ガタつきや深い嚙み合わせ、気になるところを一気に解決
治療概要
- 患者様:20代男性
- 治療期間:3年2ヶ月
- 治療回数:30回以上
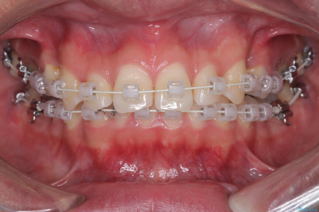
- 矯正装置:ワイヤー(審美装置)
- 概算治療費:99万円(税込・通院費込)
※費用は治療当時の料金となります - 担当医:河野豊嘉
治療動機
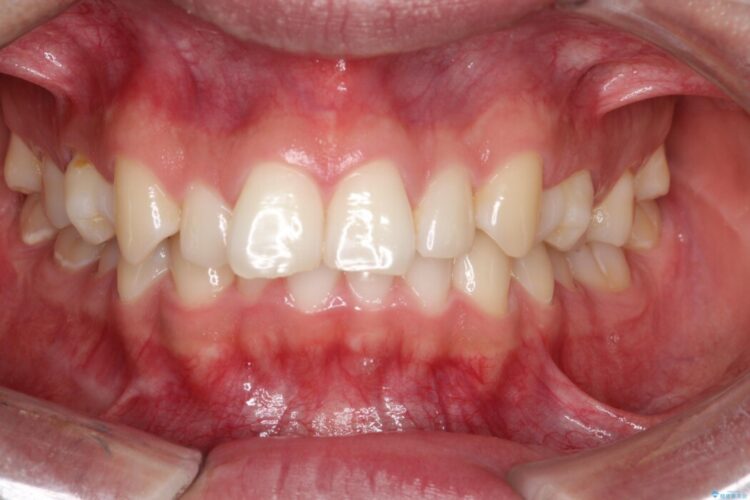
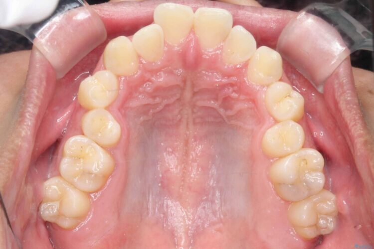
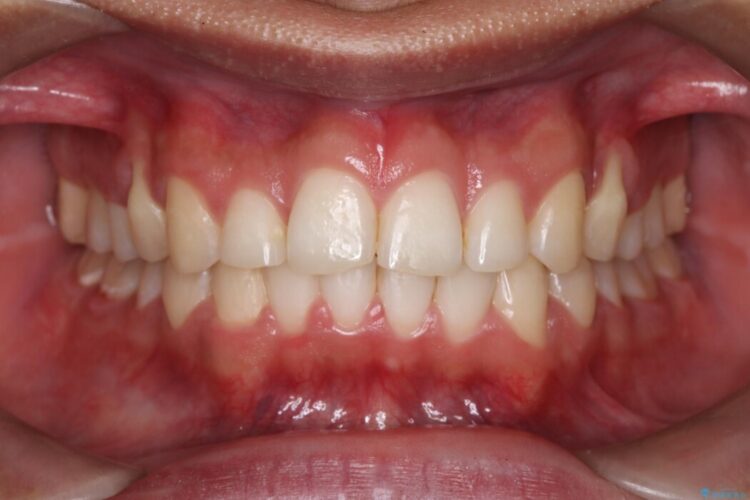
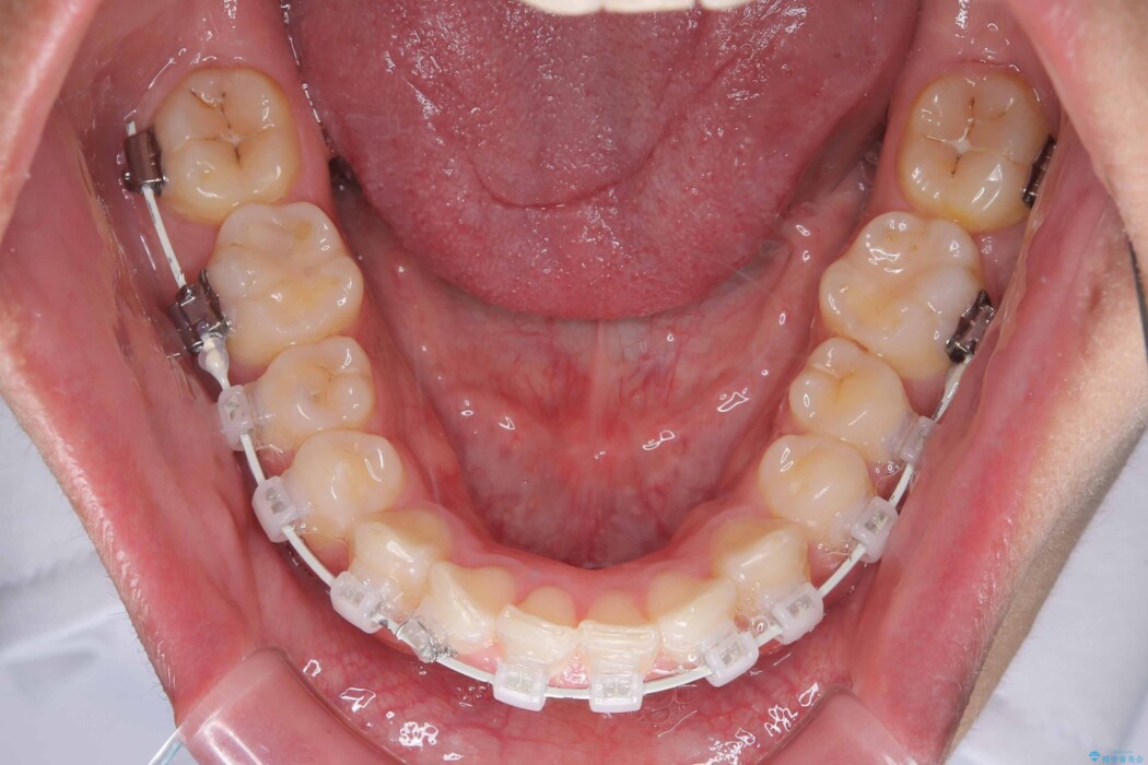
嚙み合わせが合わないことと、歯のガタつきが気になるとご来院された患者様です。
治療計画
