無料相談予約

セラミック治療の症例一覧

セラミック治療の症例

銀座しらゆり歯科のセラミック治療(審美歯科)症例一覧ページです。オールセラミッククラウン・ジルコニアクラウン・ブリッジ・インレーなど、治療例をご紹介しております。

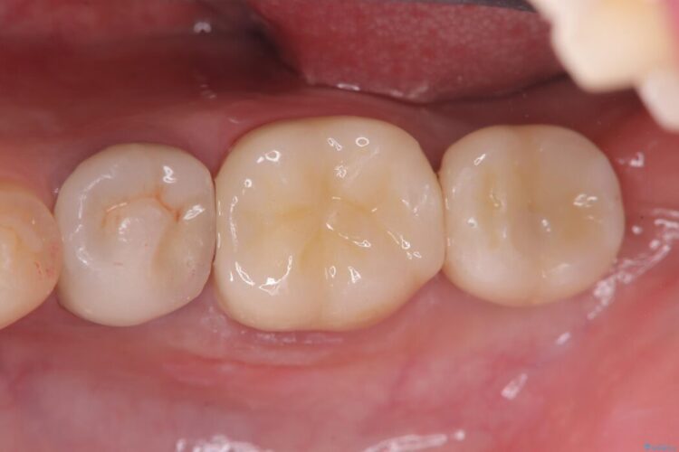
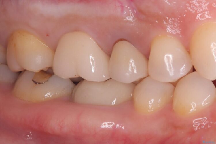
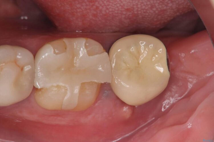
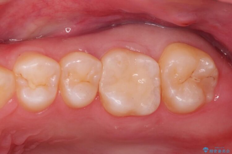
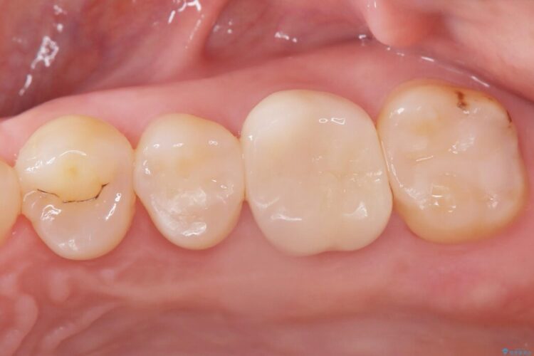
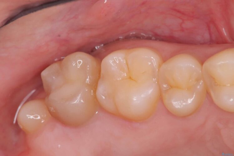
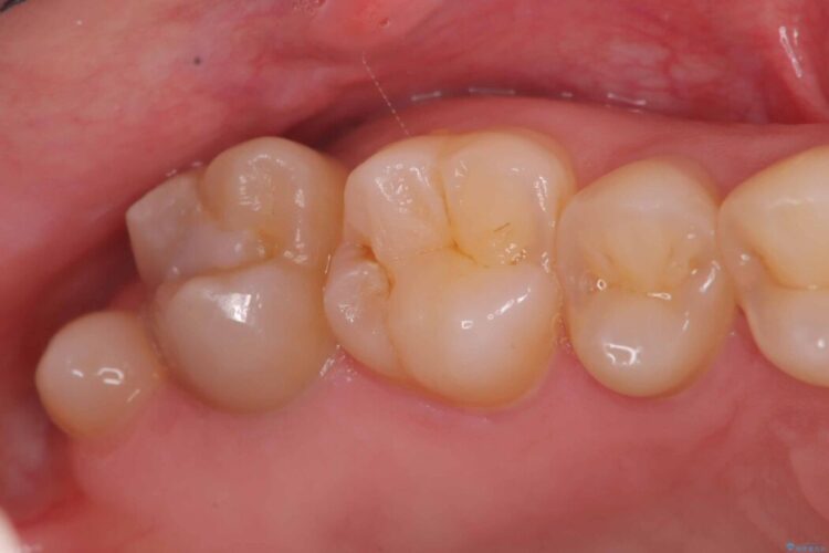
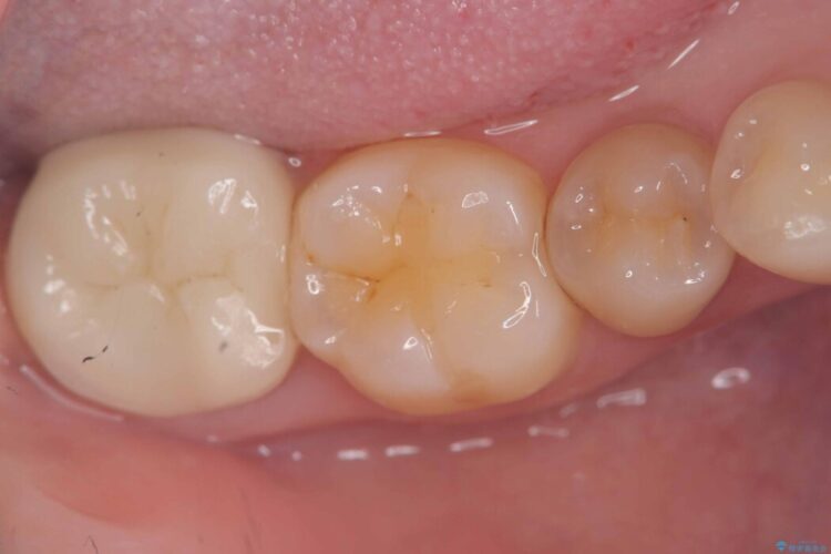
詰め物内部の虫歯治療、隠れた根管の発見

