1年で変わる!非抜歯ワイヤー矯正でガタつきの改善
治療概要
- 患者様:20代女性
- 治療期間:1年
- 治療回数:10~30回
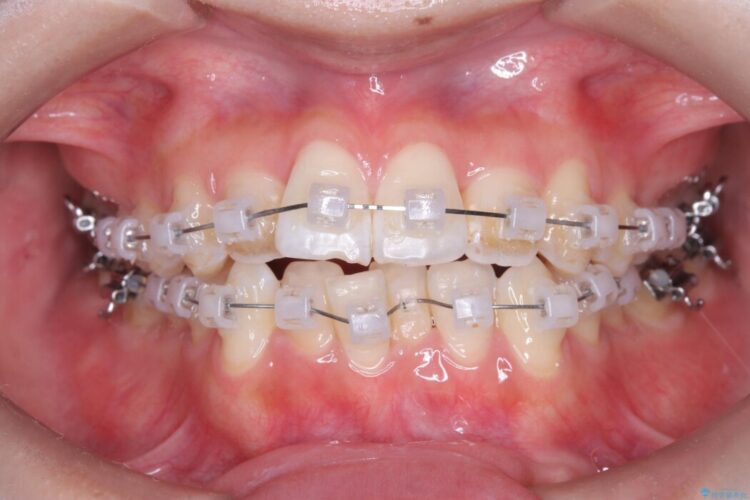
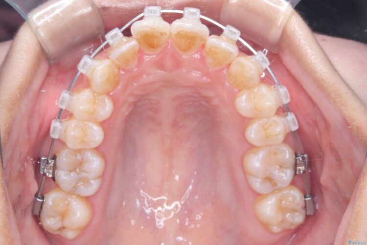
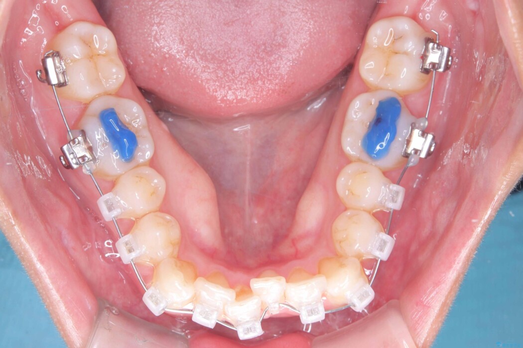
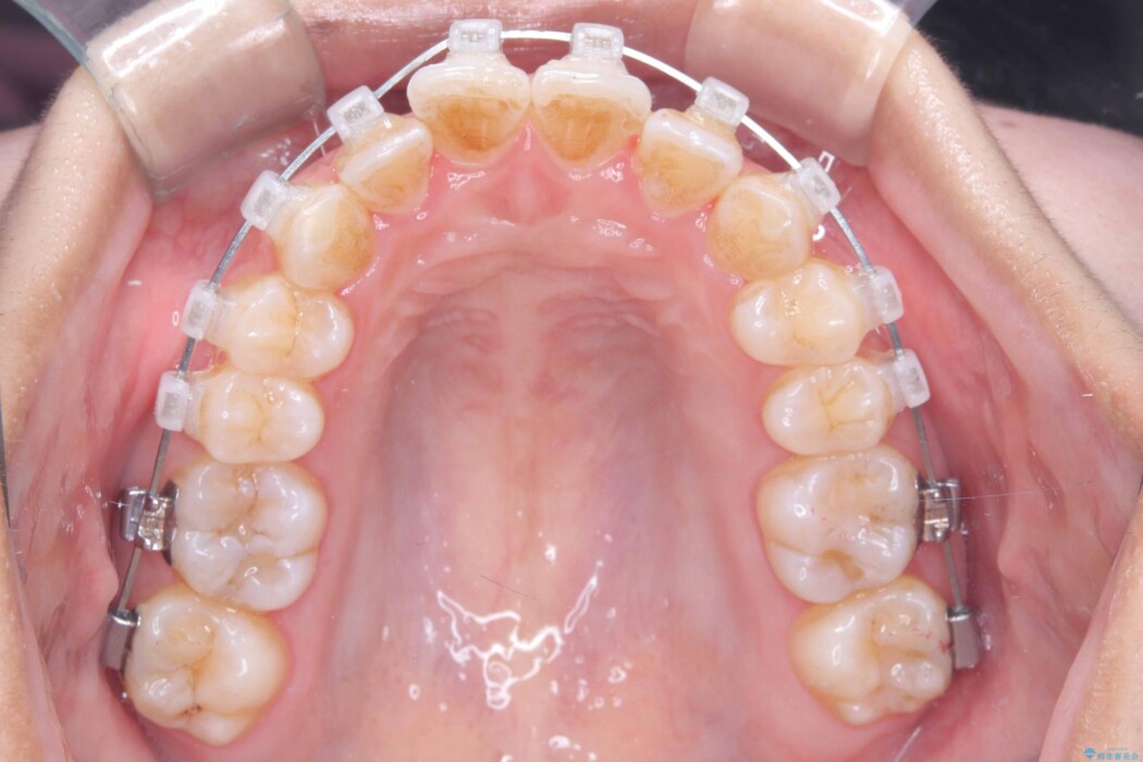
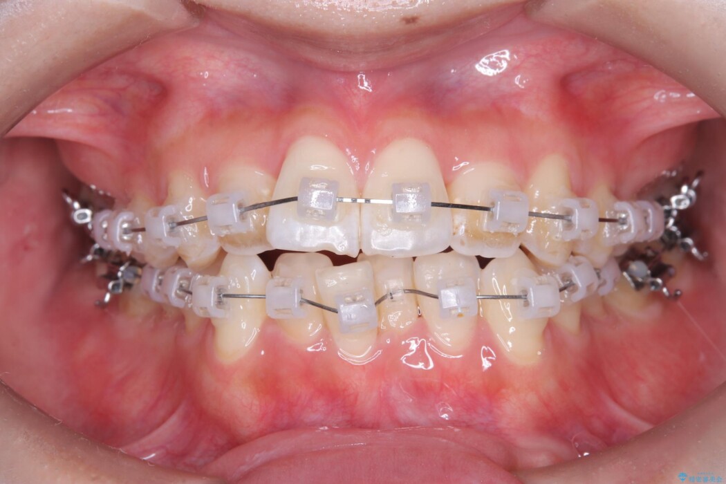
- 矯正装置:クリア装置 ワイヤー
- 概算治療費:77万円(税込、通院費込)
※費用は治療当時の料金となります - 担当医:河野豊嘉
治療動機
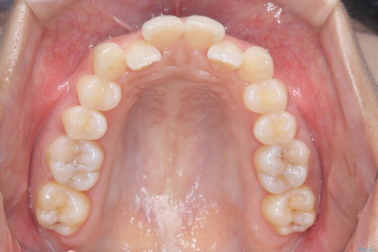
