Eライン(エステティックライン)を整える歯列矯正
治療概要
- 患者様:20代女性
- 治療期間:2年6ヶ月
- 治療回数:10~30回
- 矯正装置:審美装置
- 概算治療費:100万円
※費用は治療当時の料金となります - 担当医:河口智英
治療動機
前歯が出ているのと口元を下げたいとのことで来院されました。
治療計画
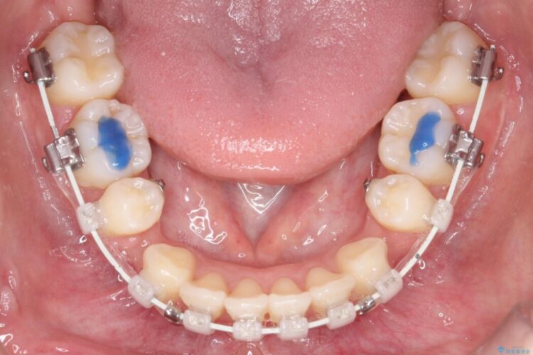
前歯が前方に傾斜しており、歯並びに叢生を認めました。
今回のケースでは口元を下げるため小臼歯を抜歯し、審美装置にて矯正治療を行うこととしました。
治療後について
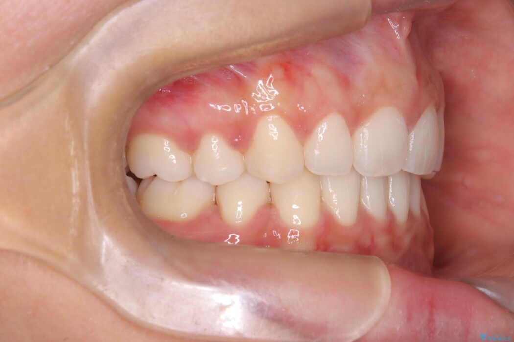
主訴であった口元を下げたいとの希望も治療後に改善されました。
Eラインもより理想的になり大変喜んでいただきました。
ワイヤー矯正の注意事項(リスク・副作用など)
- 治療中は違和感や痛みが起こることがあります
- 症状により、抜歯が必要な場合があります
- 治療中は歯磨きがしにくくなるため、虫歯や歯周病になりやすくなります
- 矯正治療後の保定が不十分だと後戻り(元の位置に戻ろうとする動き)をします
- 自費診療(保険適用外)となります

