詰め物内部の虫歯治療、隠れた根管の発見 ビフォー 詰め物内部の虫歯治療、隠れた根管の発見 アフター

奥歯の詰め物が取れたとご来院された患者様です。

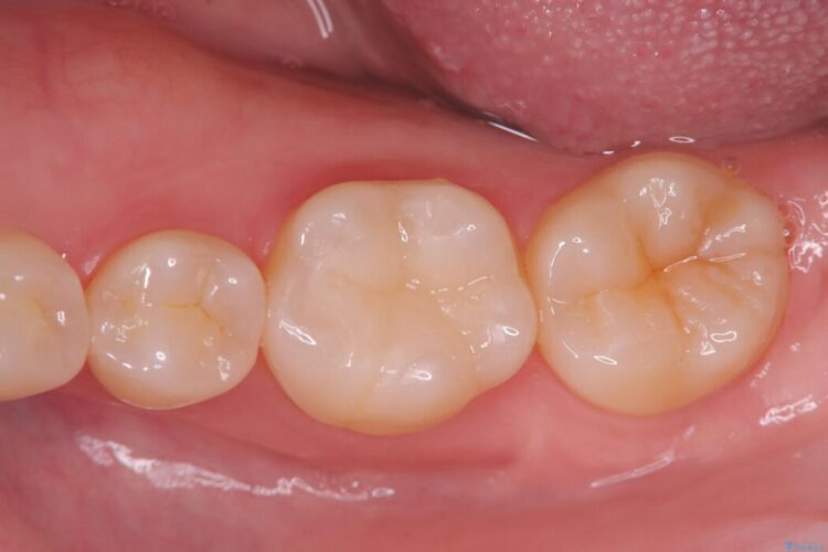
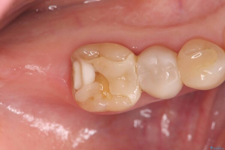
自然な見た目のセラミックインレーで精密に修復

