開咬・叢生・八重歯を抜歯矯正で改善
治療概要
- 患者様:20代女性
- 治療期間:1年6ヶ月
- 治療回数:10~30回
- 矯正装置:ワイヤー矯正(クリア装置)
- 概算治療費:102.3万円(通院費込)
※費用は治療当時の料金となります - 担当医:河野豊嘉
治療動機
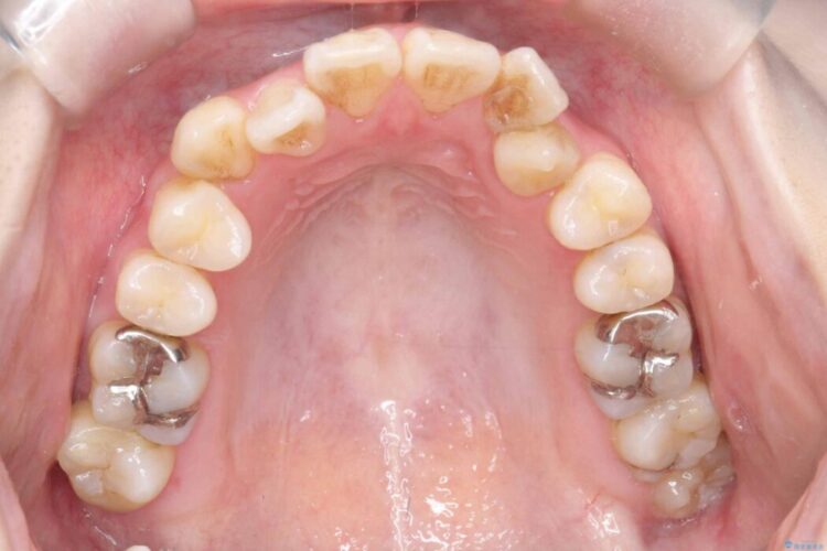
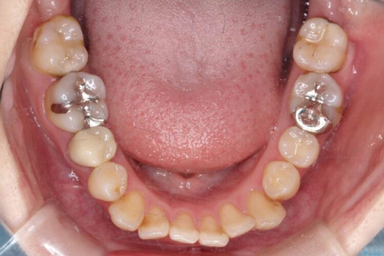
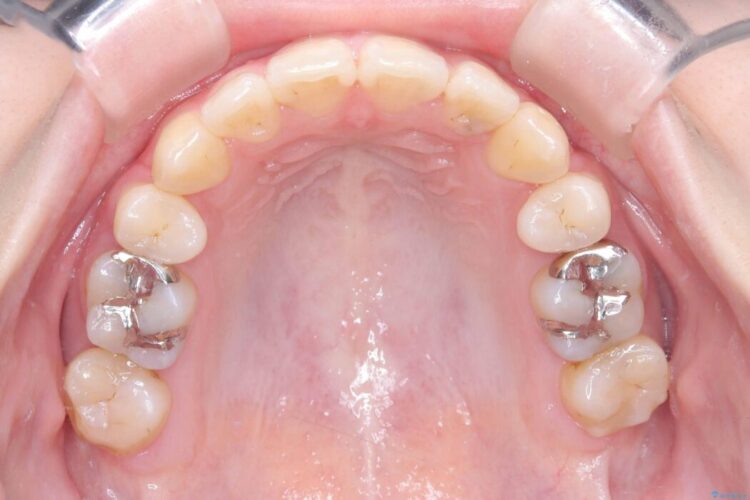
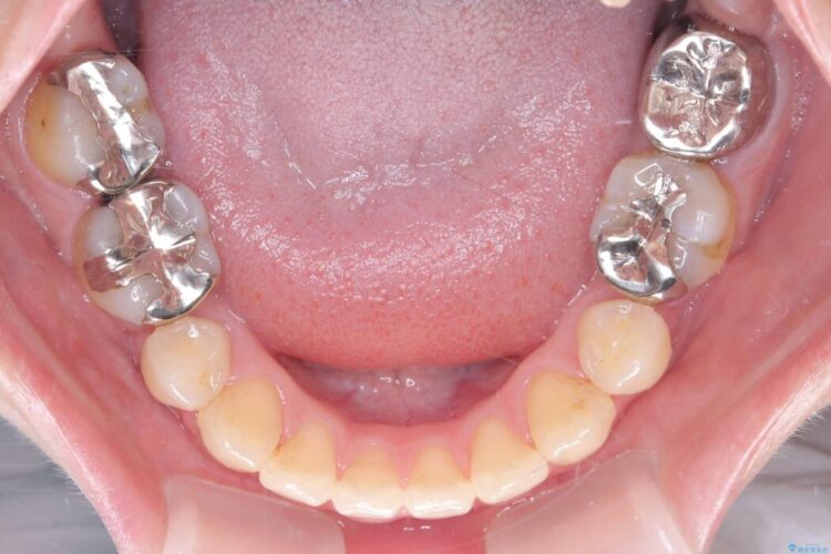
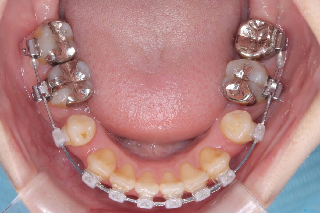
開咬、叢生、八重歯が気になるとご来院された患者様です。
治療計画
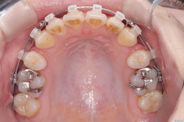
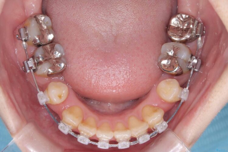
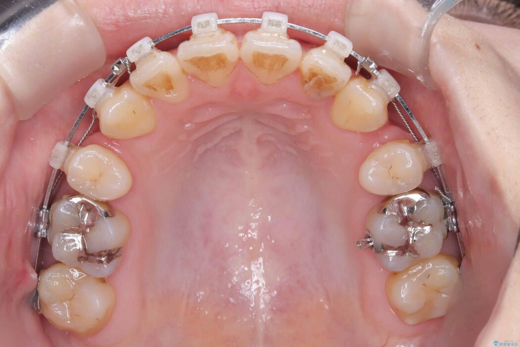
