非抜歯で叢生とシザーズバイトの改善
治療概要
- 患者様:20代女性
- 治療期間:2年1ヶ月
- 治療回数:10~30回
- 矯正装置:ワイヤー(審美装置)
- 概算治療費:100万円
※費用は治療当時の料金となります - 担当医:河口智英
治療動機
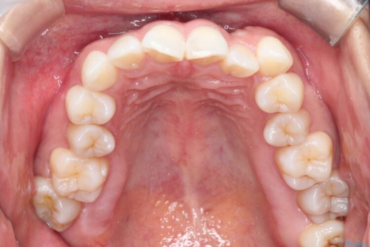
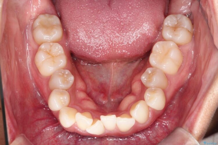
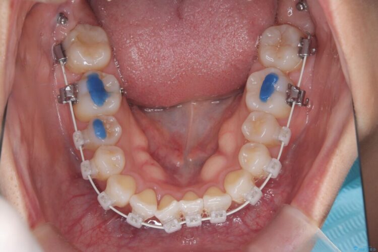
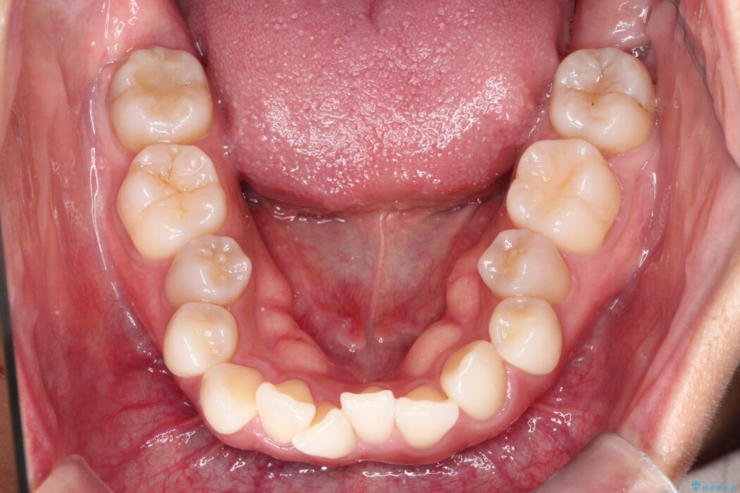
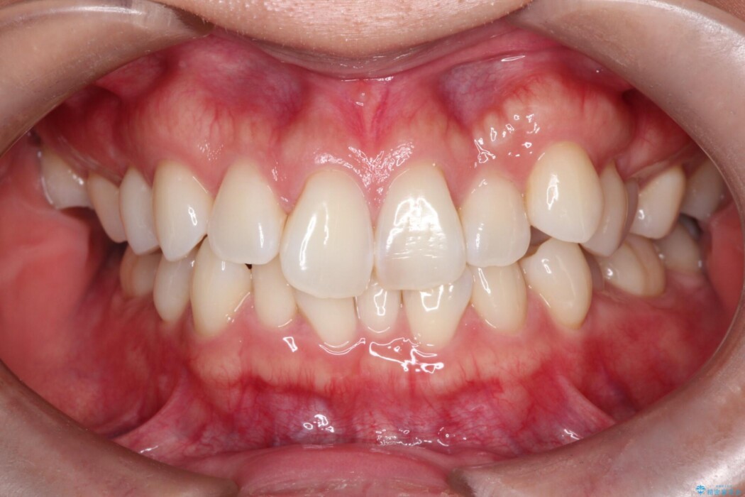
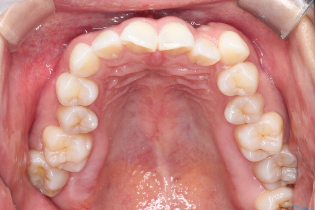
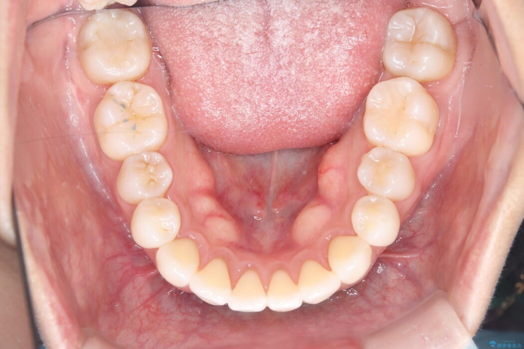
上下のガタつきと、右上の奥歯が外側に飛び出して上下が正しく噛み合わないシザーズバイトの改善のためにご来院された患者様です。
治療計画