自然な見た目のセラミックインレーで精密に修復 ビフォー 自然な見た目のセラミックインレーで精密に修復 アフター

右上5番に小さな穴があるとご相談にいらした患者様です。

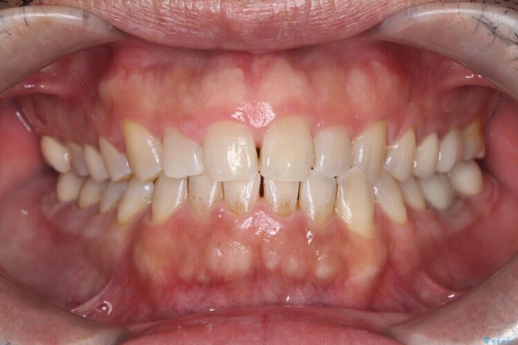
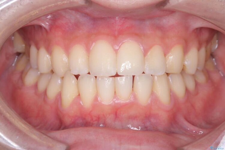
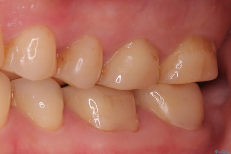
メタルフリー|全ての銀歯をセラミックへ

メタルフリー|全ての銀歯をセラミックへ ビフォー メタルフリー|全ての銀歯をセラミックへ アフター

口腔内の銀歯を全て無くし、白く健康的な状態にしたいとご来院された患者様です。

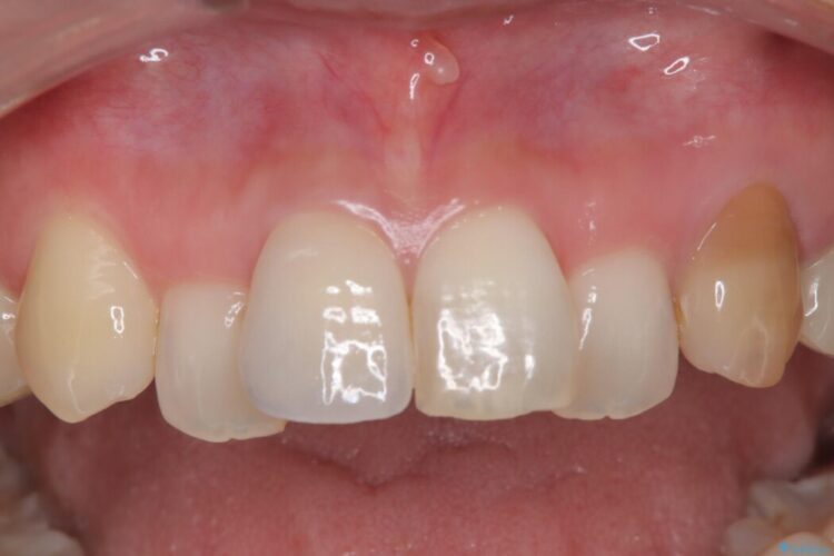
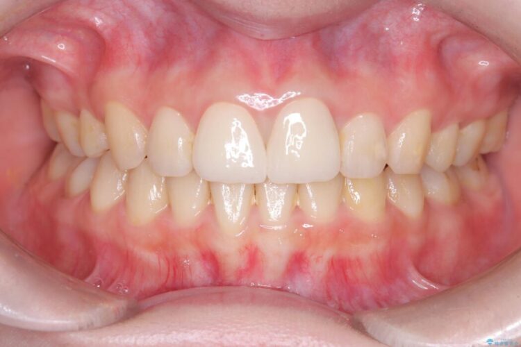
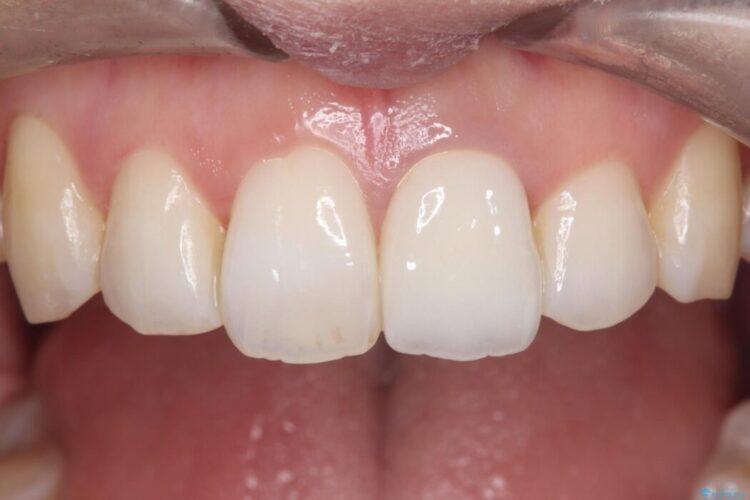
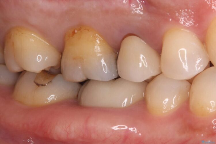
再根管治療とオールセラミックで前歯の気になる変色を解消

