【上下顎前突】矯正歯科治療で口ゴボを治したい
治療概要
- 患者様:20代女性
- 治療期間:1年10ヶ月
- 治療回数:10~30回
- 矯正装置:審美装置
- 概算治療費:100万円
※費用は治療当時の料金となります - 担当医:河口智英
治療動機
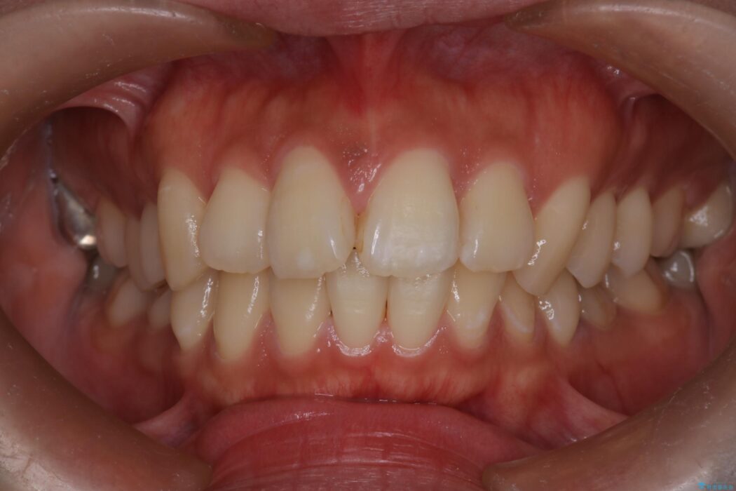
「出っ張った口元を下げたい」という主訴でご来院されました。
治療計画
上下顎前突のため、小臼歯の抜歯を行うことでスペースを作り、出っ張っている歯並びを下げる計画としました。
治療後について
小臼歯の抜歯矯正により口元をきれいに改善することができました。
口ゴボではなくなり、すっきりとした口元になり患者様にも満足していただけました。
抜歯矯正のメリット
・抜歯によってスペースが作れるため歯並びを整えやすい
・抜かない矯正に比べて、治療期間が短くなる可能性がある
・歯の重なりがなくなる
・咬み合わせが良くなる
抜歯矯正のデメリット
・歯を抜く必要がある
・抜歯後の痛みや腫れがある
・治療費が高くなる可能性がある
・抜歯した部分の歯茎が痩せる可能性がある
抜歯する歯
一般的には小臼歯が対象となります。
小臼歯は、奥歯と前歯の間にある歯で、噛み合わせに直接影響する歯ではなく、抜歯しても日常生活に支障をきたすことがほとんどないためです。
ただし、小臼歯以外の歯の状態が極めて悪く、長く持たないと診断した場合はその歯を抜歯するケースもあります。
ワイヤー矯正の注意事項(リスク・副作用など)
- 治療中は違和感や痛みが起こることがあります
- 症状により、抜歯が必要な場合があります
- 治療中は歯磨きがしにくくなるため、虫歯や歯周病になりやすくなります
- 矯正治療後の保定が不十分だと後戻り(元の位置に戻ろうとする動き)をします
- 自費診療(保険適用外)となります

















