前歯のかみ合わせを改善したい
治療概要
- 患者様:30代女性
- 治療期間:1年6ヶ月
- 治療回数:10~30回
- 概算治療費:80万円
※費用は治療当時の料金となります - 担当医:河口智英
治療動機
前歯のかみ合わせに違和を感じなおしたいとのことで来院されました。
治療計画
検査をしたところ噛み合わせのズレに加えて歯周病も併発していました。
よって歯牙への負担が少なくなるように慎重に治療計画を立てました。
まずは歯周病の治療に専念し、その後インビザラインの矯正治療へ移ることとしました。
本症例では歯周治療に半年ほど時間をかけています。
治療後について
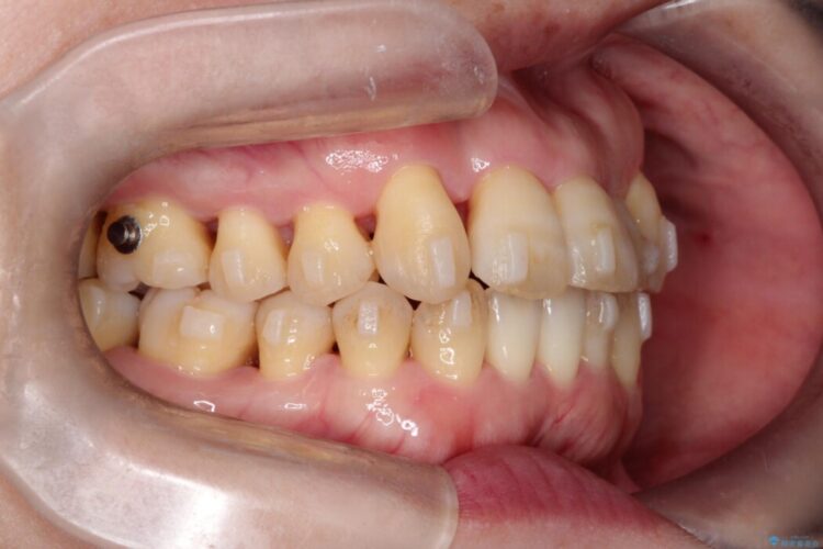
ガタガタだった前歯も整いきれいなアーチとなり、噛み合わせも改善されました。
マウスピース矯正の注意事項(リスク・副作用など)
- 口腔内・歯並びの状態によっては対応できない場合があります
- マウスピース型矯正装置の長時間装着(1日20時間以上)が必須です
- 治療計画通りに進めるためには、患者様の意志が重要になります
- 矯正治療後の保定が不十分だと後戻り(元の位置に戻ろうとする動き)をします
- 薬機法対象外の矯正歯科装置のため医薬品副作用被害救済制度の対象外となる場合があります
- 自費診療(保険適用外)となります
歯周病治療の注意事項(リスク・副作用など)
- 外科手術のため、術後に痛みや腫れ、違和感を伴います
- 歯周組織再生治療は患者様の状態によって術後の経過が異なります(見た目が改善しない場合もあります)
- 歯周組織再生治療は自費診療(保険適用外)となります















