重度の叢生を審美ワイヤー装置で整える
治療概要
- 患者様:20代男性
- 治療期間:3年
- 治療回数:10~30回
- 矯正装置:ワイヤー装置
- 概算治療費:100万円
※費用は治療当時の料金となります - 担当医:河口智英
治療動機
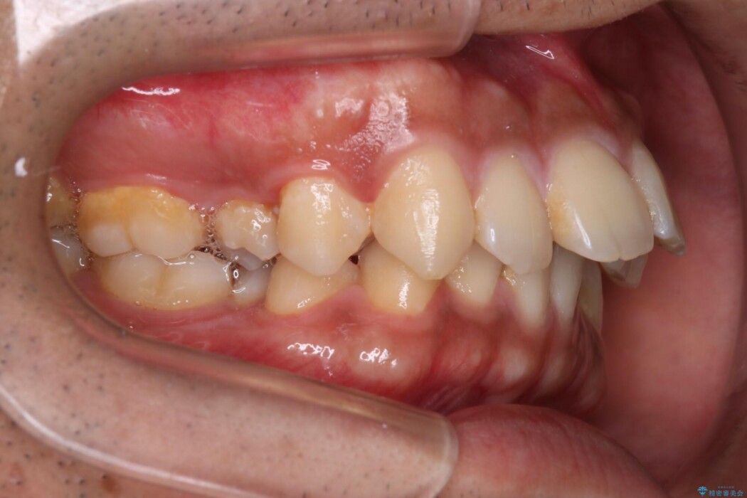
歯列のガタガタさをなおしたいとのことで来院されました。
治療計画
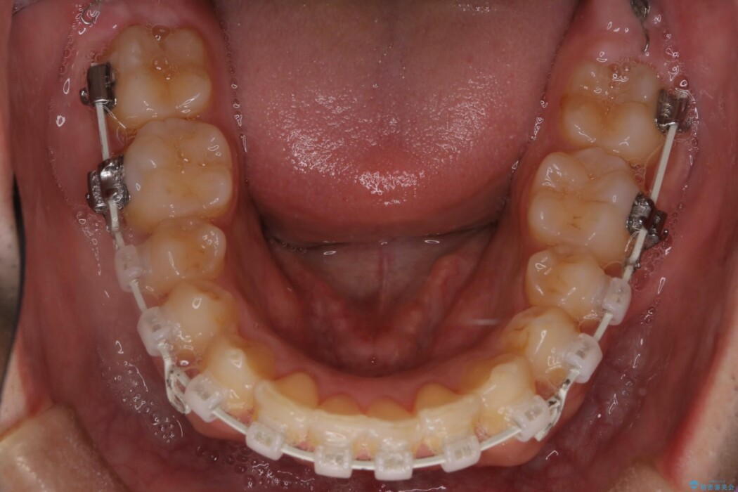
比較的重度の叢生であり整えるためのスペースが足りなかったため抜歯を行うことで確保し、ワイヤー装置にて配列を行いました。
当初はインビザラインでの治療をしていましたが、装着時間の確保が出来ないことからワイヤー矯正治療へ移行しています。
治療後について
特に奥歯の捻転がひどく、整った歯列となるまでに時間は要しましたが、きれいな仕上がりに患者様には大変ご満足いただけました。
ワイヤー矯正の注意事項(リスク・副作用など)
- 治療中は違和感や痛みが起こることがあります
- 症状により、抜歯が必要な場合があります
- 治療中は歯磨きがしにくくなるため、虫歯や歯周病になりやすくなります
- 矯正治療後の保定が不十分だと後戻り(元の位置に戻ろうとする動き)をします
- 自費診療(保険適用外)となります
マウスピース矯正の注意事項(リスク・副作用など)
- 口腔内・歯並びの状態によっては対応できない場合があります
- マウスピース型矯正装置の長時間装着(1日20時間以上)が必須です
- 治療計画通りに進めるためには、患者様の意志が重要になります
- 矯正治療後の保定が不十分だと後戻り(元の位置に戻ろうとする動き)をします
- 薬機法対象外の矯正歯科装置のため医薬品副作用被害救済制度の対象外となる場合があります
- 自費診療(保険適用外)となります















