無料相談予約

歯周病治療の症例一覧

歯周病治療の症例

銀座しらゆり歯科の歯周病治療症例一覧ページです。歯周外科治療・歯周組織再生療法(歯茎や歯槽骨の再生)の治療例をご紹介しております。

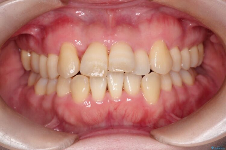
前歯のかみ合わせを改善したい

前歯のかみ合わせを改善したい ビフォー 前歯のかみ合わせを改善したい アフター

前歯のかみ合わせに違和を感じなおしたいとのことで来院されました。

エムドゲインで骨を再生し、歯茎の移植で前歯の歯肉退縮をきれいに

エムドゲインで骨を再生し、歯茎の移植で前歯の歯肉退縮をきれいに ビフォー エムドゲインで骨を再生し、歯茎の移植で前歯の歯肉退縮をきれいに アフター

歯茎が下がったことにより歯が見える部分が拡大し見た目などが気になっているとのことで来院されました。

結合組織移植術で下がった歯肉を再生

結合組織移植術で下がった歯肉を再生 ビフォー 結合組織移植術で下がった歯肉を再生 アフター

矯正治療を終えた後に下顎前歯の歯肉が下がってきたことが気になりご来院されました。

前歯の歯肉退縮を歯肉弁歯冠側移動術で改善

前歯の歯肉退縮を歯肉弁歯冠側移動術で改善 ビフォー 前歯の歯肉退縮を歯肉弁歯冠側移動術で改善 アフター

上顎左側の側切歯の歯肉が下がっていること(歯肉退縮)が気になるということでご来院されました。

下顎前歯の歯ぐき退縮を歯肉移植による根面被覆で改善

下顎前歯の歯ぐき退縮を歯肉移植による根面被覆で改善 ビフォー 下顎前歯の歯ぐき退縮を歯肉移植による根面被覆で改善 アフター

前歯の歯肉退縮を主訴にご来院されました。

歯周病治療の注意事項(リスク・副作用など)

  • 外科手術のため、術後に痛みや腫れ、違和感を伴います
  • 歯周組織再生治療は患者様の状態によって術後の経過が異なります(見た目が改善しない場合もあります)
  • 歯周組織再生治療は自費診療(保険適用外)となります