前歯の正中線のズレをなおす
治療概要
- 患者様:20代女性
- 治療期間:2年
- 治療回数:10~30回
- 矯正装置:ワイヤー装置
- 概算治療費:95万円
※費用は治療当時の料金となります - 担当医:河口智英
治療動機
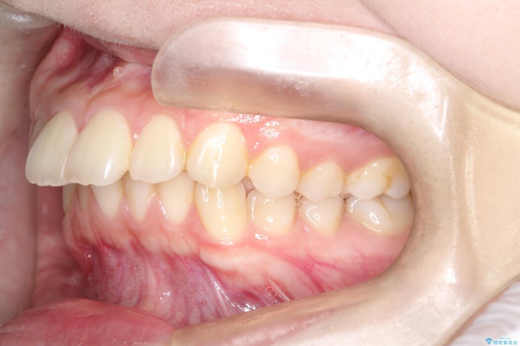
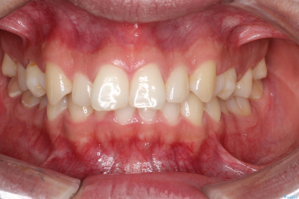
全体的に前歯が外側に傾いた出っ歯を主訴に来院されました。
治療計画
診査したところ上顎前突(出っ歯)による上下前歯のズレがありました。抜歯をして歯列を整え、前歯の正中線をワイヤー矯正にて揃えることとしました。
治療後について
途中よりアンカースクリュー(チタン製の小さな医療用ねじ)を用いて歯を引っ張るための土台としたことで、より効率的に歯の移動をコントロール出来ました。
2年という治療期間でしたが、正中線が揃い、噛み合わせも改善されたことによって患者様にはご満足いただけました。
ワイヤー矯正の注意事項(リスク・副作用など)
- 治療中は違和感や痛みが起こることがあります
- 症状により、抜歯が必要な場合があります
- 治療中は歯磨きがしにくくなるため、虫歯や歯周病になりやすくなります
- 矯正治療後の保定が不十分だと後戻り(元の位置に戻ろうとする動き)をします
- 自費診療(保険適用外)となります















