上下の前歯がぶつかって隙間が空いてしまう噛み合わせをなおす
治療概要
- 患者様:20代女性
- 治療期間:2年
- 治療回数:30回以上
- 矯正装置:審美装置
- 概算治療費:110万円
※費用は治療当時の料金となります - 担当医:河口智英
治療動機
噛み合わせが合わず困っているのでなおしたいと来院されました。
治療計画
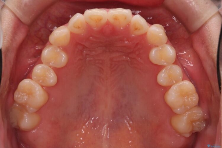
噛んだ時に上下の前歯の先端がちょうどぶつかってしまう切端咬合で、一番後ろの歯が辛うじて噛めている状態でした。
ワイヤーで歯列を矯正しつつ、癖などによる口腔習癖も改善することにより切端咬合を治していく計画を立てました。
治療後について
今まで噛めていなかった部分も噛みしめることができるようになりとても満足していただけました。
口腔習癖は歯並びや矯正治療で保定している歯の後戻りへの影響が発生するため、改善が必要になります。
切端咬合とは
正常な噛み合わせだと上の前歯は下の歯に少しかぶさっています。
ですが切端咬合の場合は、上下の前歯がちょうどぶつかってしまっている状態を指します。
放置してしまうと歯の一部に負担が集中してしまい、歯が欠けたり摩耗してしまう可能性がありますので、なるべくお早目にご相談へ行かれることをおすすめします。
ワイヤー矯正の注意事項(リスク・副作用など)
- 治療中は違和感や痛みが起こることがあります
- 症状により、抜歯が必要な場合があります
- 治療中は歯磨きがしにくくなるため、虫歯や歯周病になりやすくなります
- 矯正治療後の保定が不十分だと後戻り(元の位置に戻ろうとする動き)をします
- 自費診療(保険適用外)となります















