40代から始める矯正治療。八重歯が改善されすっきりとした歯並びに
治療概要
- 患者様:40代女性
- 治療期間:1年6ヶ月
- 治療回数:10~30回
- 矯正装置:ワイヤー(審美装置)
- 概算治療費:100万円
※費用は治療当時の料金となります - 担当医:河口智英
治療動機
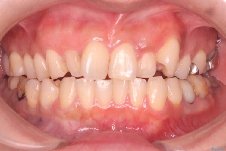
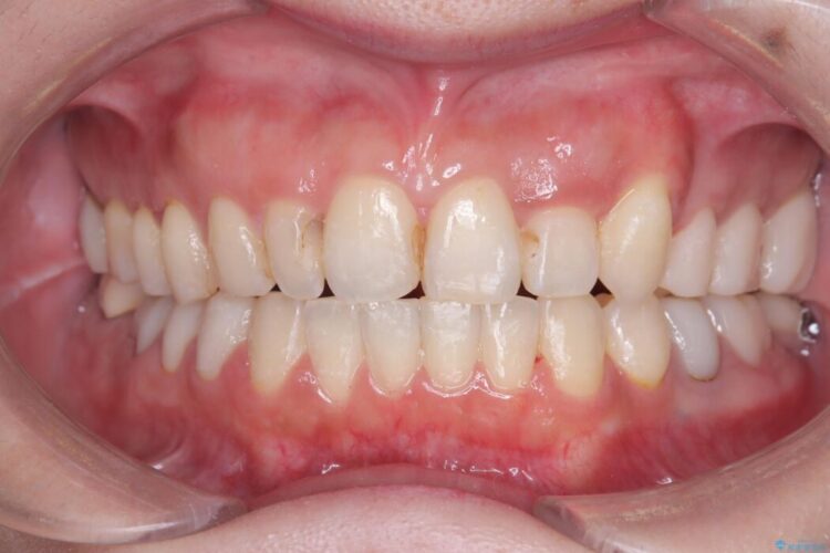
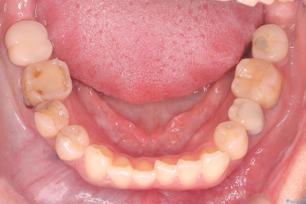
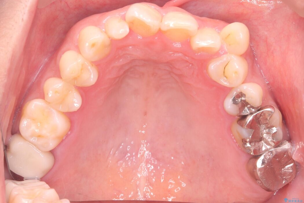
左上の八重歯が出ていることを長年気にされていたが、年齢的な不安から治療を迷われていた患者様です。
治療計画
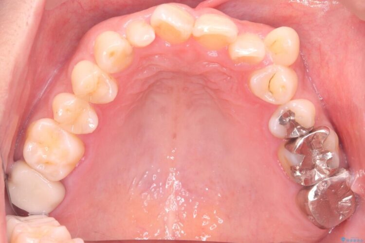
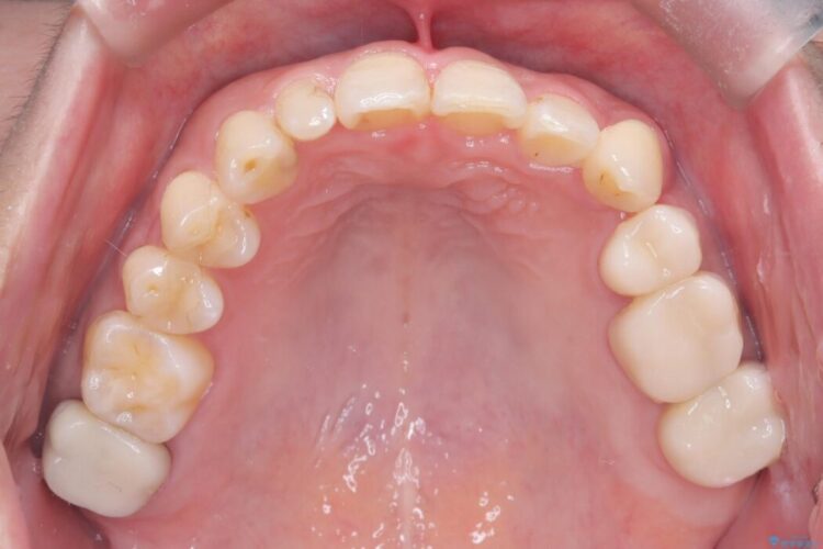