再根管治療とオールセラミックで前歯の気になる変色を解消 ビフォー 再根管治療とオールセラミックで前歯の気になる変色を解消 アフター

他院で神経を取った前歯が変色してきたとご相談にいらした患者様です。

部分的断髄法(VPT)とセラミック修復

部分的断髄法(VPT)とセラミック修復 ビフォー 部分的断髄法(VPT)とセラミック修復 アフター

「冷たいものが強くしみる」とご相談にいらした患者様です。

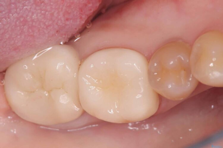
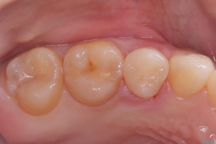
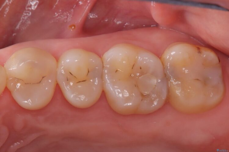
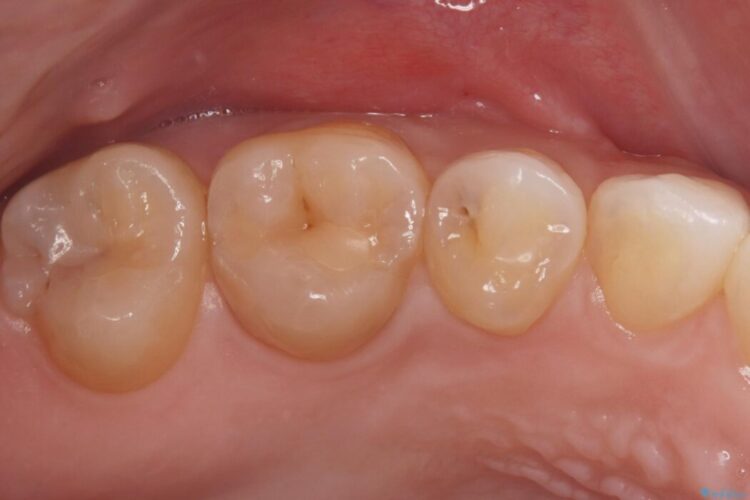
銀歯の段差の改善、ラバーダム防湿下で行うセラミックインレー治療

