無料相談予約

PMTCの症例一覧

PMTCの症例

銀座しらゆり歯科の予防歯科(PMTC)症例一覧ページです。プロフェッショナルクリーニングのビフォー・アフターをご紹介しております。

エアーフロークリーニング

エアーフロークリーニング ビフォー エアーフロークリーニング アフター

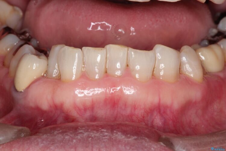
前歯の着色が目立つとご来院されました。

矯正治療中のクリーニング

矯正治療中のクリーニング ビフォー 矯正治療中のクリーニング アフター

ワイヤー矯正のため、当院に通院中の患者様です。

エアフロークリーニングですっきり清潔

エアフロークリーニングですっきり清潔 ビフォー エアフロークリーニングですっきり清潔 アフター

定期的なメンテナンスの一環として、着色やバイオフィルムの蓄積予防を目的にご来院された患者様です。

矯正治療中のエアフロークリーニング

矯正治療中のエアフロークリーニング ビフォー 矯正治療中のエアフロークリーニング アフター

ワイヤー矯正中の患者様で、矯正装置周りの着色が気になるとのことです。

クリーニングで艶感アップ

クリーニングで艶感アップ ビフォー クリーニングで艶感アップ アフター

久しぶりのクリーニングでご来院されました。

ジェット水流&微粒子パウダー(歯のクリーニング)

ジェット水流&微粒子パウダー(歯のクリーニング) ビフォー ジェット水流&微粒子パウダー(歯のクリーニング) アフター

インビザラインで矯正治療中の患者様です。

パウダー噴射でしつこい色素沈着やプラークを除去

パウダー噴射でしつこい色素沈着やプラークを除去 ビフォー パウダー噴射でしつこい色素沈着やプラークを除去 アフター

3ヶ月に一度メンテナンスでご来院されている患者様です。

お茶による着色をエアーフローで除去

お茶による着色をエアーフローで除去 ビフォー お茶による着色をエアーフローで除去 アフター

矯正治療後に定期的にご通院いただいている患者様です。

PMTCの注意事項

  • 歯を白くする目的の施術ではありません
  • 自費診療(保険適用外治療)となります