歯列のがたつきをインビザライン矯正
治療概要
- 患者様:20代女性
- 治療期間:1年6ヶ月
- 治療回数:10~30回
- 矯正装置:インビザライン
- 概算治療費:80万円
※費用は治療当時の料金となります - 担当医:河口智英
治療動機
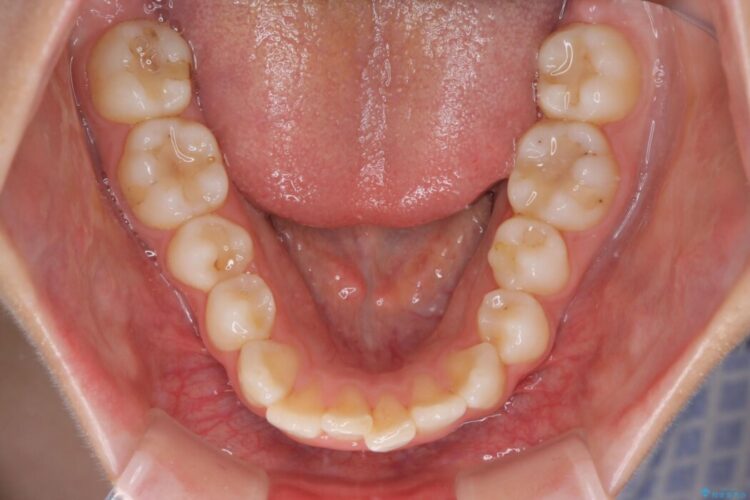
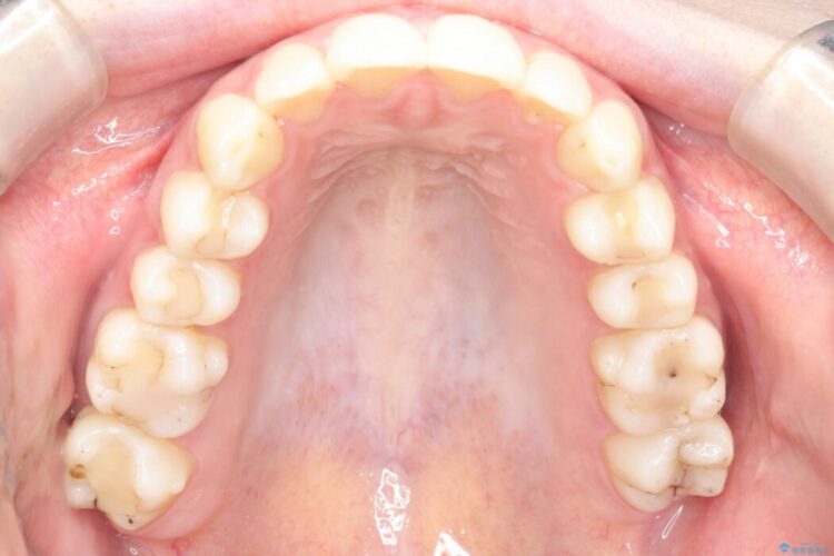
上下顎の歯列のガタつきを治したいとのことで来院されました。
治療計画
全体的に少し内側へ傾斜しているのが確認できました。そのため歯列弓が狭まり噛み合わせにも影響しています。
まずは奥歯を後ろへ遠心移動をさせながらがたつきを改善していくマウスピース矯正をご提案しました。
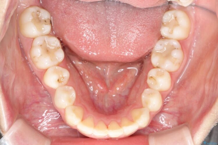
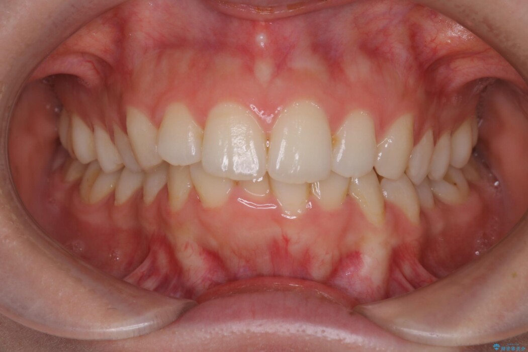
治療後について
マウスピース矯正は22時間以上の装着を推奨しております。
今回患者様にしっかりと装着していただけたため、きれいな歯列へと整えることができました。
マウスピース矯正の注意事項(リスク・副作用など)
- 口腔内・歯並びの状態によっては対応できない場合があります
- マウスピース型矯正装置の長時間装着(1日20時間以上)が必須です
- 治療計画通りに進めるためには、患者様の意志が重要になります
- 矯正治療後の保定が不十分だと後戻り(元の位置に戻ろうとする動き)をします
- 薬機法対象外の矯正歯科装置のため医薬品副作用被害救済制度の対象外となる場合があります
- 自費診療(保険適用外)となります