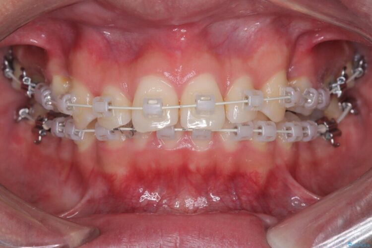
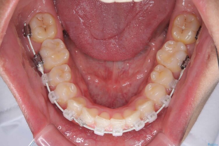
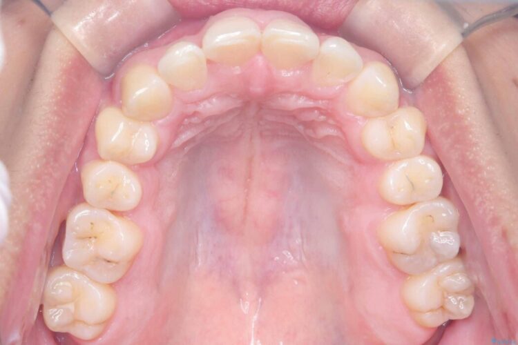
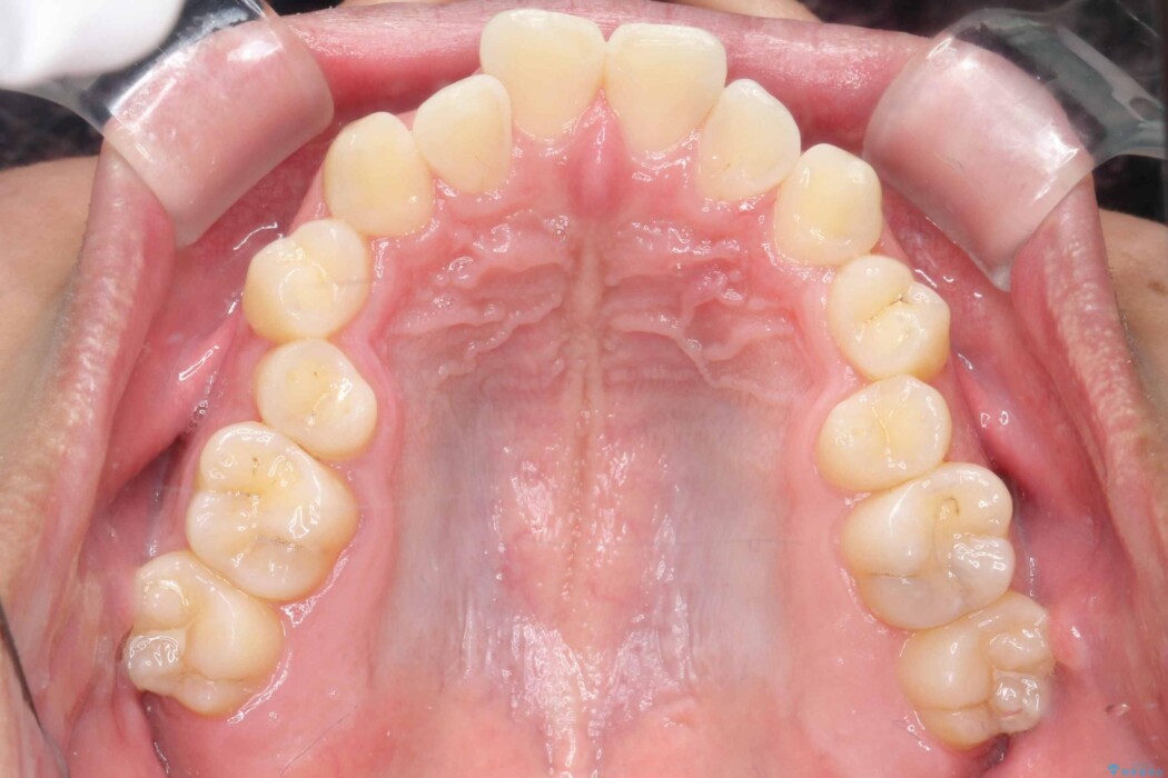
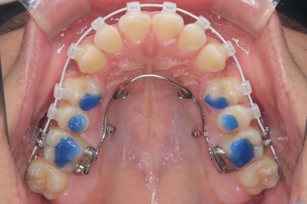
矯正検査の結果、非抜歯ワイヤー装置にて矯正治療を行うこととしました。
重なり合った歯並びや、深い噛み合わせ、大きくねじれた歯など、難易度の高いケースでしたが、リンガルアーチやマイクロインプラントなどの補助装置を併用することで着実に改善へと導きました。
治療後について
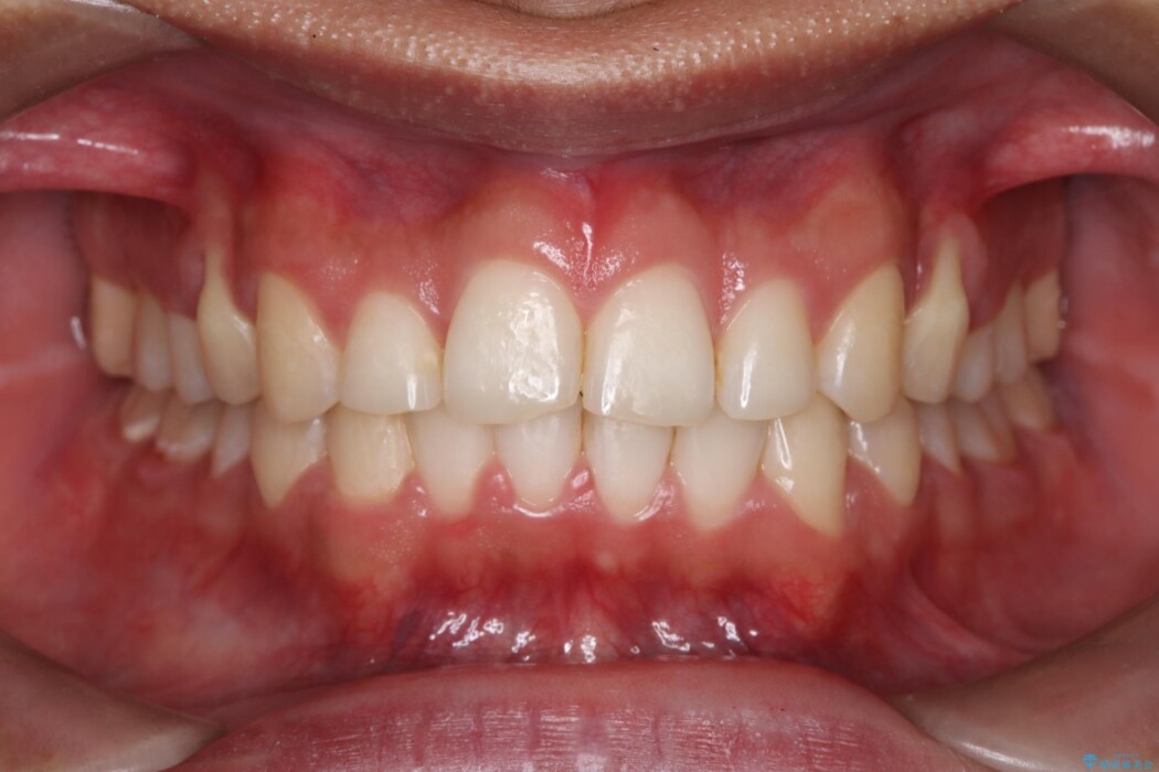
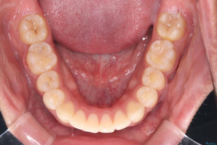
機能的な咬合の確立を最優先し、バイトアップを行いながら三次元的な歯移動を実施しました。3年2ヵ月の治療期間を要しましたが、機能・審美ともに非常に精度の高い仕上がりとなっています。
重度捻転(90度)の改善に伴い生じた歯肉退縮に対しては、今後CTG(結合組織移植術)によるリカバリーを予定。歯列を整えるだけでなく、歯周組織の健康までトータルでサポートする包括的なアプローチを行っています。
ワイヤー矯正の注意事項(リスク・副作用など)
- 治療中は違和感や痛みが起こることがあります
- 症状により、抜歯が必要な場合があります
- 治療中は歯磨きがしにくくなるため、虫歯や歯周病になりやすくなります
- 矯正治療後の保定が不十分だと後戻り(元の位置に戻ろうとする動き)をします
- 自費診療(保険適用外)となります









