【ワイヤー矯正】前歯の叢生(ガタガタ)をなおす
治療概要
- 患者様:20代女性
- 治療期間:1年
- 治療回数:10~30回
- 矯正装置:ワイヤー装置
- 概算治療費:70万円
※費用は治療当時の料金となります - 担当医:河口智英
治療動機
前歯のがたがたを治したいとのことで来院されました。
治療計画
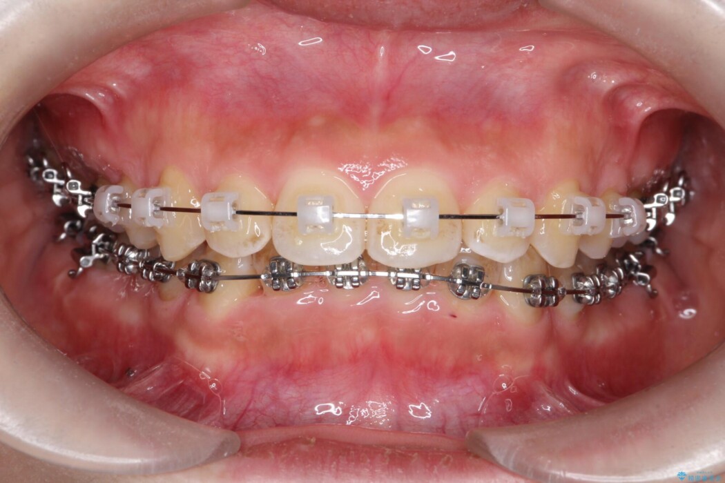
叢生量も軽度であったため短期間で治療を行っています。
また、治療中に装置の変更を希望されたため上下で装置が異なっています。
ワイヤー矯正の注意事項(リスク・副作用など)
- 治療中は違和感や痛みが起こることがあります
- 症状により、抜歯が必要な場合があります
- 治療中は歯磨きがしにくくなるため、虫歯や歯周病になりやすくなります
- 矯正治療後の保定が不十分だと後戻り(元の位置に戻ろうとする動き)をします
- 自費診療(保険適用外)となります















