ガタつきとディープバイトの改善
治療概要
- 患者様:10代男性
- 治療期間:2年
- 治療回数:10~30回
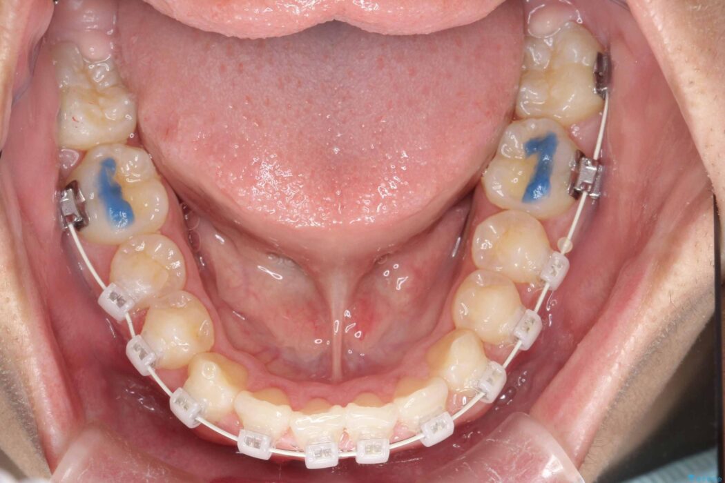
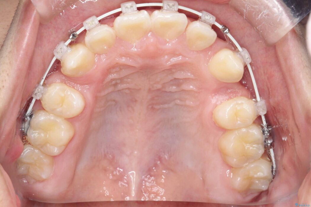
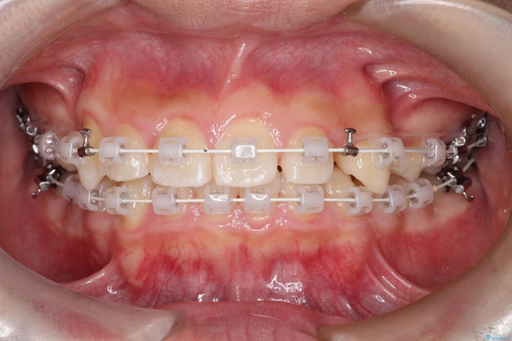
- 矯正装置:ワイヤー(審美装置)
- 概算治療費:110万円(通院費込)
※費用は治療当時の料金となります - 担当医:河野豊嘉
治療動機
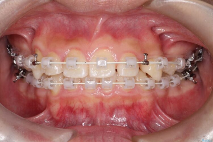
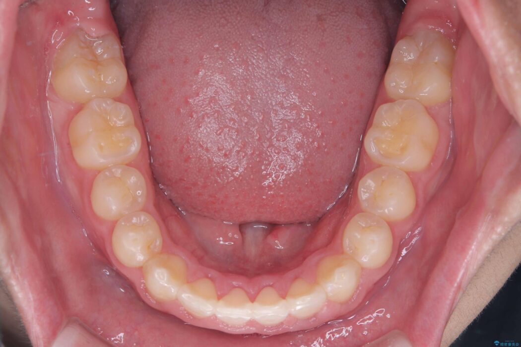
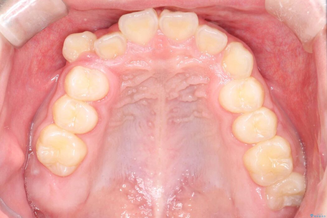
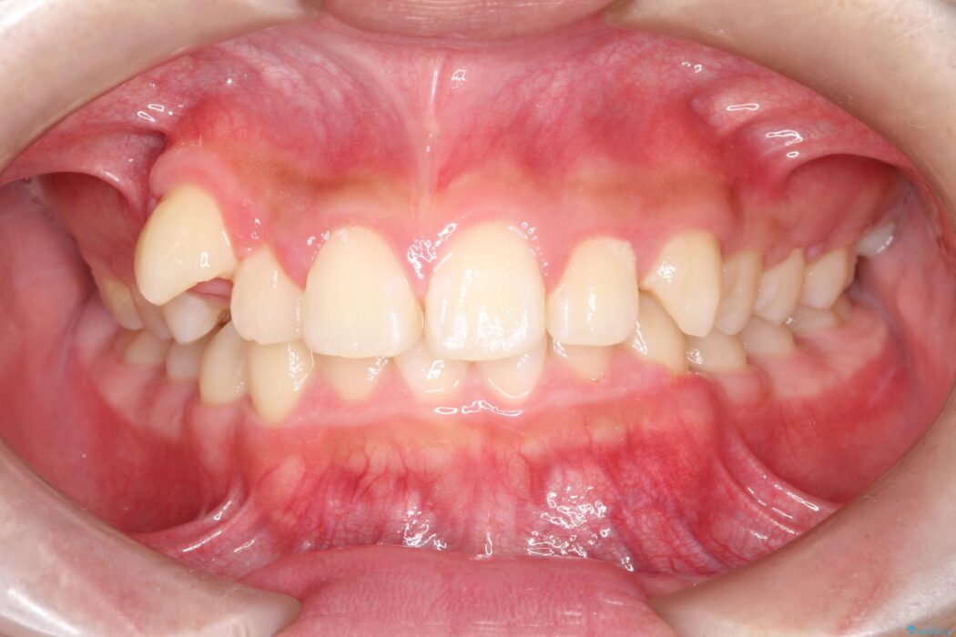
八重歯と深いかみ合わせを治したいとご来院された患者様です。
治療計画
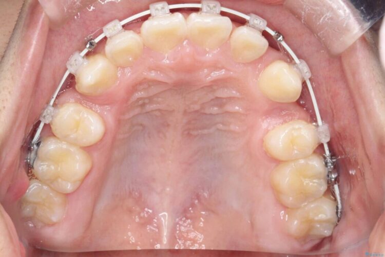
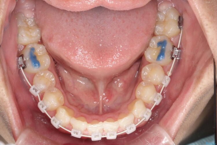