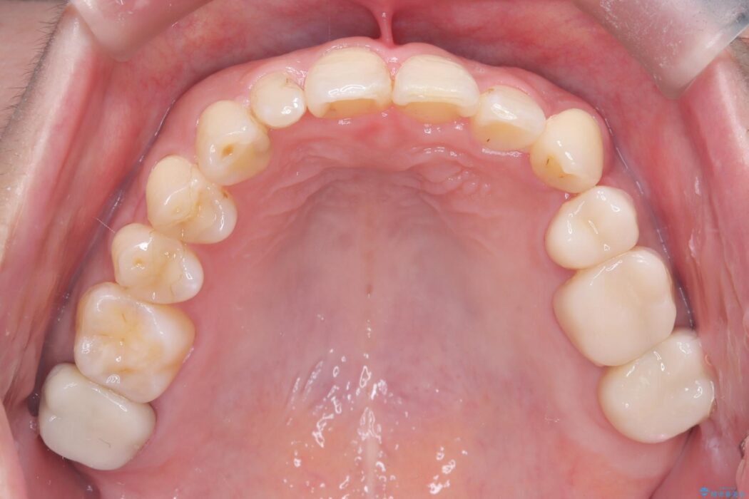
精密検査の結果、左上の八重歯をきれいに並べるためのスペースが不足していることが分かりました。
40代の矯正治療では、無理に歯列を広げると歯ぐきや骨(歯周組織)に負担をかけてしまうリスクがあります。
そのため、左上の4番目の歯を1本抜歯し、確実にスペースを作る計画をご提案しました。
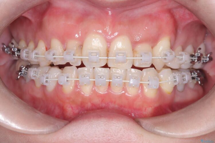
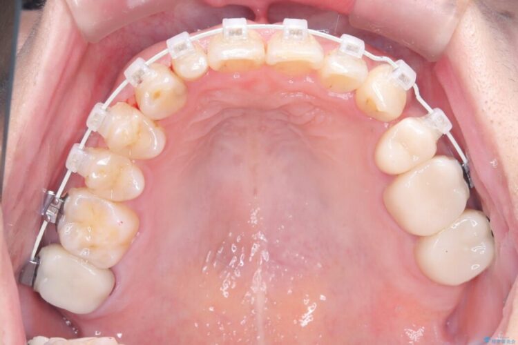
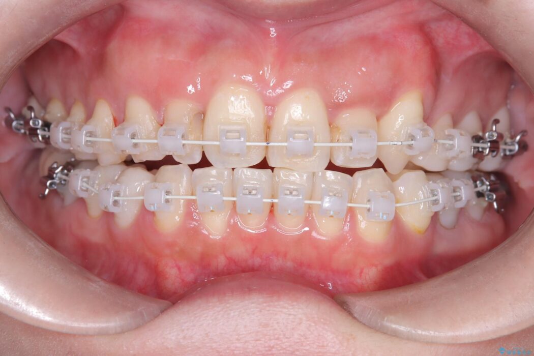
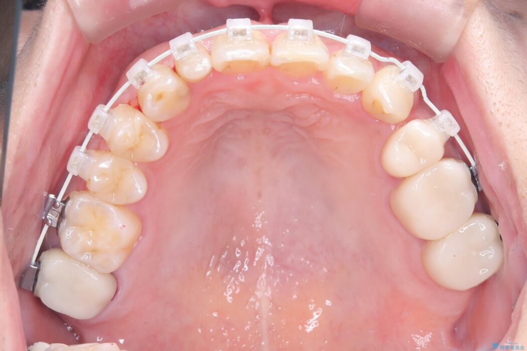
装置には、歯をミリ単位で緻密に動かせる「ワイヤー矯正」を選びました。八重歯を正しい位置へしっかり誘導することで、見た目の美しさはもちろん、将来まで健康に使い続けられる口元を目指していきます。
