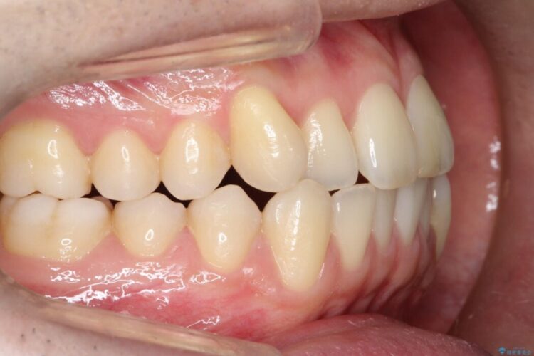
前歯の凸凹な歯並びをワイヤー矯正で綺麗に
治療概要
- 患者様:20代男性
- 治療期間:1年6ヶ月
- 治療回数:10~30回
- 概算治療費:90万円
※費用は治療当時の料金となります - 担当医:河口智英
治療動機
前歯の凸凹の改善を主訴にご来院されました。
治療計画
叢生の度合いが重度ではなかったためマウスピース矯正も適応症例でしたが、患者様がワイヤー矯正を希望されたためクリア装置による表側矯正となりました。
治療後について
治療期間も1年6ヶ月と、矯正治療にしては短く患者様にも大変満足していただけました。
ワイヤー矯正の注意事項(リスク・副作用など)
- 治療中は違和感や痛みが起こることがあります
- 症状により、抜歯が必要な場合があります
- 治療中は歯磨きがしにくくなるため、虫歯や歯周病になりやすくなります
- 矯正治療後の保定が不十分だと後戻り(元の位置に戻ろうとする動き)をします
- 自費診療(保険適用外)となります















