【二重歯列】重度の叢生をハーフリンガルで治療
治療概要
- 患者様:20代女性
- 治療期間:3年
- 治療回数:10~30回
- 矯正装置:ハーフリンガル
- 概算治療費:120万円
※費用は治療当時の料金となります - 担当医:河口智英
治療動機
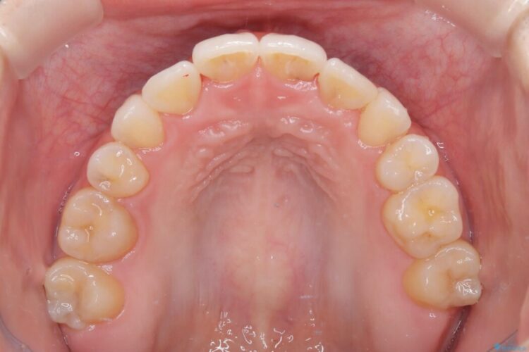
上顎は二重歯列で前歯のがたがた(叢生)が強いため、抜歯を行う治療計画を立てました。
治療計画
叢生の度合いも強く、3年と治療期間はかかりましたが患者さんにも非常に満足していただけました。
治療後について
ハーフリンガルは上顎の装置が目立たないメリットの反面、治療期間が長期間になりやすいデメリットがあります。
ワイヤー矯正の注意事項(リスク・副作用など)
- 治療中は違和感や痛みが起こることがあります
- 症状により、抜歯が必要な場合があります
- 治療中は歯磨きがしにくくなるため、虫歯や歯周病になりやすくなります
- 矯正治療後の保定が不十分だと後戻り(元の位置に戻ろうとする動き)をします
- 自費診療(保険適用外)となります















