ガタつきと口元の突出感を抜歯ワイヤー矯正で改善
治療概要
- 患者様:20代男性
- 治療期間:2年6ヶ月
- 治療回数:10~30回
- 矯正装置:審美ワイヤー
- 概算治療費:95万円
※費用は治療当時の料金となります - 担当医:河口智英
治療動機
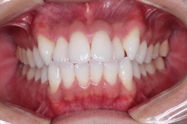
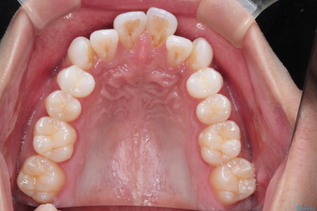
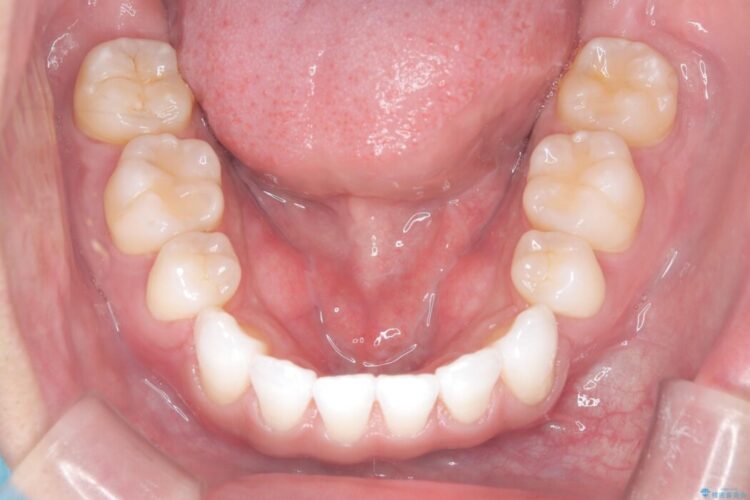
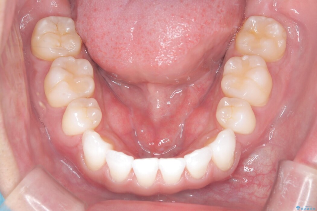
叢生と口元の突出感が気になるとご相談にいらっしゃった患者様です。
治療計画
