残っていた乳歯を抜歯して矯正治療
治療概要
- 患者様:20代女性
- 治療期間:1年6ヶ月
- 治療回数:10~30回
- 矯正装置:審美装置
- 概算治療費:約90万円
※費用は治療当時の料金となります - 担当医:河口智英
治療動機
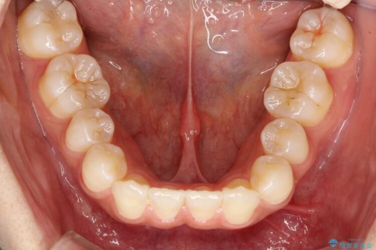
前歯のがたつきと、右上の乳歯の変色を気にされて来院されました。
治療計画
下顎の左右2番と上顎左の計3本の歯が生まれつき欠損しており、また上顎右の2番は乳歯が残っている状態でした。
レントゲン検査の結果、右上の乳歯は予後不良と判断し、上下の歯の本数のバランスを考慮して、上顎右の2番を抜歯後に矯正治療をスタートする計画にしました。
治療後について
大人になっても乳歯が残っている方、先天的に歯が少ない方は意外と多くいらっしゃいます。
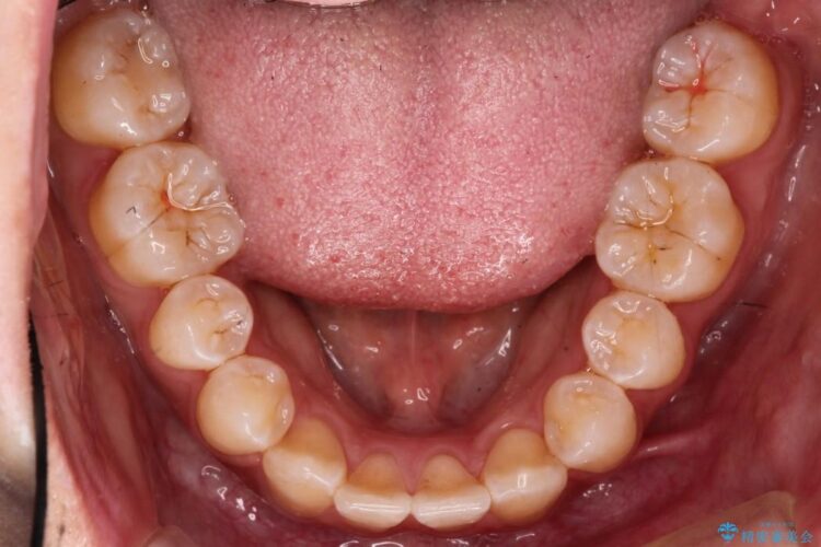
今回は乳歯を抜歯することで、上下の歯の本数がそろい、正中が一致し、バランスの良いかみ合わせにすることができました。患者様にも大変満足していただける仕上がりとなりました。
目立たない矯正治療について
歯列矯正の矯正装置は、歯の表側にメタル(銀色)のワイヤーやブラケットをつける装置だけでなく、ワイヤーやブラケットが白もしくは透明のものを使用した審美装置、歯の裏側に装置をつけたり、ほぼ透明のマウスピース型の矯正装置を使用したり、歯の矯正治療をしていることを他の人に気づかれにくくなっています。
ワイヤー矯正の注意事項(リスク・副作用など)
- 治療中は違和感や痛みが起こることがあります
- 症状により、抜歯が必要な場合があります
- 治療中は歯磨きがしにくくなるため、虫歯や歯周病になりやすくなります
- 矯正治療後の保定が不十分だと後戻り(元の位置に戻ろうとする動き)をします
- 自費診療(保険適用外)となります