矯正検査の結果、右上7番が頬側に大きくズレており、うまくかみ合っていない状態でした。
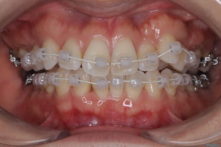
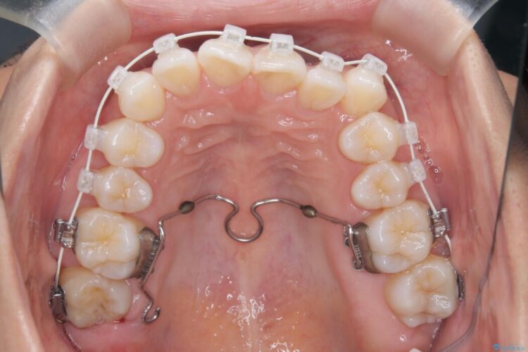
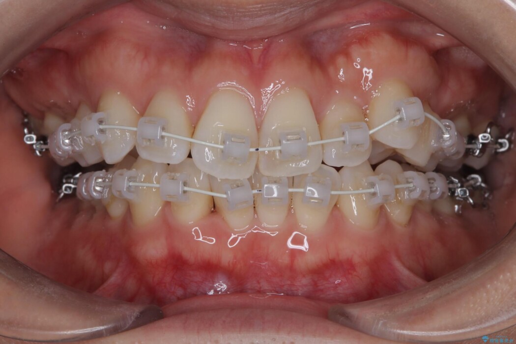
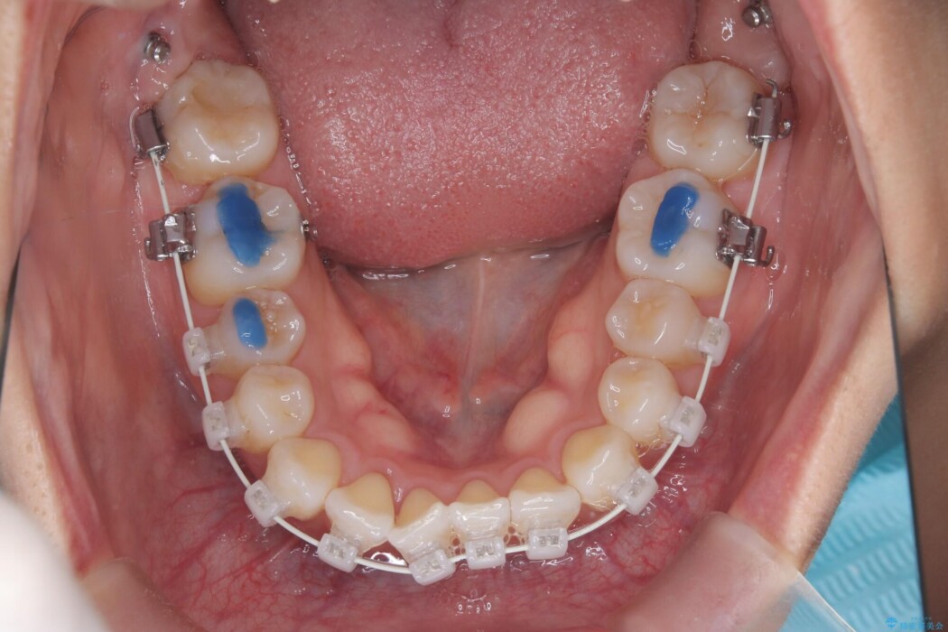
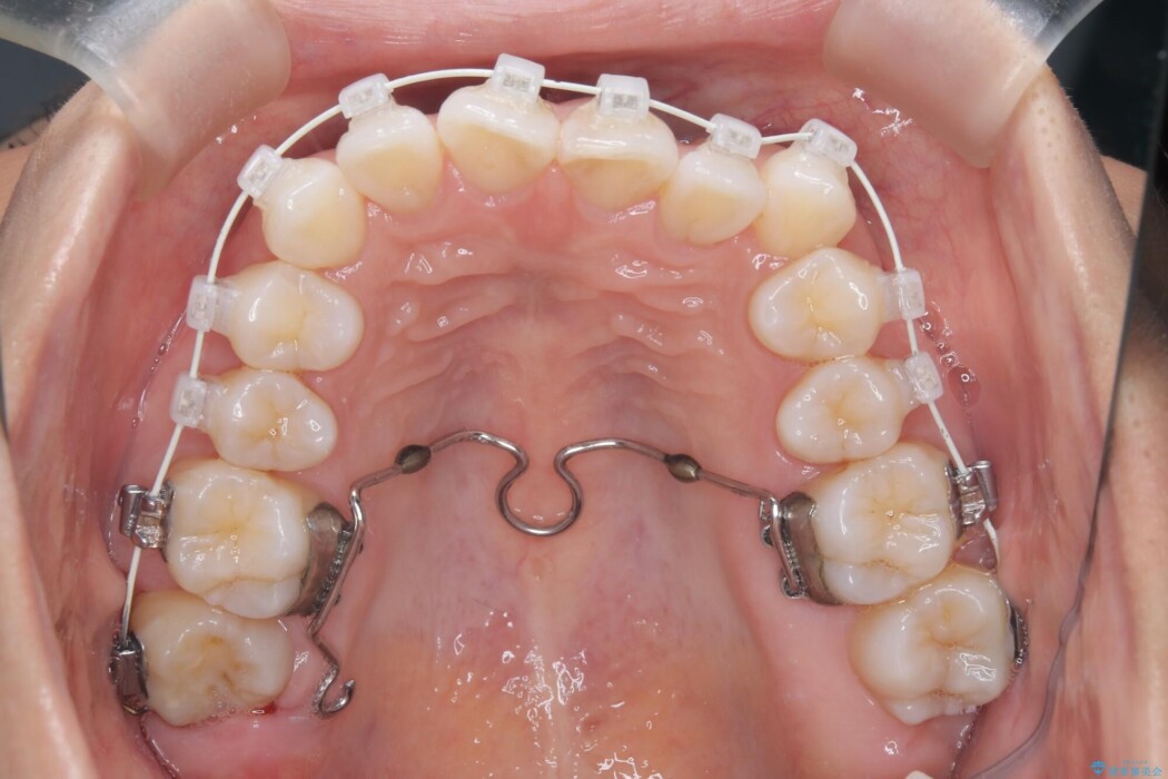
全体的にスペース不足ではありましたが、患者様は抜歯をしたくないとのご要望だったため、上顎の裏側に「トランスパラタルアーチ(TPA)」という装置を装着し、奥歯の幅を調整しながらスペースを確保する計画を立案。
矯正装置は目立ちにくい審美ワイヤーを使用しています。
治療後について
トランスパラタルアーチを用いて右上7番目の歯を内側へ誘導し、正しい位置へと修正しました。
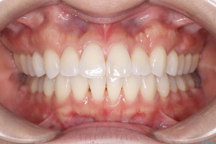
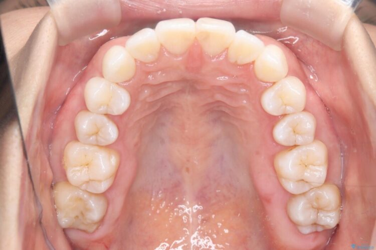
