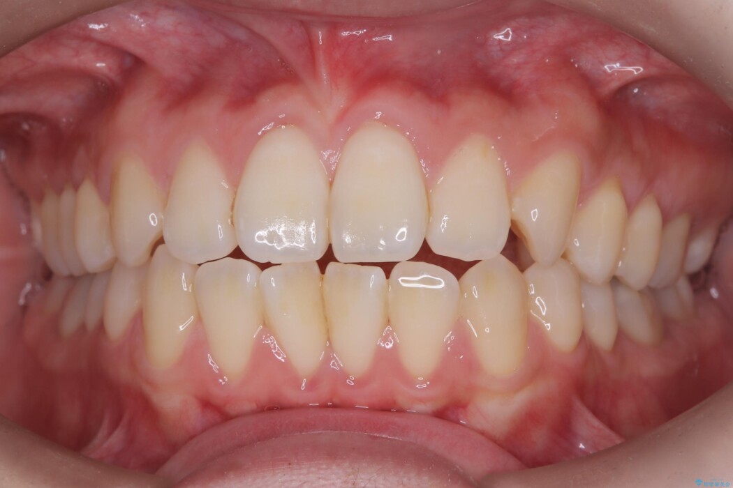
前歯の突出感とガタつきをワイヤー矯正で美しく
治療概要
- 患者様:20代女性
- 治療期間:2年
- 治療回数:10~30回
- 矯正装置:審美装置
- 概算治療費:100万円(税抜)
※費用は治療当時の料金となります - 担当医:町田睦月
治療動機
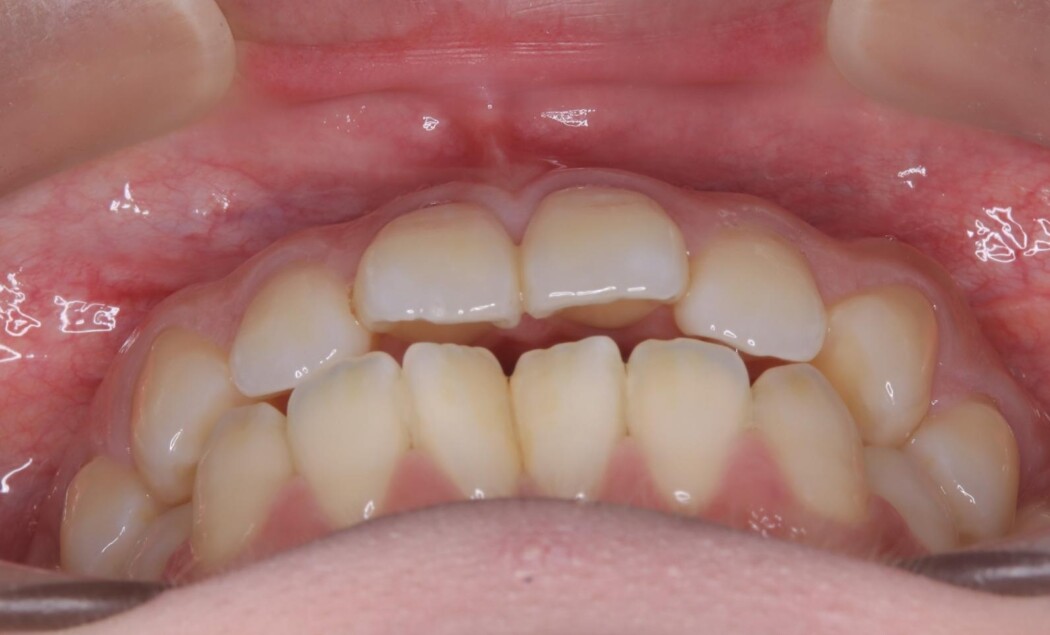
歯並びと、口元の突出感を改善したいと来院されました。
治療計画
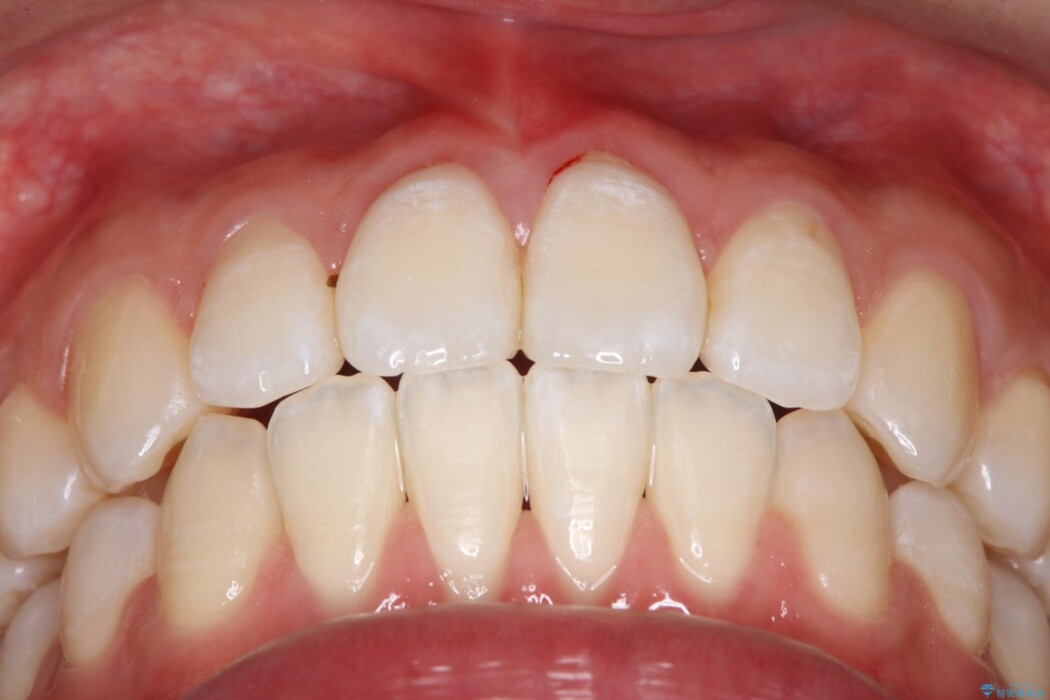