精密検査の結果、上顎左右4番の計2本を抜歯し、目立ちにくいワイヤー矯正装置(審美装置)を用いて治療を行いました。
治療後について
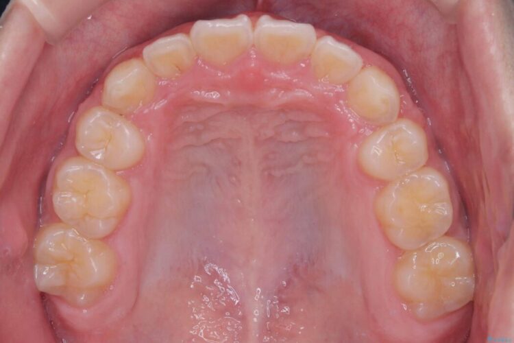
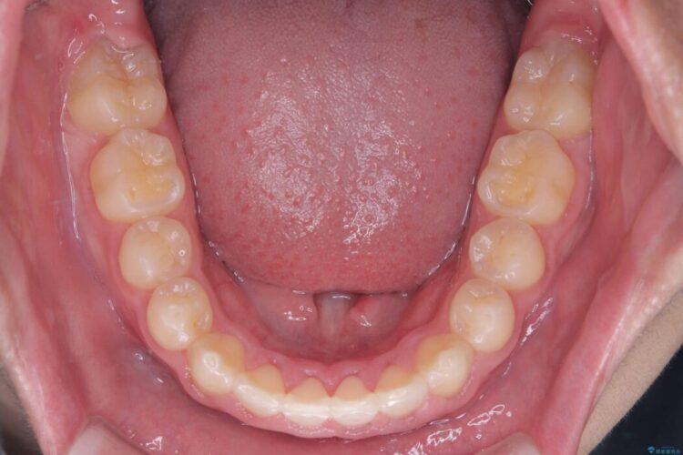
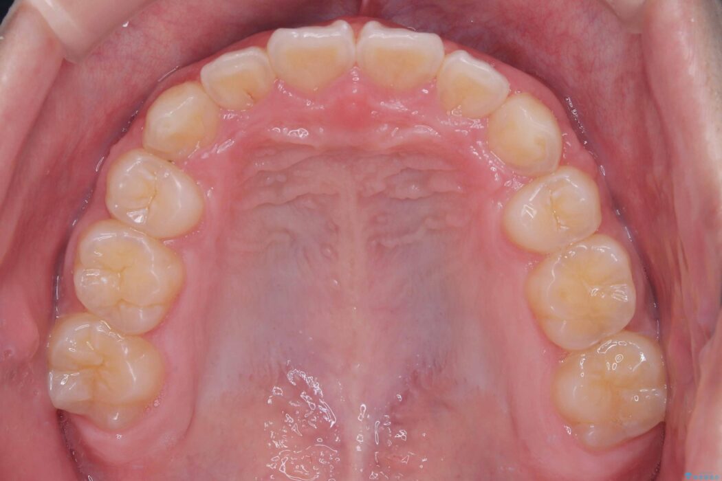
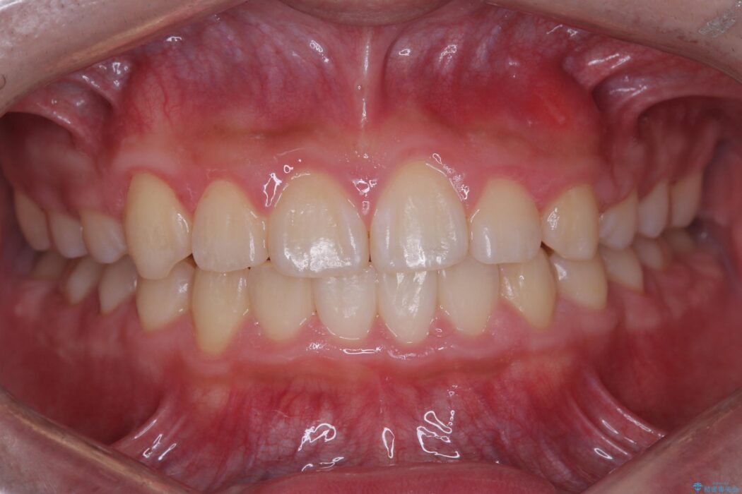
八重歯などの歯列のデコボコが綺麗に改善され、患者様にも大変喜んでいただけました。また、咬み合わせが深い「ディープバイト」も併せて改善し、見た目だけでなく機能面でもバランスの取れた咬合を獲得しています。
ワイヤー矯正の注意事項(リスク・副作用など)
- 治療中は違和感や痛みが起こることがあります
- 症状により、抜歯が必要な場合があります
- 治療中は歯磨きがしにくくなるため、虫歯や歯周病になりやすくなります
- 矯正治療後の保定が不十分だと後戻り(元の位置に戻ろうとする動き)をします
- 自費診療(保険適用外)となります









