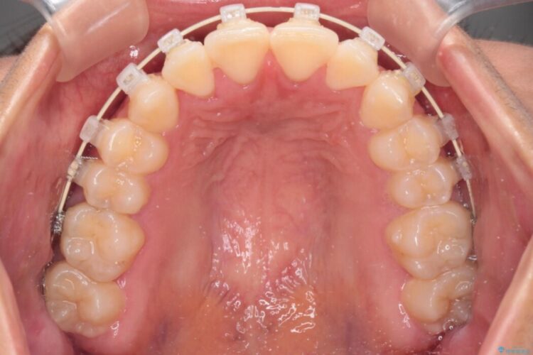
審美装置による非抜歯ワイヤー矯正治療
治療概要
- 患者様:20代男性
- 治療期間:1年6ヶ月
- 治療回数:10~30回
- 矯正装置:審美装置
- 概算治療費:約80万円
※費用は治療当時の料金となります - 担当医:河口智英
治療動機
前歯の叢生(ガタガタ)の改善を主訴にご来院されました。
治療計画
インビザラインの適応可能な症例であったためカウンセリング時にご提案しましたが、確実に装着時間を守れるか不安だということもありワイヤー矯正を希望されたため、審美装置での矯正治療を開始しました。
治療後について
マウスピース矯正の場合、1日20~22時間の装着が必要になるため、装着時間に不安がある患者様にはワイヤー矯正をおすすめしております。
1年半という短期間で治療が完了し、患者様にも満足していただけました。
ワイヤー矯正の注意事項(リスク・副作用など)
- 治療中は違和感や痛みが起こることがあります
- 症状により、抜歯が必要な場合があります
- 治療中は歯磨きがしにくくなるため、虫歯や歯周病になりやすくなります
- 矯正治療後の保定が不十分だと後戻り(元の位置に戻ろうとする動き)をします
- 自費診療(保険適用外)となります

















