非抜歯、短期間で。審美性の高い装置で目立ちにくい矯正治療
治療概要
- 患者様:30代女性
- 治療期間:10ヶ月
- 治療回数:5~10回
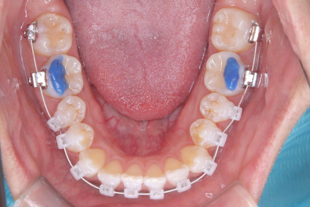
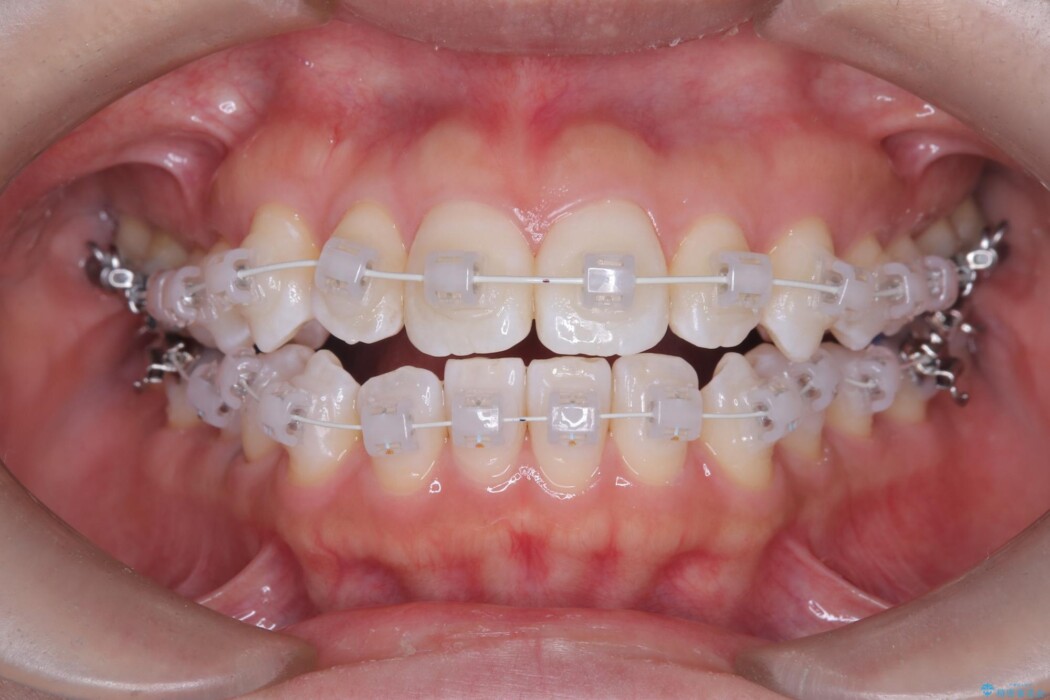
- 矯正装置:ワイヤー(審美装置)
- 概算治療費:77万円(税込、通院費込)
※費用は治療当時の料金となります - 担当医:河野豊嘉
治療動機
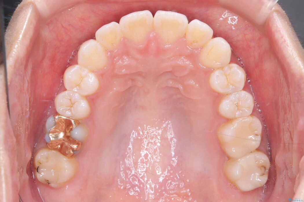
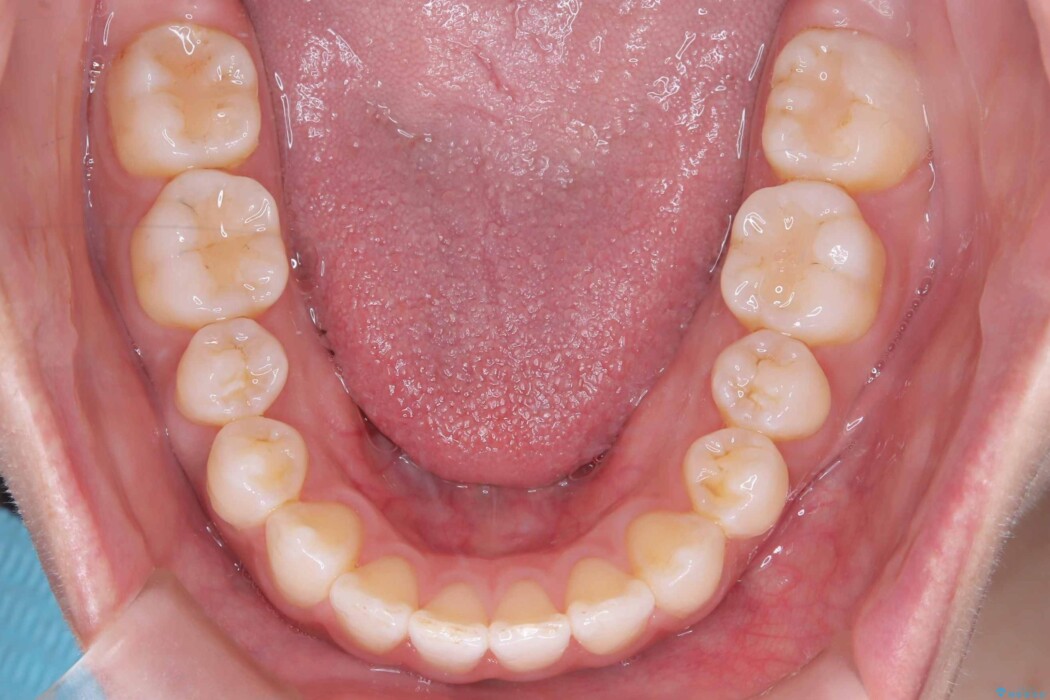