精密検査の結果、上顎左右4番および下顎左右5番の計4本を抜歯し、目立ちにくいクリア装置にて治療を行いました。
また、虫歯があったので、矯正開始前に虫歯治療を行っております。
治療後について
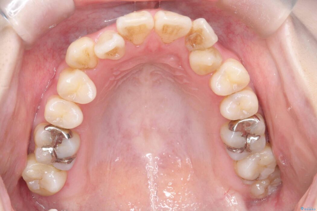
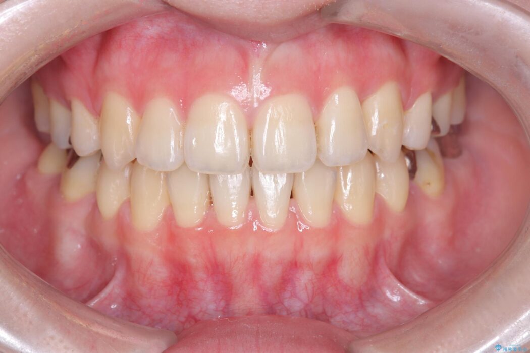
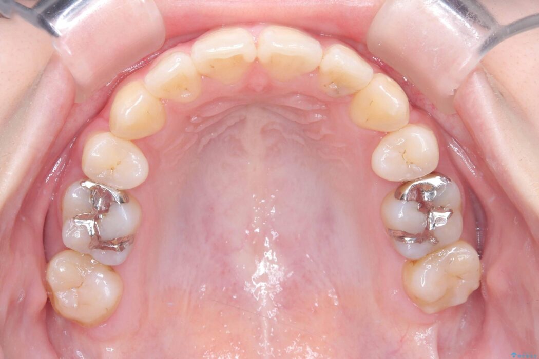
気になっていたガタつきや開咬が改善され、見た目だけでなく咬み合わせの機能面も大きく向上し、大変ご満足いただけました。
また、治療期間も比較的短期間で終了することができました。
ワイヤー矯正の注意事項(リスク・副作用など)
- 治療中は違和感や痛みが起こることがあります
- 症状により、抜歯が必要な場合があります
- 治療中は歯磨きがしにくくなるため、虫歯や歯周病になりやすくなります
- 矯正治療後の保定が不十分だと後戻り(元の位置に戻ろうとする動き)をします
- 自費診療(保険適用外)となります