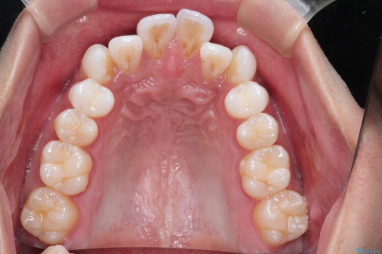
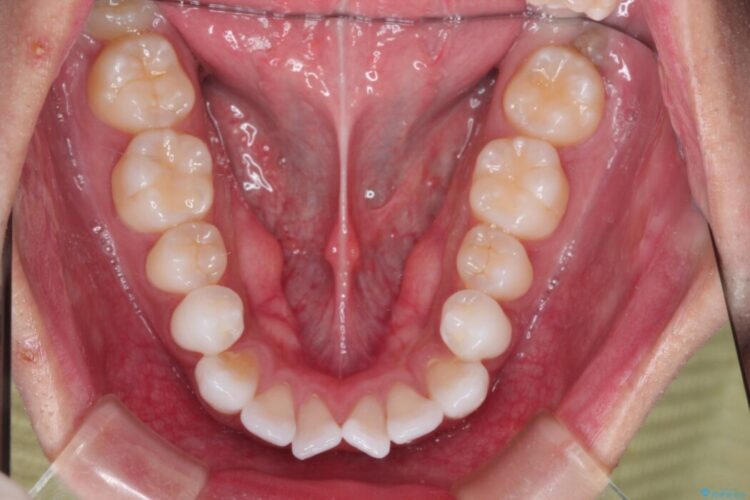
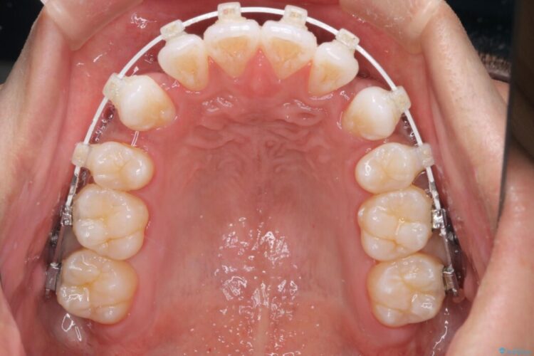
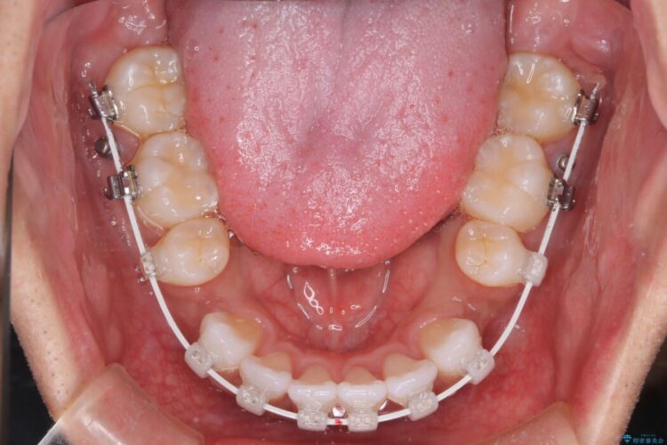
矯正検査の結果、歯列全体のスペースが大幅に不足しており、そのまま並べてしまうとさらに前歯が押し出されてしまう恐れがありました。
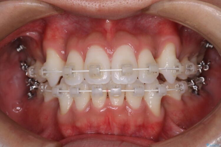
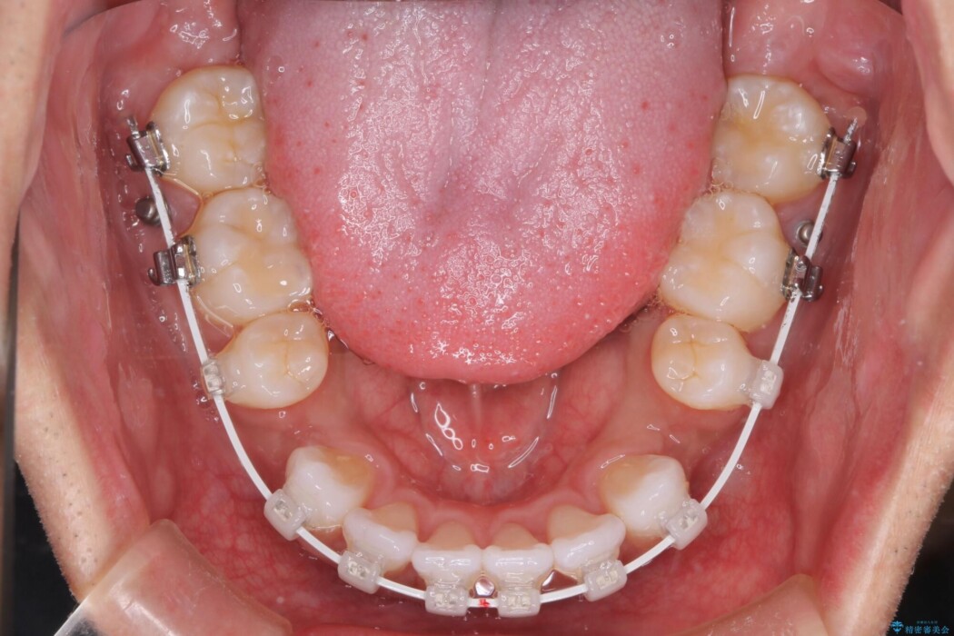
