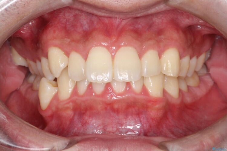
歯のガタつきと口元の突出感の改善
治療概要
- 患者様:20代男性
- 治療期間:3年
- 治療回数:30回以上
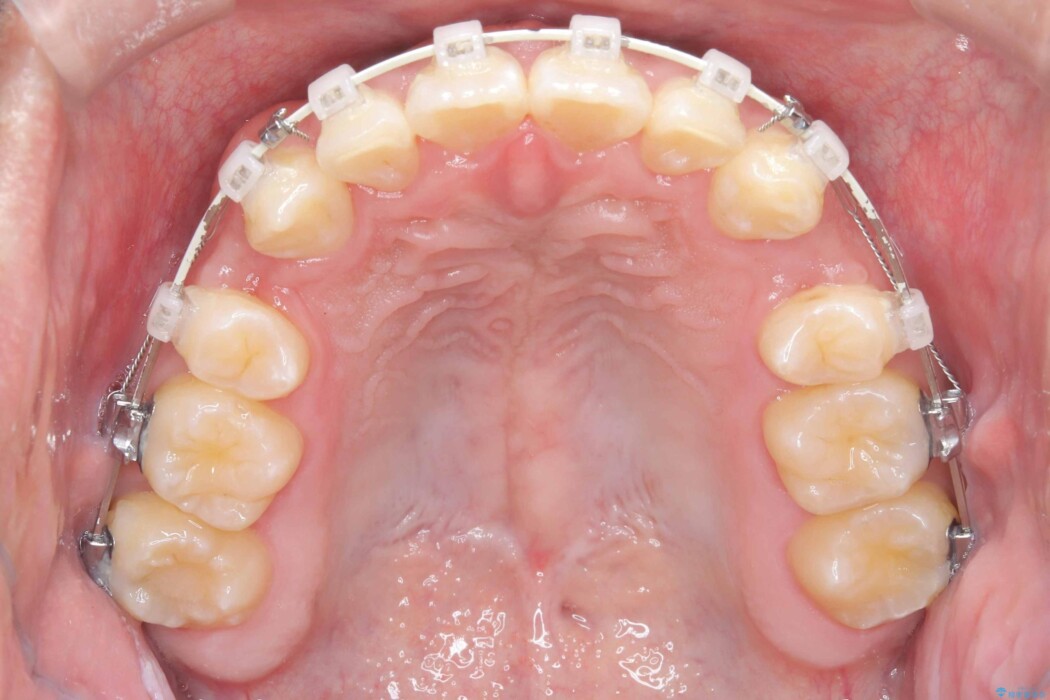
- 矯正装置:審美装置
- 概算治療費:104.5万円(税込・通院費込)
※費用は治療当時の料金となります - 担当医:河野豊嘉
治療動機
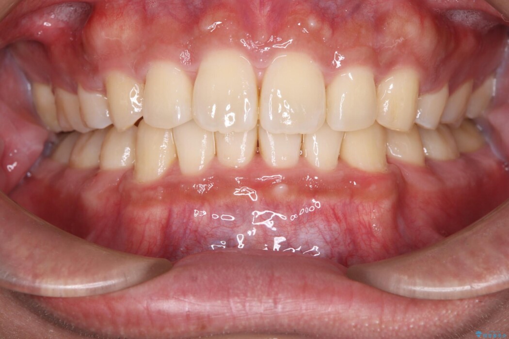
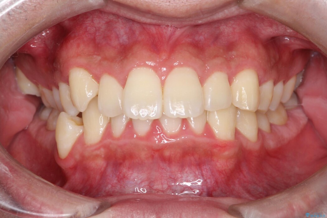
