円
※費用は治療当時の料金となります - 担当医:河口智英
治療動機
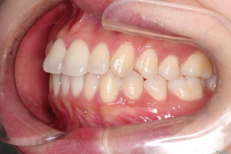
上顎の歯列にがたつきがありなおしたいとのことで来院されました。
治療計画
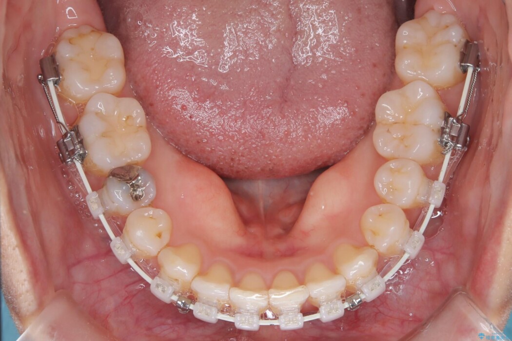
患者さまよりご希望のワイヤーにて歯列矯正を行うこととしました。
治療後について
叢生が比較的軽度であったため短期間での治療が完了し喜んでいただけました。
矯正治療の装置について
本症例では叢生が軽度であったことからインビザライン(マウスピース)での矯正治療も可能でしたが、ご希望によりワイヤー矯正を行っています。
ワイヤー矯正のメリットとしてインビザラインと比べると、
・適応症例が多く、微調整がしやすい
・マウスピースと違ってご自身での着脱が不要
・ねじれ改善の動きが得意
などがあります。
しかしながらワイヤーは装置が目立つこともあり、それぞれの特徴があります。
患者様の状態に適した治療方法をご提案しますのでご希望する装置では難しい場合もありますが、お気軽にご相談ください。
ワイヤー矯正の注意事項(リスク・副作用など)
- 治療中は違和感や痛みが起こることがあります
- 症状により、抜歯が必要な場合があります
- 治療中は歯磨きがしにくくなるため、虫歯や歯周病になりやすくなります
- 矯正治療後の保定が不十分だと後戻り(元の位置に戻ろうとする動き)をします
- 自費診療(保険適用外)となります


















