【過蓋咬合】深い噛み合わせで下の前歯が見えない
治療概要
- 患者様:30代女性
- 治療期間:1年6ヶ月
- 治療回数:10~30回
- 矯正装置:審美装置
- 概算治療費:100万円
※費用は治療当時の料金となります - 担当医:河口智英
治療動機
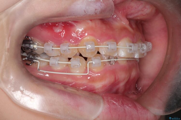
口を開けた時に下の前歯が見えない状態、ガタガタの歯並びに悩んでいるとの主訴で来院されました。
治療計画
本書例では下顎前歯を圧下させ、突出してしまっている臼歯部の挺出を戻す計画としました。
ワイヤー装置は患者様の希望からあまり目立ちにくい白い審美装置を使用しています。
治療後について
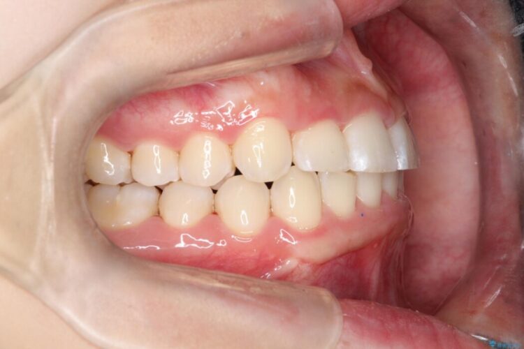
最終的な仕上がりでは下顎の前歯がきれいに見えるようになり患者様には大変喜んでいただきました。
ワイヤー矯正の注意事項(リスク・副作用など)
- 治療中は違和感や痛みが起こることがあります
- 症状により、抜歯が必要な場合があります
- 治療中は歯磨きがしにくくなるため、虫歯や歯周病になりやすくなります
- 矯正治療後の保定が不十分だと後戻り(元の位置に戻ろうとする動き)をします
- 自費診療(保険適用外)となります

















