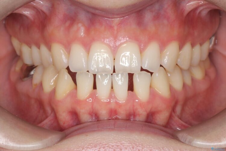
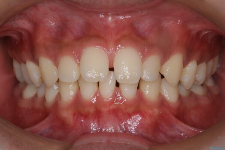
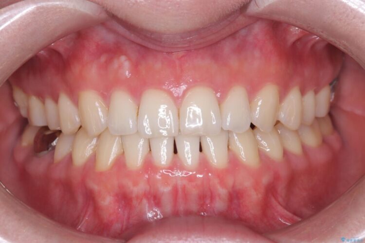
インビザライン(マウスピース矯正)の症例
銀座しらゆり歯科のインビザライン(マウスピース矯正)治療症例一覧ページです。インビザライン(マウスピース矯正)による歯並び、噛み合わせの治療例をご紹介しております。
マウスピース矯正の注意事項(リスク・副作用など)
- 口腔内、歯並びの状態によっては対応できない場合があります
- マウスピース型矯正装置の長時間装着が必須です
- 治療計画通りに進めるためには、患者様の意志が重要になります
- 矯正治療後の保定が不十分だと後戻り(元の位置に戻ろうとする動き)をします
- 薬機法対象外の矯正歯科装置のため医薬品副作用被害救済制度の対象外となる場合があります
- 自費診療(保険適用外治療)となります
