下顎前歯の歯ぐき退縮を歯肉移植による根面被覆で改善
治療概要
- 患者様:20代男性
- 治療期間:3ヶ月
- 治療回数:2~5回
- 概算治療費:10万円
※費用は治療当時の料金となります - 担当医:河口智英
治療動機
前歯の歯肉退縮を主訴にご来院されました。
治療計画
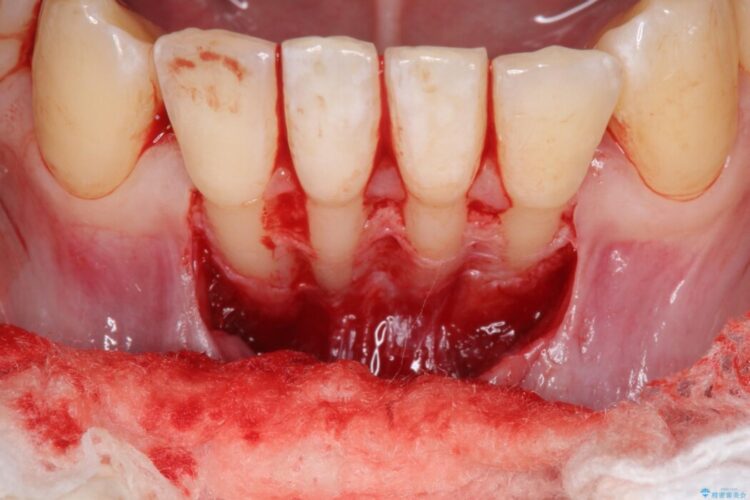
歯の根っこが露出している状態を改善するために、口蓋から結合組織を移植する方法をご提案しました。
治療後について
移植した歯肉によって、露出していた歯の根っこを十分に覆うことができました。
ブラッシングもしやすくなり、患者様にも仕上がりに満足していただけたようです。
手術後は3日~1週間ほど痛むことがあります。
移植できる歯肉の厚みがあるかどうかなど、根面被覆が可能かはカウンセリングにて判断いたします。
用語について
根面被覆:歯の根っこが露出している状態を改善するために、歯肉を移植する治療
結合組織:歯肉と骨をつなぐ組織です。結合組織移植は、歯肉の厚みや強度を高めるために行われることが多い手術
歯周病治療の注意事項(リスク・副作用など)
- 外科手術のため、術後に痛みや腫れ、違和感を伴います
- 歯周組織再生治療は患者様の状態によって術後の経過が異なります(見た目が改善しない場合もあります)
- 歯周組織再生治療は自費診療(保険適用外)となります






