【インビザライン】未萌出の永久歯と八重歯をなおしたい。
治療概要
- 患者様:10代女性
- 治療期間:3年
- 治療回数:30回以上
- 矯正装置:インビザライン
- 概算治療費:85万円
※費用は治療当時の料金となります - 担当医:河口智英
治療動機
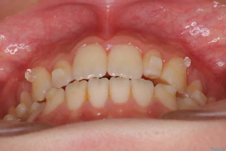
八重歯と永久歯の未萌出(全てまたは一部が、顎の骨や歯肉の中に埋まって出ていない歯のこと)を主訴に来院されました。
治療計画
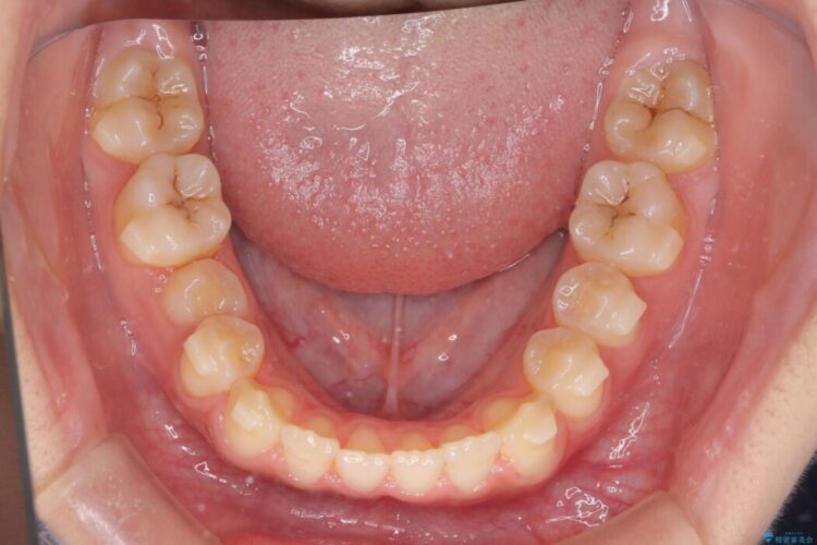
インビザラインにて萌出スペースを確保し、途中でワイヤー装置にて配列を行いました。
治療後について
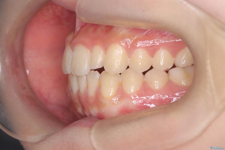
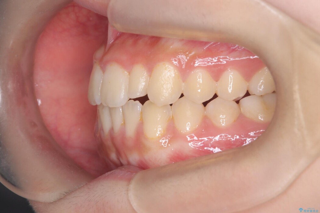
期間は長くかかりましたが、綺麗な歯列弓となりとても満足していただきました。
治療について
乳歯が早期に脱落をすると、今回のケースのように永久歯の萌出スペースがなくなります。
早めに矯正で整えることによって、きれいな歯並びを得ることができます。
マウスピース矯正の注意事項(リスク・副作用など)
- 口腔内・歯並びの状態によっては対応できない場合があります
- マウスピース型矯正装置の長時間装着(1日20時間以上)が必須です
- 治療計画通りに進めるためには、患者様の意志が重要になります
- 矯正治療後の保定が不十分だと後戻り(元の位置に戻ろうとする動き)をします
- 薬機法対象外の矯正歯科装置のため医薬品副作用被害救済制度の対象外となる場合があります
- 自費診療(保険適用外)となります
ワイヤー矯正の注意事項(リスク・副作用など)
- 治療中は違和感や痛みが起こることがあります
- 症状により、抜歯が必要な場合があります
- 治療中は歯磨きがしにくくなるため、虫歯や歯周病になりやすくなります
- 矯正治療後の保定が不十分だと後戻り(元の位置に戻ろうとする動き)をします
- 自費診療(保険適用外)となります


