銀歯の段差の改善、ラバーダム防湿下で行うセラミックインレー治療 ビフォー 銀歯の段差の改善、ラバーダム防湿下で行うセラミックインレー治療 アフター

当院でメンテナンスに通われている患者様の症例です。

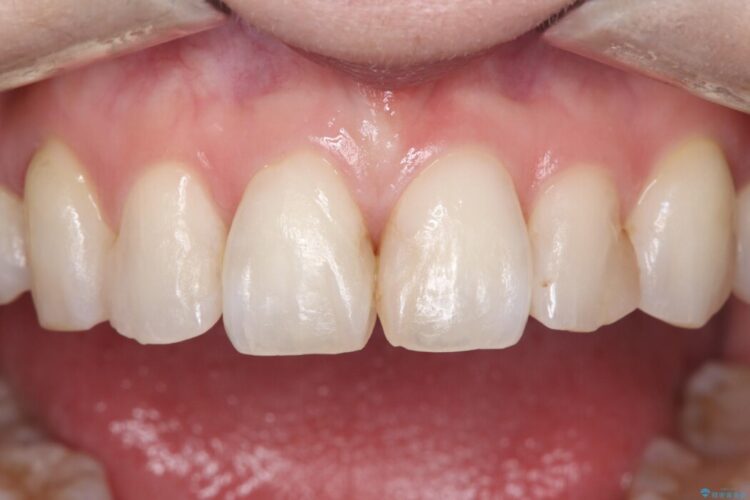
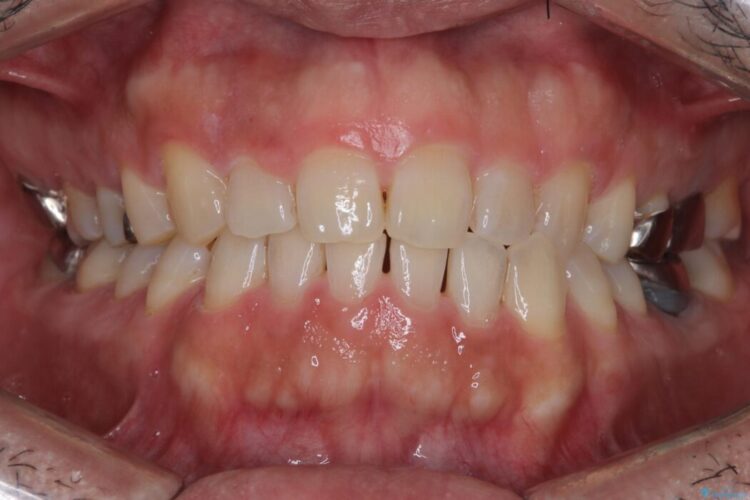
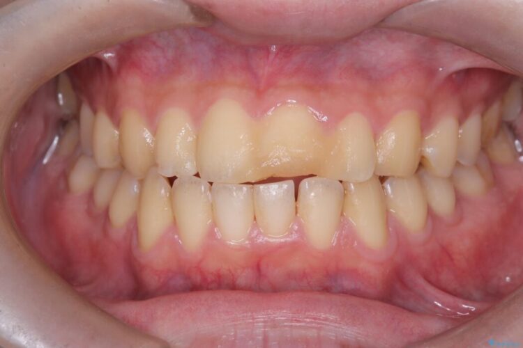
欠けて変色した前歯をオールセラミックで美しく

欠けて変色した前歯をオールセラミックで美しく ビフォー 欠けて変色した前歯をオールセラミックで美しく アフター

上の前歯4本が、過去の治療による変色や欠けで見た目が気になるとご来院されました。

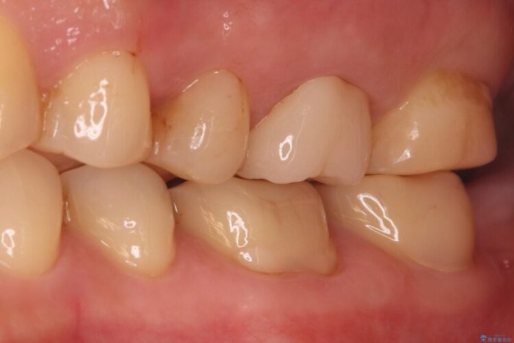
欠けた奥歯をPGAで補強。違和感のない咬み心地へ

欠けた奥歯をPGAで補強。違和感のない咬み心地へ ビフォー 欠けた奥歯をPGAで補強。違和感のない咬み心地へ アフター

以前治療した奥歯(右下7番)の詰め物が欠けてしまったとご来院された患者様です。

セラミック治療の注意事項(リスク・副作用など)

  • 天然歯を削ります
  • かみ合わせや歯ぎしりが強すぎる方はセラミックが割れてしまう可能性があります
  • 硬い素材は天然歯を傷つけてしまう場合があります
  • 自費診療(保険適用外治療)となります