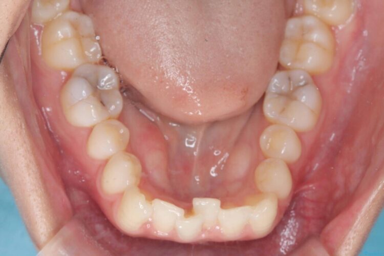
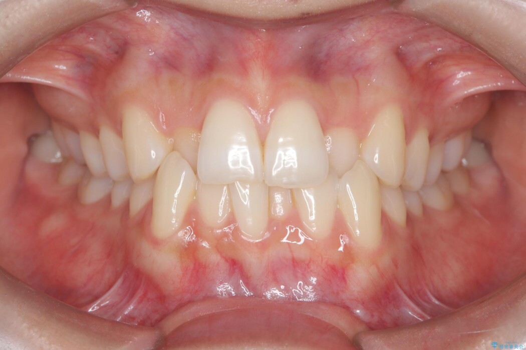
歯のガタつきが気になるとご来院された患者様です。
治療計画
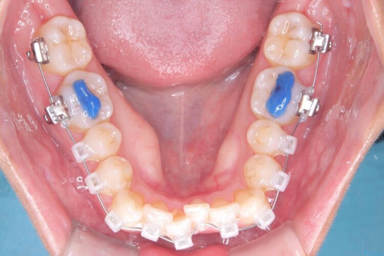
矯正検査の結果、非抜歯にてワイヤー矯正を行うこととしました。
ガタつきのほかに反対咬合も認められたため、見た目だけでなく嚙み合わせも同時に改善していきます。
治療後について
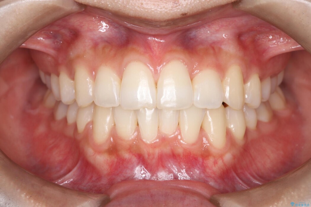
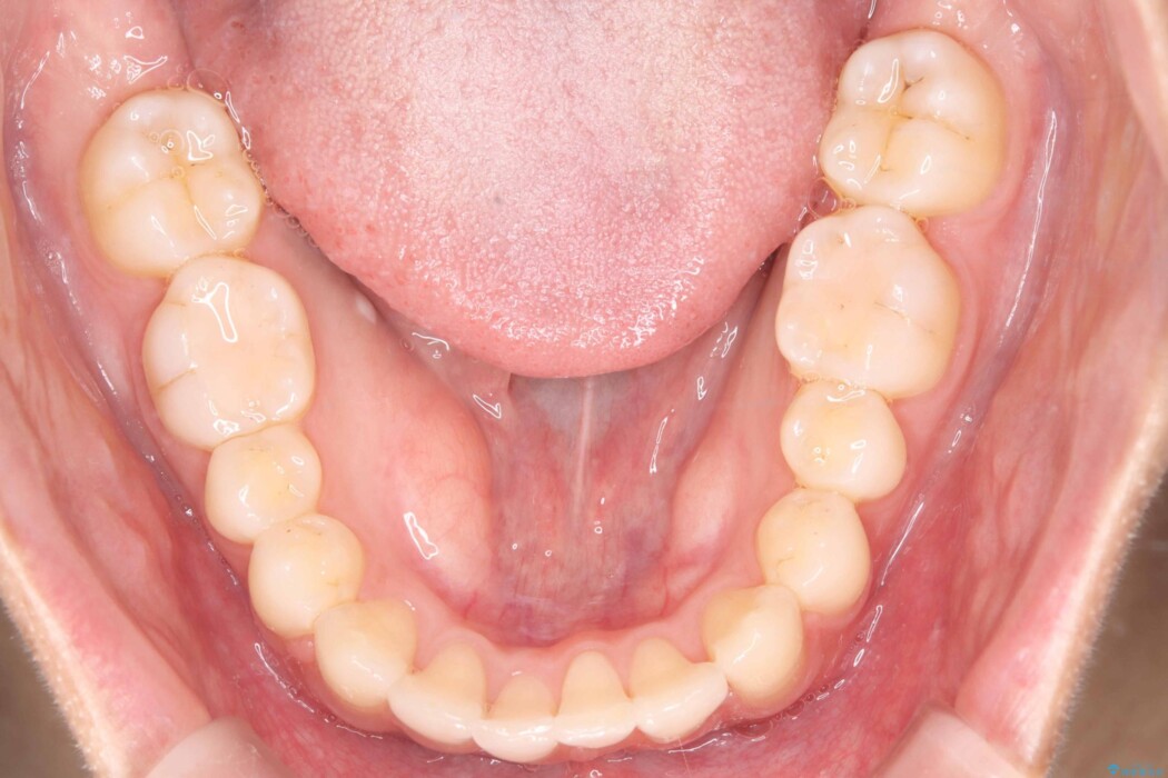
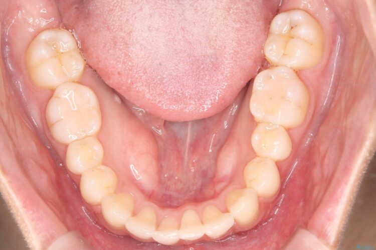
