常にズキズキと痛む歯を精密根管治療
治療概要
- 患者様:20代女性
- 治療期間:2ヶ月
- 治療回数:5~10回
- 概算治療費:25万円
※費用は治療当時の料金となります - 担当医:河口智英
治療動機
奥歯からズキズキした痛みがありなおしたいとのことで来院されました。
治療計画
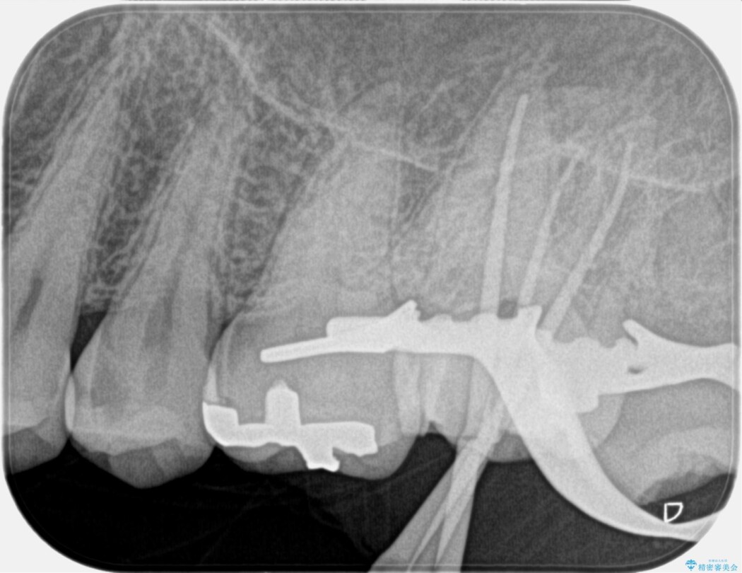
詳しく検査をしたところ、虫歯が深く歯髄の保存が出来ない状態と判断しました。
よってまずは根管治療を行って感染した神経を取り除き、セラミッククラウンで修復をすることとしました。
治療後について
刺激を与えていないのに常に痛い状態を自発痛と言います。
過去に自発痛の既往がある場合、抜髄(神経を取る)をする可能性が多くあります。
セラミック治療の注意事項(リスク・副作用など)
- 天然歯を削ります
- 硬い素材は天然歯を傷つけてしまう場合があります
- かみ合わせや歯ぎしりが強すぎる方はセラミックが割れてしまう可能性があります
- 自費診療(保険適用外治療)となります
根管治療の注意事項(リスク・副作用など)
- 根管治療により類似の全ての症例の問題が解決するわけではなく、症例はあくまでも一例です
- 根管治療により痛みや腫れがひかない事や、術後に痛みや腫れが生じる事、治療によるファイル破折やパーフォレーションなどの偶発症、術後の歯根破折を生じる可能性もあります
- 自費診療(保険適用外)となります