歯のガタつきと口元の突出感、合わない嚙み合わせの改善をしたいとご来院されました。
治療計画
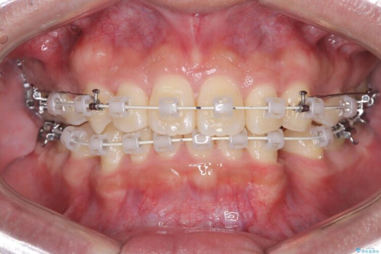
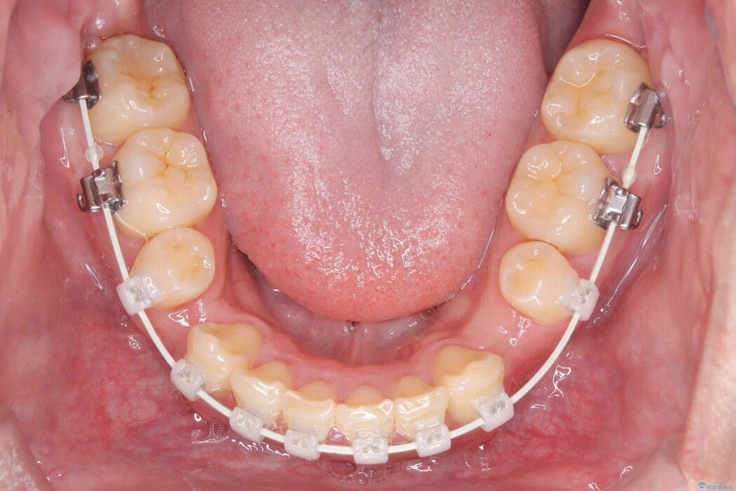
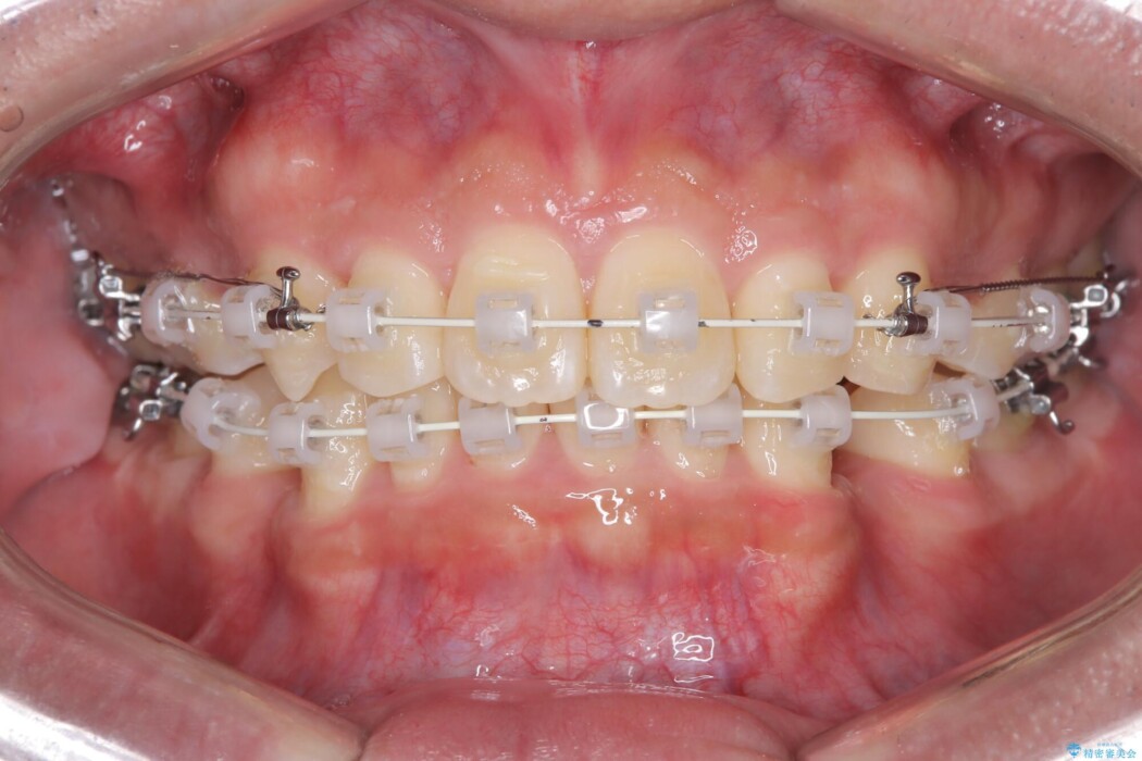
上下左右4番を抜歯しスペースを確保しました。
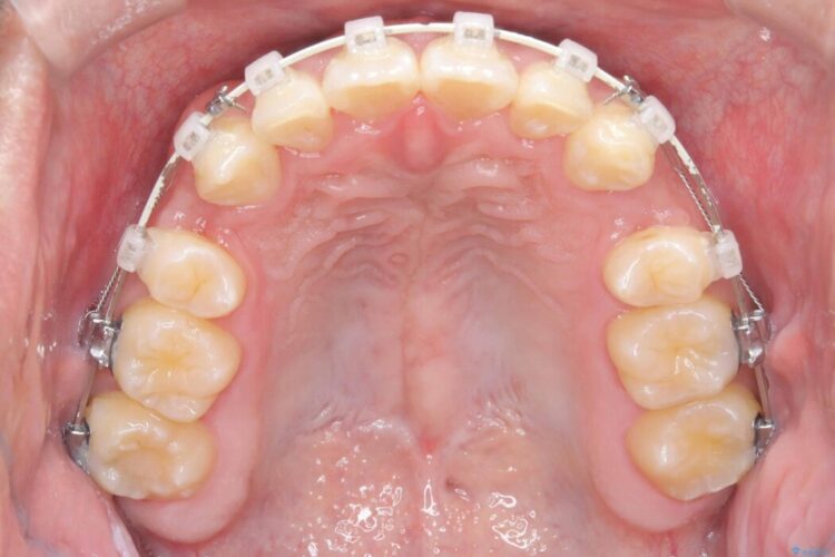
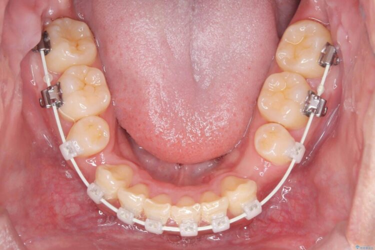
