目立たないハーフリンガル矯正で口元の突出感を改善
治療概要
- 患者様:20代女性
- 治療期間:2年
- 治療回数:30回以上
- 矯正装置:ハーフリンガル矯正
- 概算治療費:120万円
※費用は治療当時の料金となります - 担当医:河口智英
治療動機
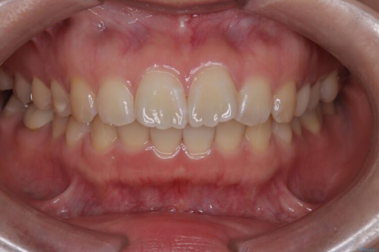
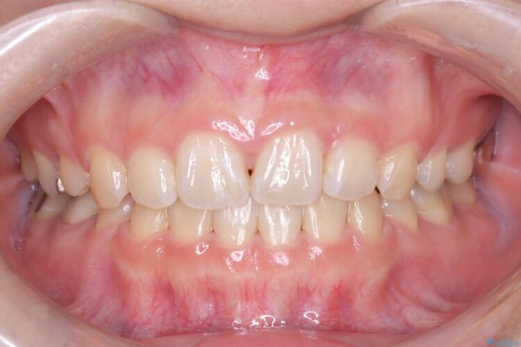
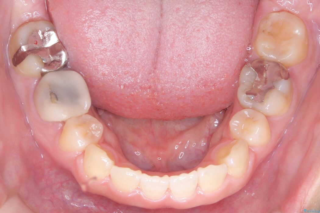
口元が突出していることを気にされご来院された患者様です。
治療計画
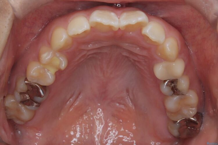
精密検査の結果、前歯を大きく後退させるスペースが必要と診断しました。
「前歯を下げたい」という患者様の強いご希望に応えるため、上下左右の第一小臼歯を抜歯。そのスペースを利用し前歯を奥へ移動させる治療計画を立案しました。
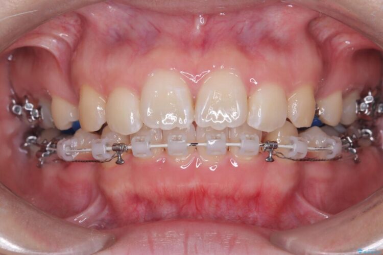
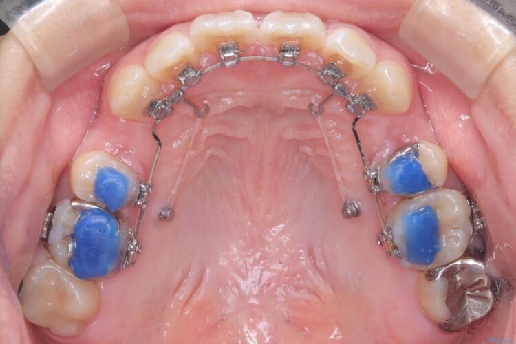
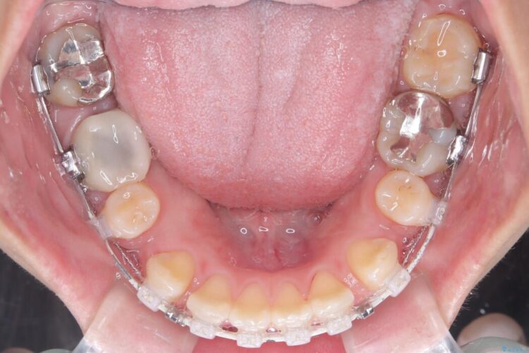
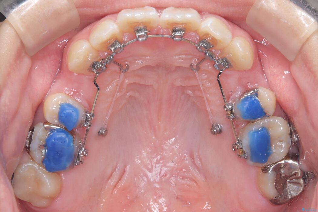
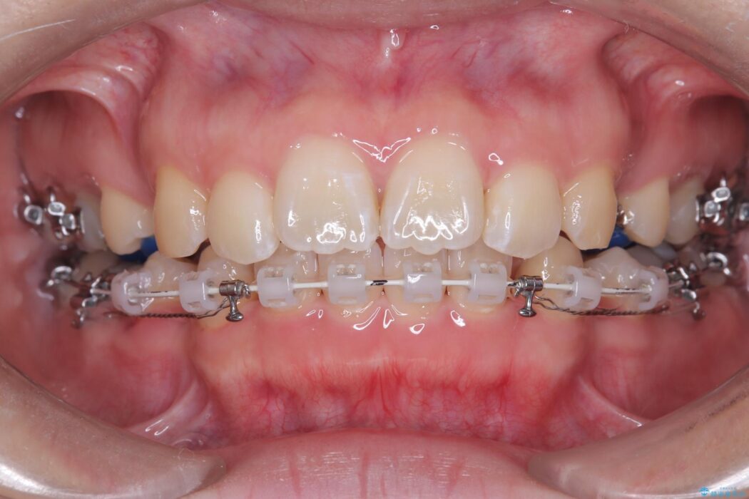
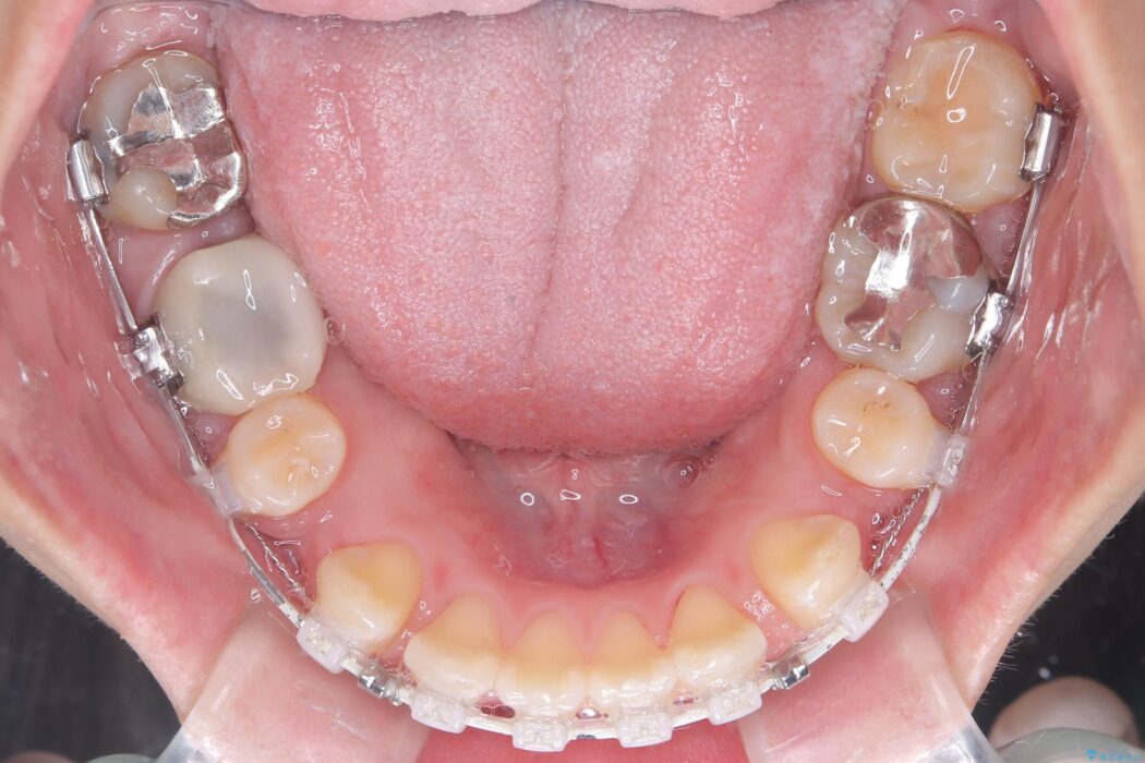
