エアフロークリーニングですっきり清潔
治療概要
- 患者様:40代男性
- 治療期間:1日
- 治療回数:1回
- 概算治療費:エアフロー 7700円と保険治療費
※費用は治療当時の料金となります - 担当医:歯科衛生士
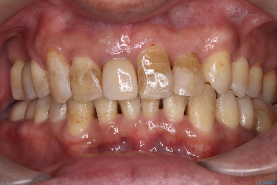
治療動機
定期的なメンテナンスの一環として、着色やバイオフィルムの蓄積予防を目的にご来院された患者様です。
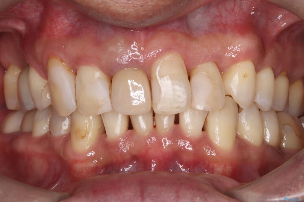
治療後について
エアフローによる歯面および歯間部のバイオフィルム、着色の除去を行いました。
エアフロークリーニングを定期的に取り入れることで、汚れが蓄積しにくく、メンテナンスもスムーズに行えます。健康な歯を長く保つためにおすすめしております。
PMTCの注意事項(リスク・副作用など)
- 歯を白くする目的の施術ではありません
- 保険適用外となります