捻じれた歯やガタつきが気になるとご相談にいらっしゃった患者様です。
治療計画
矯正検査の結果、非抜歯で治療が可能と判断しました。
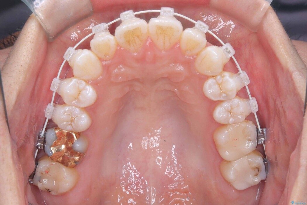
装置は、白いコーティングが施された審美性の高いワイヤーを使用しています。
治療後について
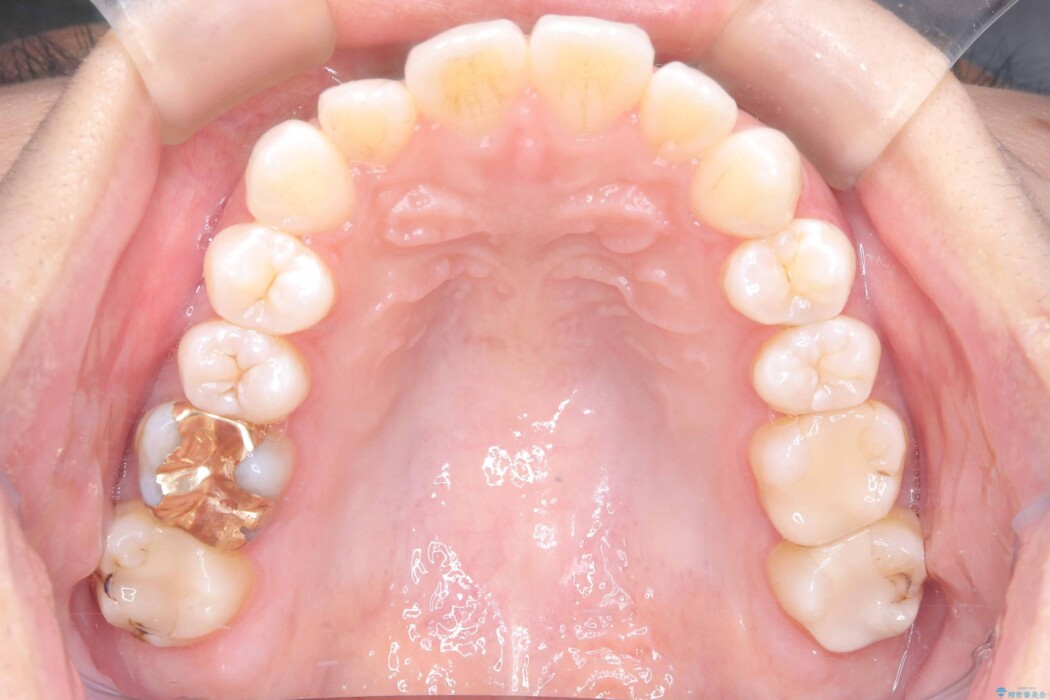
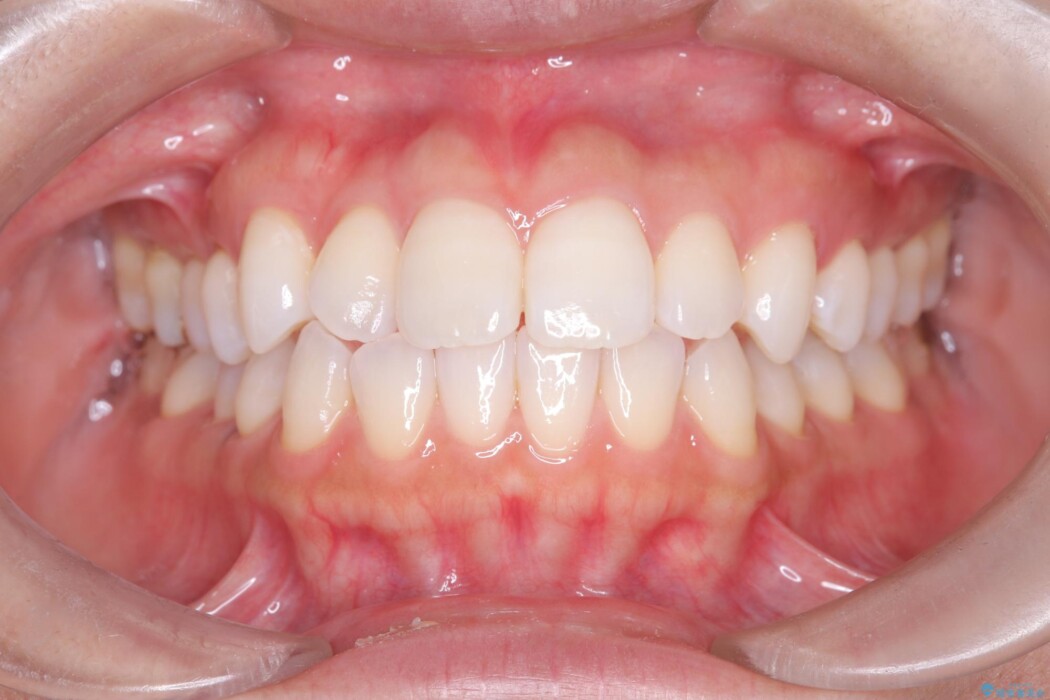
機能的な嚙み合わせの確立と、動的期間の短縮を両立させました。治療過程でバイトアップを実施し、歯の干渉を排除することで、叢生や捻転の効率的な改善を図りました。
精密なプランニングにより、約10ヵ月という早期に、機能・審美ともに優れたゴールへと導いています。
期間を抑えつつ、質の高い矯正治療を希望される方に最適なアプローチです。
ワイヤー矯正の注意事項(リスク・副作用など)
- 治療中は違和感や痛みが起こることがあります
- 症状により、抜歯が必要な場合があります
- 治療中は歯磨きがしにくくなるため、虫歯や歯周病になりやすくなります
- 矯正治療後の保定が不十分だと後戻り(元の位置に戻ろうとする動き)をします
- 自費診療(保険適用外)となります