患者様には、非抜歯で矯正治療をした場合と、上下左右4番を抜歯して矯正治療を行った場合でのシミュレーションを見ていただいたうえで、非抜歯でワイヤーにて治療を行うこととしました。
治療後について
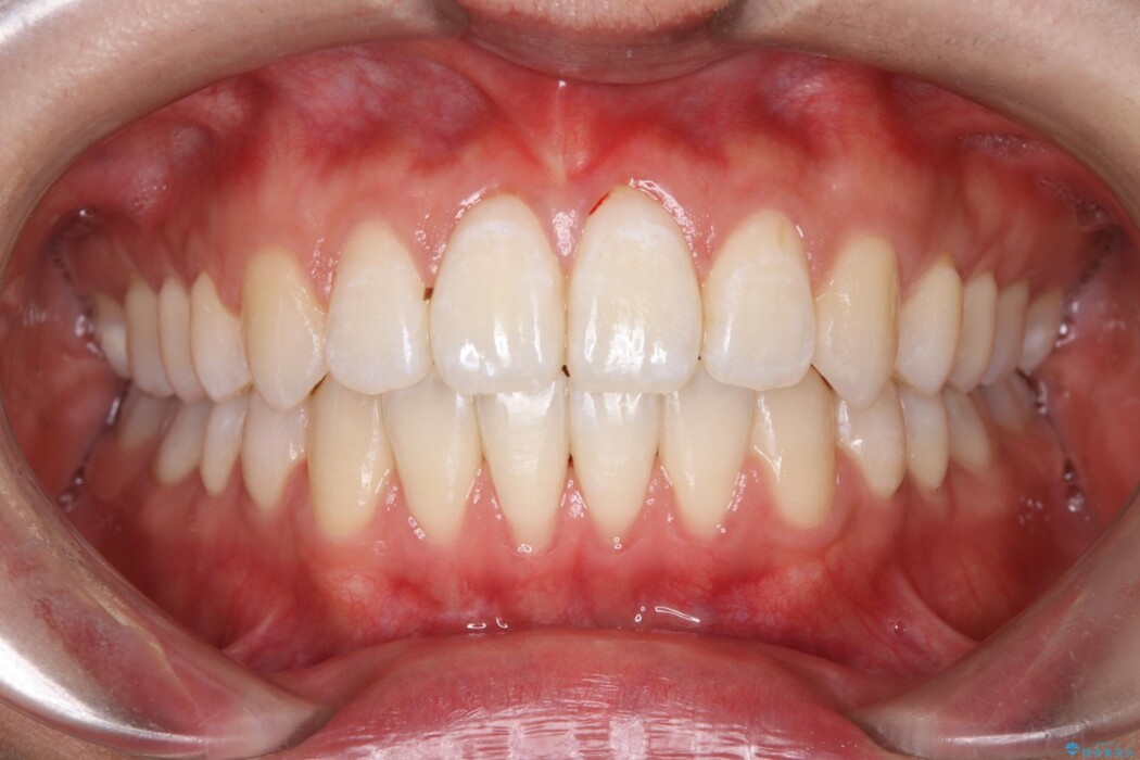
歯と歯の間をわずかに削るIPRも行い、前歯部の突出感の改善に努めました。
ワイヤー矯正の注意事項(リスク・副作用など)
- 治療中は違和感や痛みが起こることがあります
- 症状により、抜歯が必要な場合があります
- 治療中は歯磨きがしにくくなるため、虫歯や歯周病になりやすくなります
- 矯正治療後の保定が不十分だと後戻り(元の位置に戻ろうとする動き)をします
- 自費診療(保険適用外)となります








