根管治療の症例
銀座しらゆり歯科の根管治療症例一覧ページです。リトリートメント(再根管治療)・イニシャルトリートメント・生活歯髄療法・外科的歯内療法などの歯内療法治療例をご紹介しております。
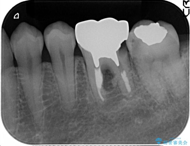
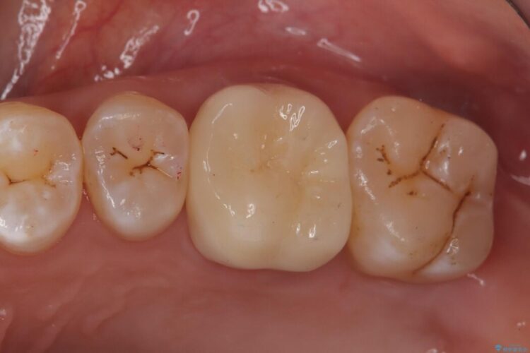
食べ物を噛んだ時に歯がしみる、ズキズキ痛む、長引く痛み。不可逆性歯髄炎の治療
食事の際に歯がしみてしまう、また最近になって何もしていないのにズキズキ痛んだり長引いている痛みがある、とのことで来院されました。
12
根管治療の注意事項(リスク・副作用など)
- 根管治療により類似の全ての症例の問題が解決するわけではなく、症例はあくまでも一例です
- 根管治療により痛みや腫れがひかない事や、術後に痛みや腫れが生じる事、治療によるファイル破折やパーフォレーションなどの偶発症、術後の歯根破折を生じる可能性もあります
- 自費診療(保険適用外治療)となります
