上顎埋伏犬歯の牽引による歯列矯正
治療概要
- 患者様:20代女性
- 治療期間:2年6ケ月
- 治療回数:30回以上
- 矯正装置:審美装置
- 概算治療費:100万円
※費用は治療当時の料金となります - 担当医:河口智英
治療動機
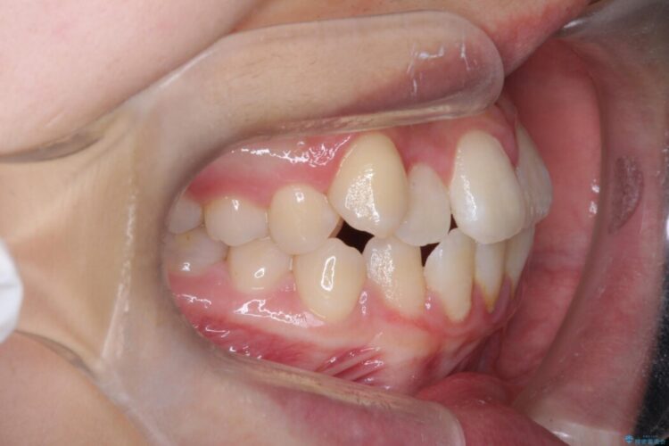
飛び出ている八重歯を治したいとのことで来院されました。
治療計画
検査をしたところ上顎の左側犬歯が埋伏していたため引っ張り出し、矯正治療をすることとしました。
治療後について
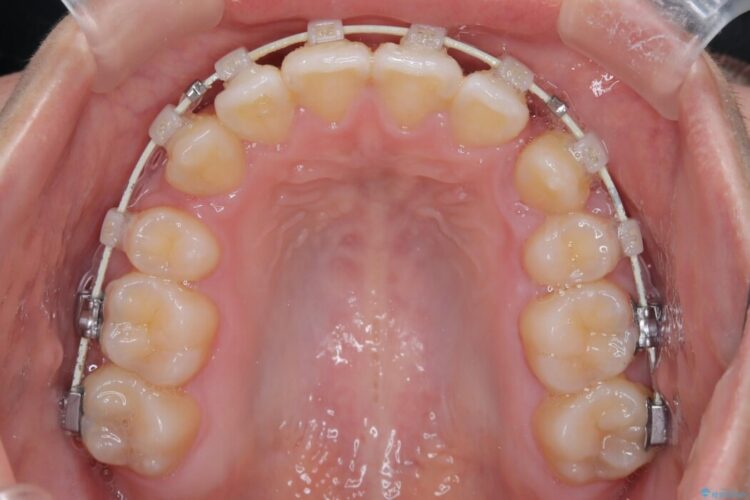
飛び出ていた八重歯も埋伏していた犬歯もきれいに歯列へと収まり、患者様には大変ご満足いただきました。
埋伏歯の牽引
牽引を行うかどうかにつきましてはCTでの撮影をして判断しています。
埋伏犬歯の牽引の場合、矯正の治療期間が長期化することがあります。
ワイヤー矯正の注意事項(リスク・副作用など)
- 治療中は違和感や痛みが起こることがあります
- 症状により、抜歯が必要な場合があります
- 治療中は歯磨きがしにくくなるため、虫歯や歯周病になりやすくなります
- 矯正治療後の保定が不十分だと後戻り(元の位置に戻ろうとする動き)をします
- 自費診療(保険適用外)となります
