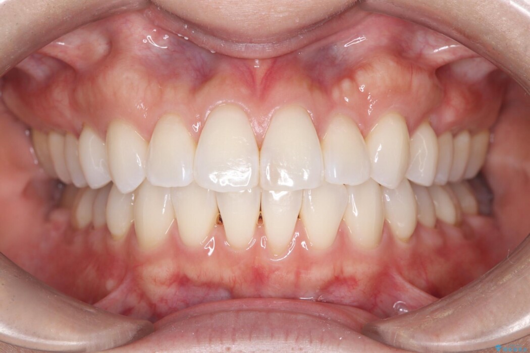
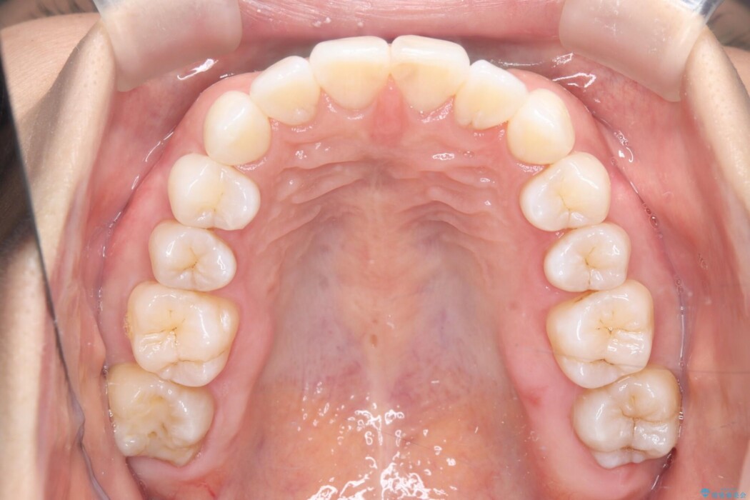
まずはこの装置で奥歯の土台を安定させつつ、ワイヤー装置による繊細な歯の移動を組み合わせることで、非抜歯で歯列全体のアーチを整えていきました。シザーズバイトが解消されたことで、奥歯でしっかりと物を噛めるようになり、顎の動きもスムーズに改善されました。
治療完了後、前歯のガタつきはきれいに整い、上下の奥歯も理想的な位置で噛み合うようになりました。非抜歯での治療により、ご自身の歯をすべて残したまま、機能的で美しい歯並びを実現することができました。
ワイヤー矯正の注意事項(リスク・副作用など)
- 治療中は違和感や痛みが起こることがあります
- 症状により、抜歯が必要な場合があります
- 治療中は歯磨きがしにくくなるため、虫歯や歯周病になりやすくなります
- 矯正治療後の保定が不十分だと後戻り(元の位置に戻ろうとする動き)をします
- 自費診療(保険適用外)となります









