インレー(詰め物)が外れてしまった部分をセラミックで修復
治療概要
- 患者様:40代女性
- 治療期間:2ヶ月
- 治療回数:2~5回
- 概算治療費:37万円
※費用は治療当時の料金となります - 担当医:河口智英
治療動機
以前詰めていたインレーが外れてしまったとのことで来院されました。
治療計画
検査をしたところ該当歯とその隣の歯にも虫歯が確認出来たため、まとめて治療をする計画を立てました。
また辺縁隆線にクラックラインを認めました。辺縁隆線とは噛んだ時に対合する歯と接触する最も外側の隆線部分になります。このまま放置すると破折に繋がってしまう可能性があるためインレーではなくクラウンによる治療をご提案しました。
治療後について
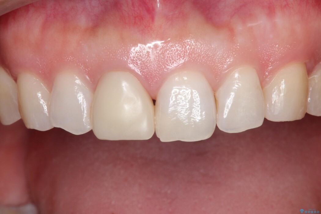
歯間の空間は患者様とご相談した結果、そのまま残すこととなりました。
セラミック治療の注意事項(リスク・副作用など)
- 天然歯を削ります
- 硬い素材は天然歯を傷つけてしまう場合があります
- かみ合わせや歯ぎしりが強すぎる方はセラミックが割れてしまう可能性があります
- 自費診療(保険適用外治療)となります