歯の移動量や力のコントロールを最適化することで、短期間で治療完了しました。
「矯正は時間がかかる」というイメージをお持ちの方も多いですが、症例によっては、非抜歯でも短期間で改善が可能な場合があります。
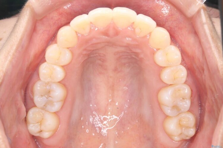
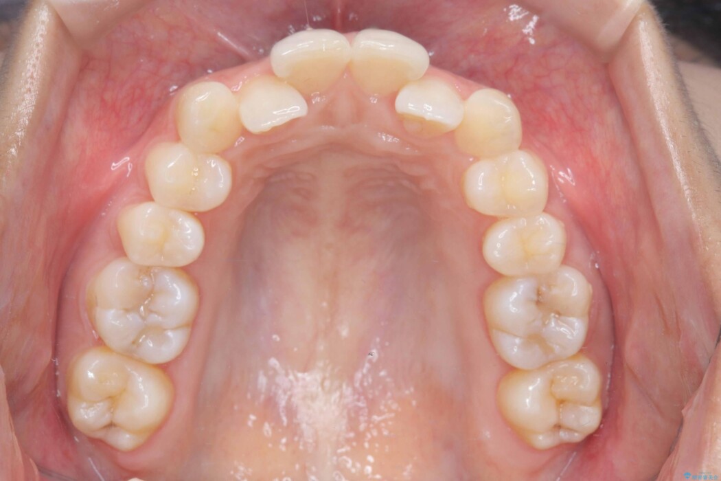
治療後は歯並び・かみ合わせともに大きく改善し、患者様にも大変ご満足いただけました。
ワイヤー矯正の注意事項(リスク・副作用など)
- 治療中は違和感や痛みが起こることがあります
- 症状により、抜歯が必要な場合があります
- 治療中は歯磨きがしにくくなるため、虫歯や歯周病になりやすくなります
- 矯正治療後の保定が不十分だと後戻り(元の位置に戻ろうとする動き)をします
- 自費診療(保険適用外)となります