装置は人目を気にせず治療できるよう、上顎に裏側矯正、下顎に表側矯正を組み合わせたハーフリンガル矯正を提案しました。
治療後について
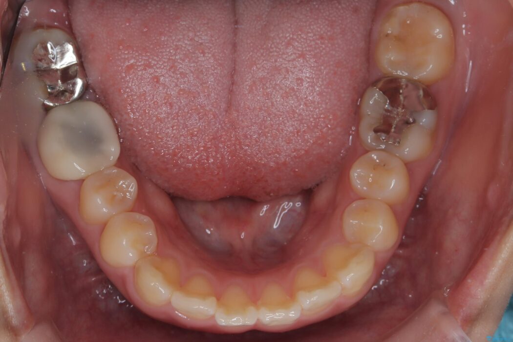
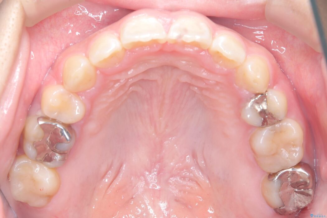
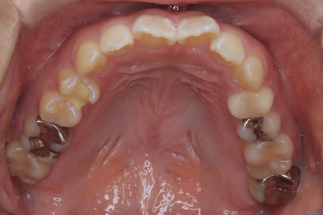
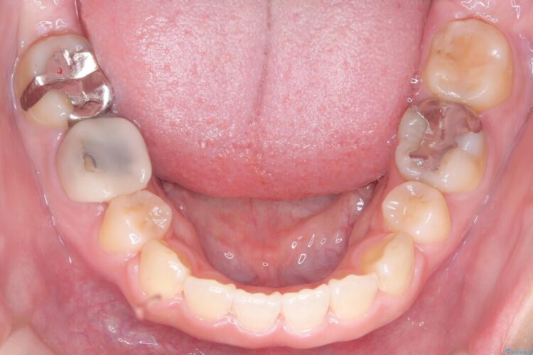
今回の矯正治療では、前歯を大きく後退させるスペースを確保するため、計画通り上下左右の第一小臼歯を抜歯しました。
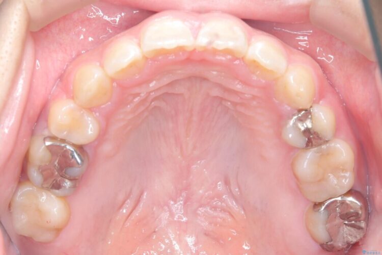
装置には、上顎には目立たない裏側矯正(舌側矯正)を、下顎には透明な審美ブラケットを使用するハーフリンガル矯正を採用しました。抜歯によってできたスペースを最大限に活用し、前歯を効率よく後方へ移動。治療の結果、口元の突出感が大幅に解消され、Eライン(横顔の美しさの基準)も改善しました。人目を気にすることなく治療を完遂し、自信の持てる美しい横顔を獲得していただけました。
ワイヤー矯正の注意事項(リスク・副作用など)
- 治療中は違和感や痛みが起こることがあります
- 症状により、抜歯が必要な場合があります
- 治療中は歯磨きがしにくくなるため、虫歯や歯周病になりやすくなります
- 矯正治療後の保定が不十分だと後戻り(元の位置に戻ろうとする動き)をします
- 自費診療(保険適用外)となります