装置は、目立ちにくい審美ワイヤー装置を使用しています。
また、歯石の付着も認められたため、治療前にクリーニングを行っています。
治療中も、虫歯や歯周病のリスクが高まるため定期的なクリーニングやメンテナンスを行い、口腔内環境にも配慮しています。
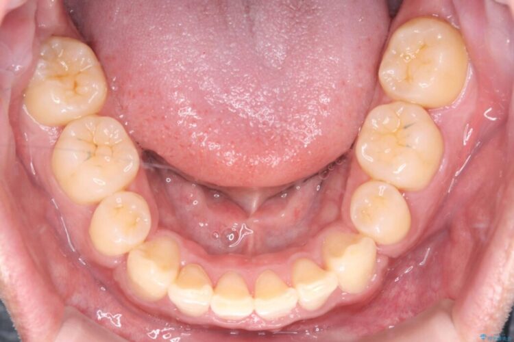
治療後について
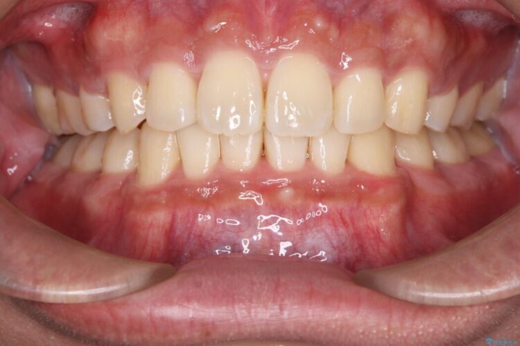
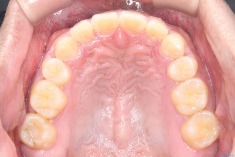
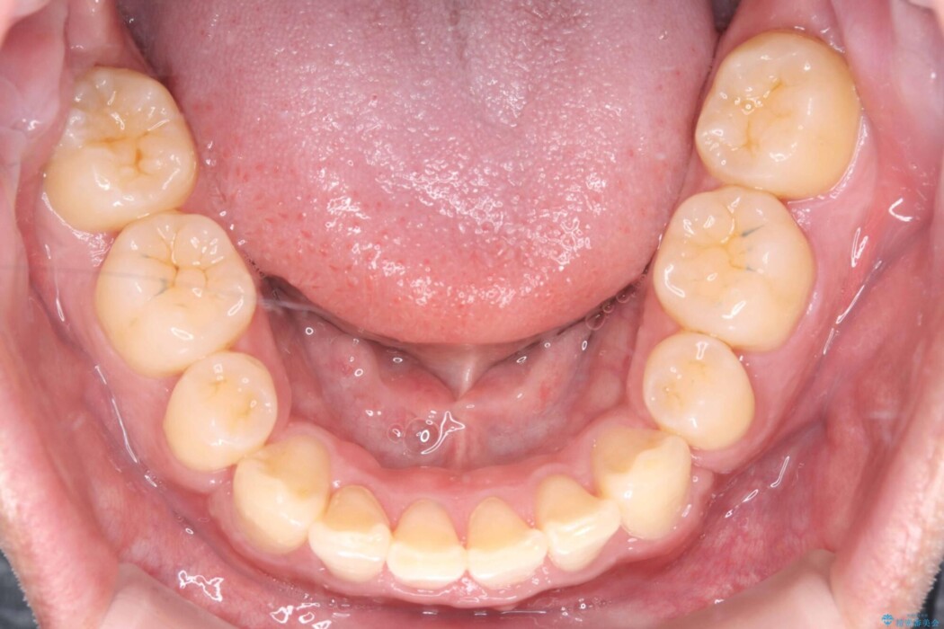
