矯正歯科治療(歯列矯正)
ワイヤー矯正とマウスピース矯正で幅広い症例に対応できる矯正歯科の経験と知識
歯並び(出っ歯、八重歯、受け口、すきっ歯、開咬、口ゴボなど)、噛み合わせやガミースマイル(笑うと歯茎が見える)などのお悩みは、歯の矯正で治療ができます。当院では従来の矯正法であるワイヤー矯正、最近人気のあるマウスピース矯正のどちらの装置でも治療を行っております。

当法人全体の矯正治療実績
銀座で24年の歴史があり、マウスピース矯正(インビザライン)やワイヤー矯正(表側・裏側)のどちらも数多くの実績がございます。
- 矯正歯科治療
- 9,324件
- インビザライン
- 4,328件
※2012年から2024年12月までの症例数
当院の矯正歯科の特徴・メリット
私たちのクリニックで矯正治療を受けるメリットとしては大きく3つ挙げられます。
1. 複数の矯正医が在籍

当院にはワイヤー矯正・マウスピース矯正、両方の治療に対応できる矯正歯科医が多数います。
所属するドクターは年間を通じて数多くの学会や勉強会に参加し、さらにグループ内でも症例勉強会で様々な歯並びのケースをフィードバックしております。変化する歯科矯正治療に対応していくためにも、学ぶことが沢山あります。
歯科矯正治療の知識や技術を共有し、患者様の歯列矯正治療に少しでも役立てるよう、日々診療に取り組んでおります。
2. 総合歯科医院の中の矯正歯科治療

私たちは、歯科矯正治療だけを行っているわけではありません。矯正歯科以外の分野を専門とする先生が多数在籍しております。親知らずや矯正治療に伴う抜歯も当院で処置が可能です。
他にも、歯周病治療・根管治療・虫歯・インプラントなど、矯正専門のクリニックでは対応できないようなことも、総合的な歯科治療を行うことでたくさんの患者様に支持されております。
3. 総額の治療費用を事前提示(トータルフィー)
最初にカウンセリングと検査を行い、そこで歯列矯正治療の総額費用を事前に提示しており、追加料金はいただきません。治療費は「矯正装置 × 難易度」で設定しております。なお、矯正装置の選択は患者様のご希望も考慮し、難易度については初診時に歯並びの状態確認してから、患者様一人ひとりの治療計画とともに総額の治療費をご提示しております。
矯正装置の種類
ワイヤー矯正とマウスピース矯正
歯列矯正の装置には、歯の表側に装置を着ける「表側装置」、歯の裏側に装置を着けることで外から装置が目立たない「裏側装置」、一部分だけを矯正する「部分矯正」やマウスピース型装置があります。中でも、マウスピース矯正は「目立たない、取り外し自由」という特徴があり、人気の治療法です。
当院の矯正歯科治療のこだわり
特徴1:歯周病医と矯正医の連携
なぜ一般歯科医と矯正歯科医との連携が必要か?

近年、矯正治療ブームより希望者が増えていますが、実際多くの成人が歯周病の問題を抱えています。歯周病の問題を無視した矯正治療は、歯を支える歯茎や歯槽骨を破壊することになります。
私たちは、歯茎や歯槽骨のことまで考慮した優しい矯正治療を行っており、そればかりでなく矯正治療により歯茎や骨を強くする歯周矯正治療を導入しております。
特徴2:きれいな口元と噛み合わせへのこだわり
上下のアゴの骨の位置関係が大きくずれ、噛み合わせも異常を起こしている場合は外科的矯正手術(骨を切る手術)によりアゴの骨のバランスを整える必要があります。しかし、歯並びやかみ合わせの矯正治療単独でここまでの改善が可能となりました。


受け口で、口元も下唇が出ていることを気にされて来院されました。
治療費用:約120万円(フルリンガル)
また、アゴの前後のズレだけではなく、左右のズレについてもアゴの関節や筋肉のバランスをチェックして歯列矯正治療でかみ合わせを整えることにより、真っ直ぐし口元のゆがみも改善します。
噛み合わせは絶対に無視できません
一歯対二歯咬合
通常は上の歯1本に対して下の歯2本が噛み合っています。
上下6番の位置
下の第一大臼歯が上よりも少し前で噛み合っているのが正常な位置関係です。
左右のバランスと上下顎の幅
骨格が左右対称であり、上下の前歯の中心が一致していて、上の歯のアーチが下のアーチより少し大きいのが理想です。
特徴3:歯を抜かない矯正
拡大床装置、急速拡大装置、マウスピース装置やマイクロインプラント等、診断技術の向上によって歯を抜かない矯正が可能になりました。
従来の歯科矯正による治療ですと抜歯だったケースの多くが、現在では抜かずに歯列矯正が可能となっています。