治療後について
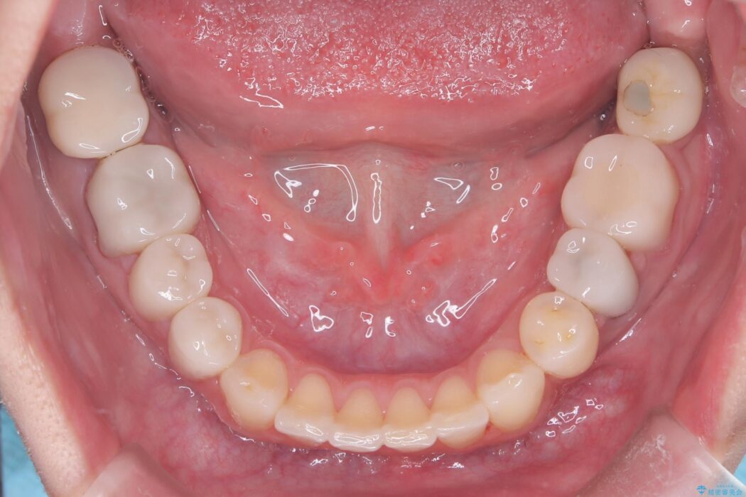
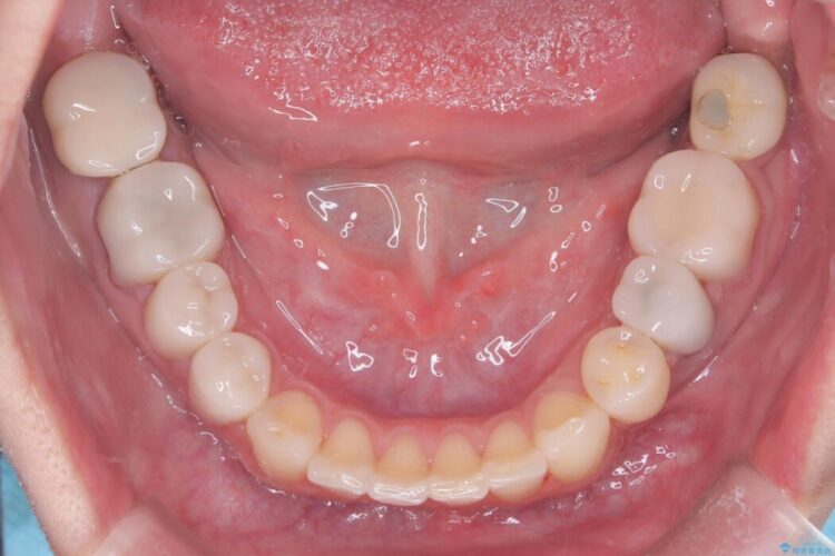
治療が進むにつれ、突出していた八重歯がスムーズに列に収まり、凹凸がなくなったことで、以前よりもブラッシングがしやすく清潔な口腔環境が整いました。治療完了後、長年のコンプレックスから解放された患者様の笑顔は非常に明るく、40代からでも遅くない「大人の矯正」の大きなメリットを実感していただける症例となりました。
ワイヤー矯正の注意事項(リスク・副作用など)
- 治療中は違和感や痛みが起こることがあります
- 症状により、抜歯が必要な場合があります
- 治療中は歯磨きがしにくくなるため、虫歯や歯周病になりやすくなります
- 矯正治療後の保定が不十分だと後戻り(元の位置に戻ろうとする動き)をします
- 自費診療(保険適用外)となります









