症例一覧
銀座しらゆり歯科で行った様々な治療例を治療前写真・治療後写真のビフォーアフター形式で患者様情報と費用も掲載しています。
長期間の放置で骨が吸収した部位のインプラント治療
左下奥歯の抜歯後、長期間放置していたために、周囲の骨が吸収してしまいました。 特に垂直的な高さが不足しており、通常の術式ではインプラント埋入が難しい状態でした。
治療期間(治療回数):3ヶ月(2~5回) | 概算治療費:55万円
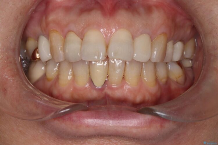
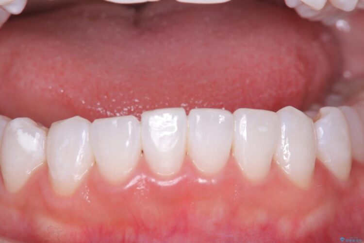
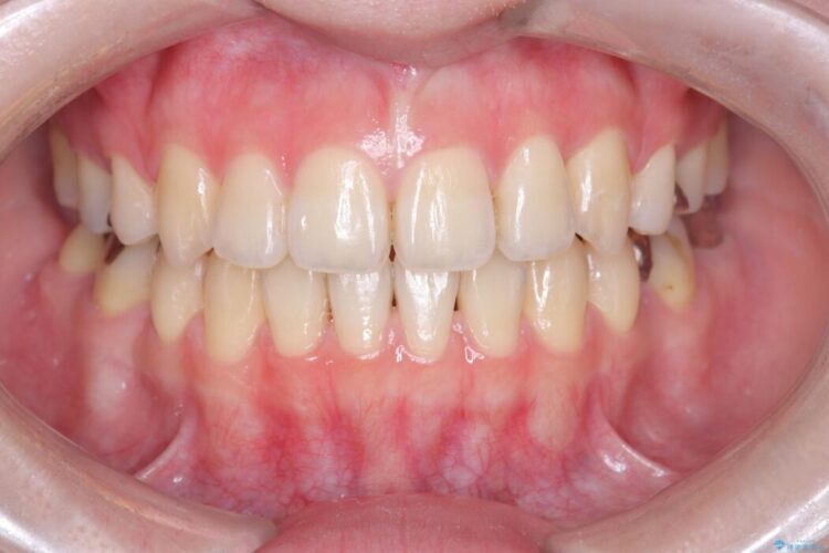
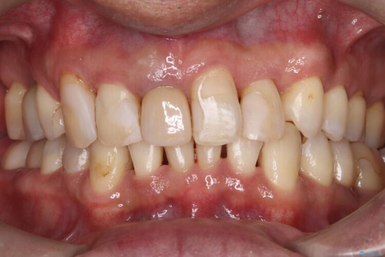
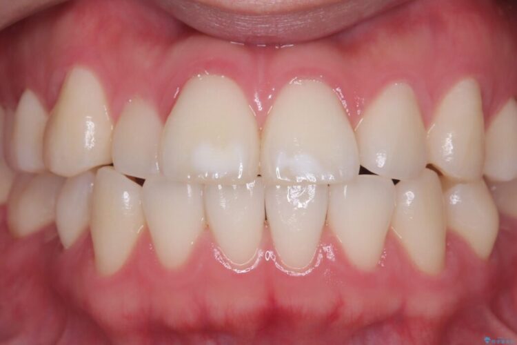
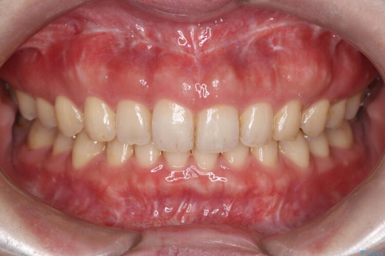
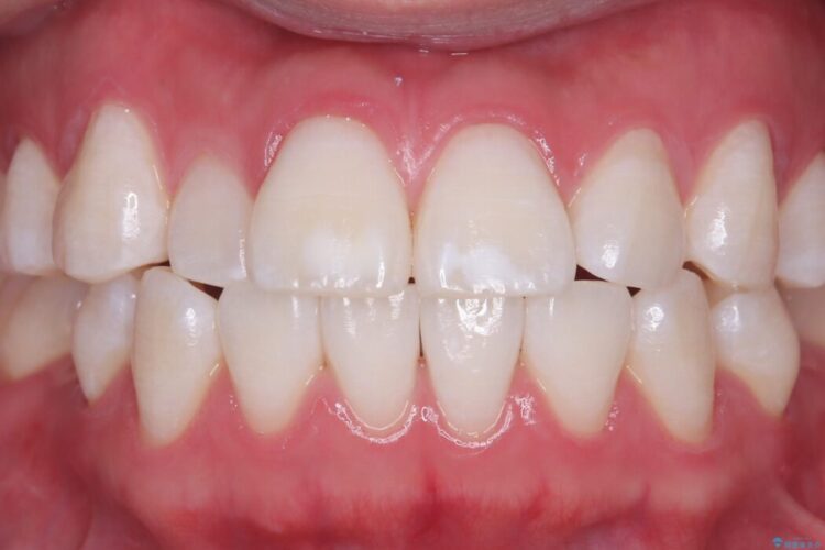
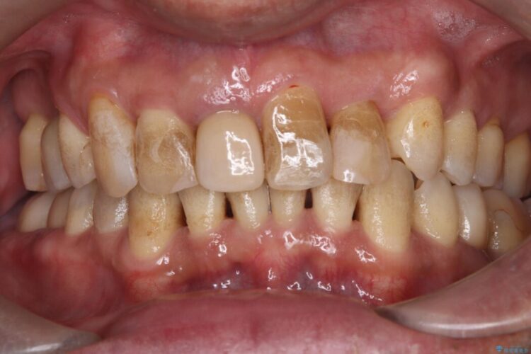