下の歯のガタガタを主訴に来院されました。
治療費用:約110万円(フルリンガル)
患者様一人ひとりのための矯正歯科治療
矯正歯科治療に望まれることとして「歯並びをキレイにすること」がありますが、これは結果としてそうなるだけで、真の目的は「正しい咬み合わせに整えること」です。
そして、歯並びの見た目の改善はもちろんですが、歯磨きがしやすくなるため、虫歯や歯周病の予防にもなります。逆に歯並びが悪いと、虫歯や歯周病になりやすいため、歯の寿命を減らしてしまいます。
オールセラミックのみで歯並びをキレイに見せる治療は「矯正歯科」とは呼びません。削る必要のない歯は削らず、ご自身の歯で正しい咬み合わせを私たちと一緒に目指しましょう。
治療費用について
各矯正装置による治療費用の目安をご説明しております。
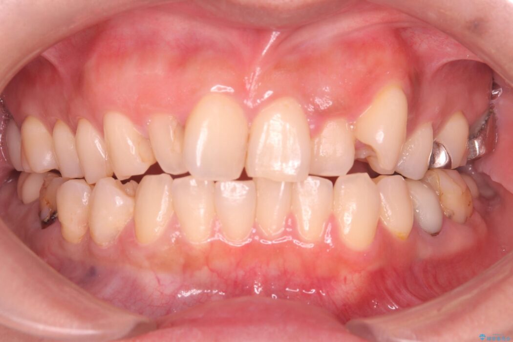
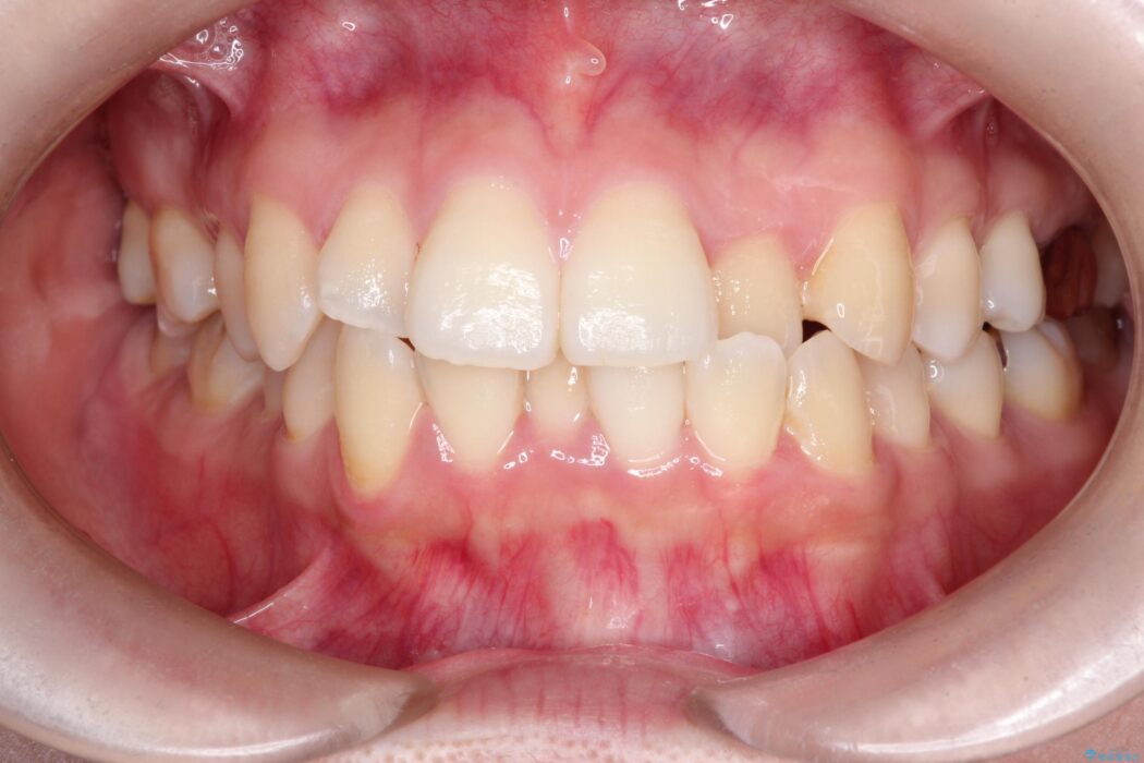
矯正歯科(歯列矯正)の症例紹介
銀座しらゆり歯科に在籍する歯科医師が治療を行った矯正歯科(歯列矯正)の事例をいくつか下記に紹介いたします。
40代から始める矯正治療。八重歯が改善されすっきりとした歯並びに

左上の八重歯が出ていることを長年気にされていたが、年齢的な不安から治療を迷われていた患者様です。
閉院による転院、インビザラインからワイヤー矯正への切り替え

他院でインビザライン矯正を行っていたものの、通院先の閉院により治療が継続できなくなったとご相談にいらした患者様です。
ガタつきとディープバイトの改善

八重歯と深いかみ合わせを治したいとご来院された患者様です。
開咬・叢生・八重歯を抜歯矯正で改善

開咬、叢生、八重歯が気になるとご来院された患者様です。
1年で完了!前歯の軽度なガタつきをワイヤー矯正で美しく

前歯のガタつきが気になるとご来院された患者様です。
その他の症例
関連ページ一覧
ワイヤー矯正の注意事項(リスク・副作用など)
- 治療中は違和感や痛みが起こることがあります
- 症状により、抜歯が必要な場合があります
- 治療中は歯磨きがしにくくなるため、虫歯や歯周病になりやすくなります
- 矯正治療後の保定が不十分だと後戻り(元の位置に戻ろうとする動き)をします
- 自費診療(保険適用外治療)となります