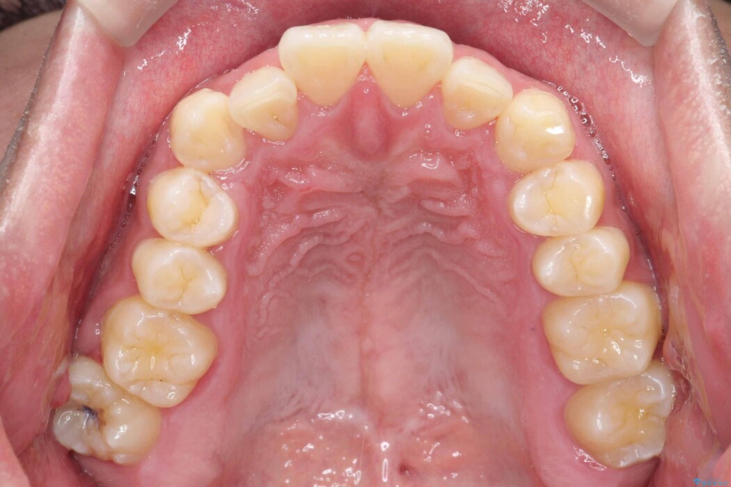
約3年の治療期間を経て、歯並びだけでなく、口元の突出感やかみ合わせも改善し、全体的にバランスの取れた自然な仕上がりとなりました。
ワイヤー矯正の注意事項(リスク・副作用など)
- 治療中は違和感や痛みが起こることがあります
- 症状により、抜歯が必要な場合があります
- 治療中は歯磨きがしにくくなるため、虫歯や歯周病になりやすくなります
- 矯正治療後の保定が不十分だと後戻り(元の位置に戻ろうとする動き)をします
- 自費診療(保険適用外)となります