全体的なガタつきを解消しつつ、前歯をしっかりと下げ口元をすっきりさせるために上下左右の小臼歯4本を抜歯し、目立ちにくい審美ワイヤーにて治療を行うこととしました。
治療後について
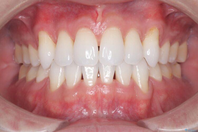
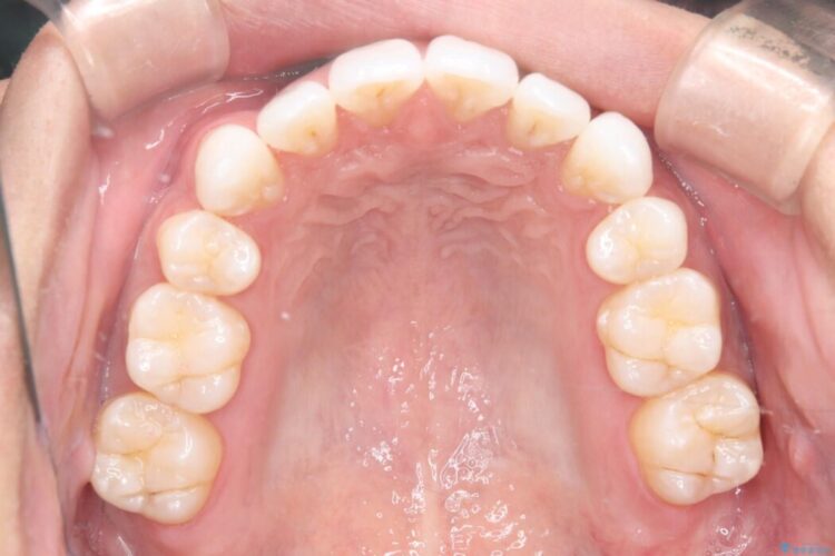
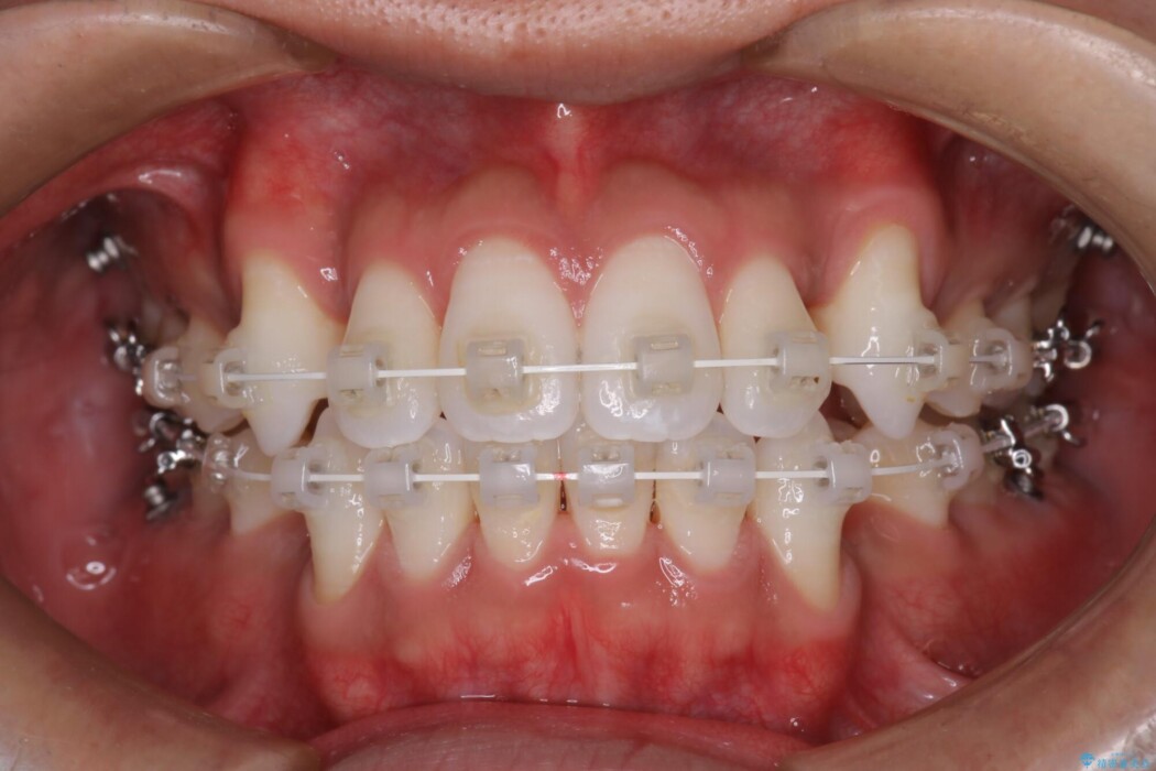
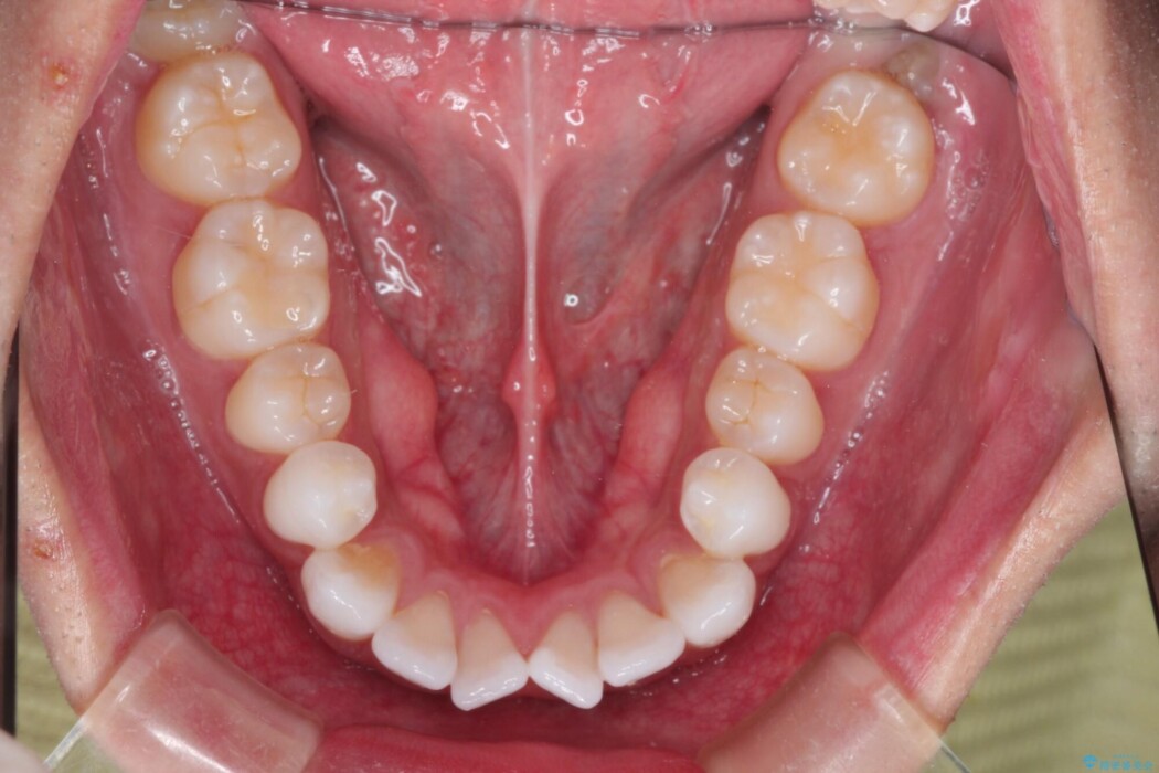
抜歯で得たスペースを活用し、まずは歯のガタつきを整え、次に前歯をゆっくりと後ろへ下げていきました。
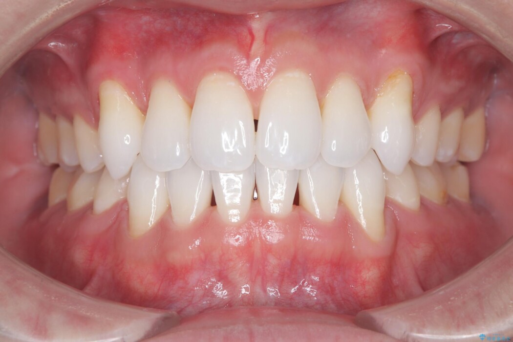
目立ちにくい審美ワイヤーを使用し、横顔のバランスを細かく調整しながら治療を進めた結果、突き出ていた口元が下がってスッキリとした印象に。歯並びだけでなく、しっかり噛める健康的な口元を実現しました。
マウスピース矯正の注意事項(リスク・副作用など)
- 口腔内・歯並びの状態によっては対応できない場合があります
- マウスピース型矯正装置の長時間装着(1日20時間以上)が必須です
- 治療計画通りに進めるためには、患者様の意志が重要になります
- 矯正治療後の保定が不十分だと後戻り(元の位置に戻ろうとする動き)をします
- 薬機法対象外の矯正歯科装置のため医薬品副作用被害救済制度の対象外となる場合があります
- 自費診療(保険適用外)となります