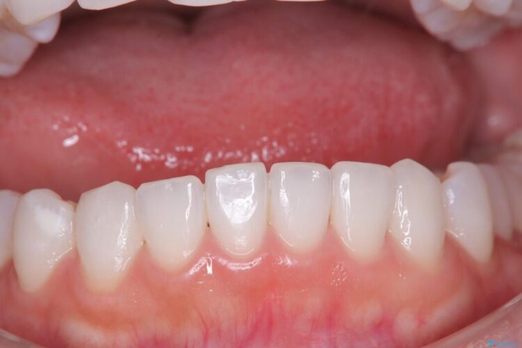
長期的な安定性を重視したセラミック治療
歯と歯の間に虫歯があった患者様です。
治療期間(治療回数):1ヶ月(2~5回) | 概算治療費:13.2万円(税込)(仮歯:10,000円+オールセラミッククラウン 3年保証110,000円)
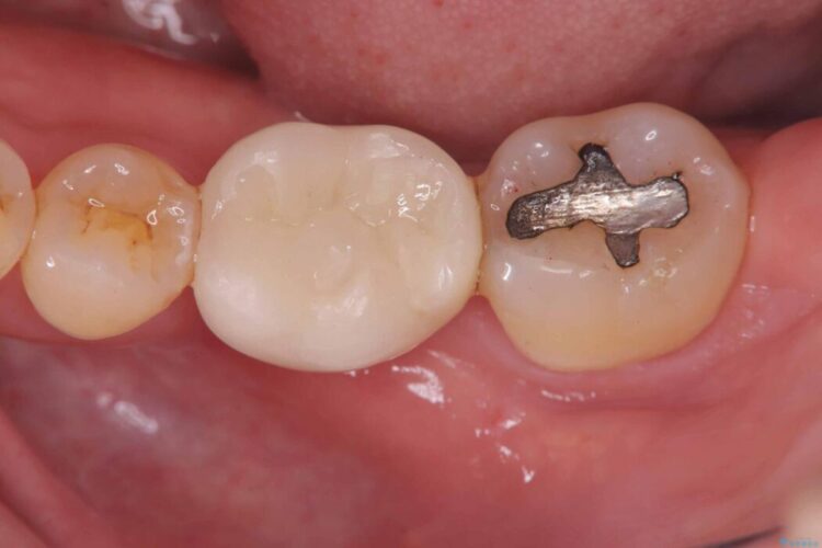
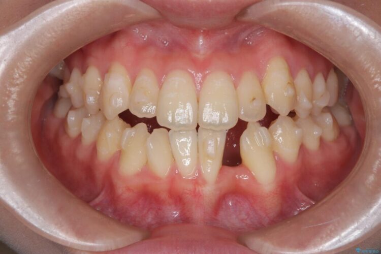
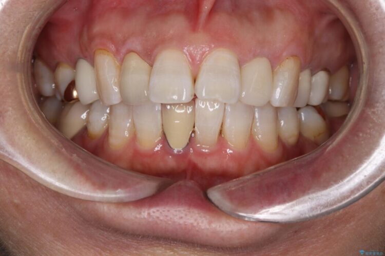
破折したセラミックインレーのやり替え
他院で装着されたセラミックインレー(MOD窩洞)が破折したとご来院されました。
治療期間(治療回数):1ヶ月(2~5回) | 概算治療費:15.4万円(税込)(オールセラミッククラウン14.3万円+仮歯1.1万円)
切らない・腫れにくい短期間治療【1DAYインプラント】
右上の奥歯に根尖病変があり、長期的に安定した治療をご希望されたため、インプラント治療を行いました。
治療期間(治療回数):3ヶ月(2~5回) | 概算治療費:638,000円(税込)
