ワイヤー矯正とインビザラインの併用で重度のガタつきの改善
治療概要
- 患者様:30代女性
- 治療期間:3年
- 治療回数:30回以上
- 矯正装置:ワイヤー矯正+インビザライン
- 概算治療費:100万円
※費用は治療当時の料金となります - 担当医:河口智英
治療動機
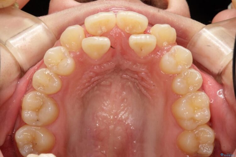
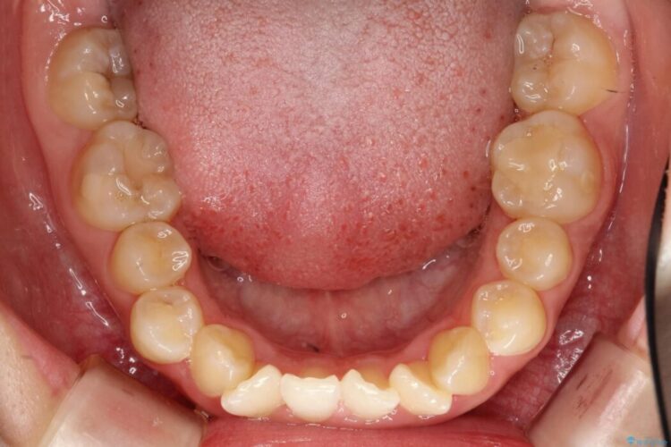
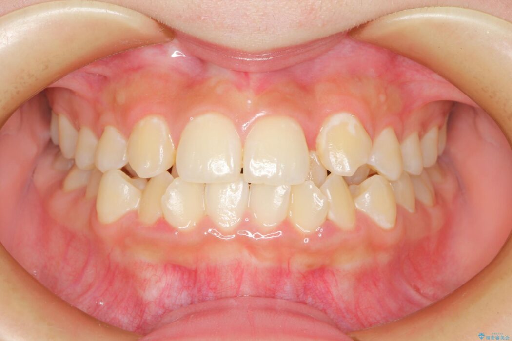
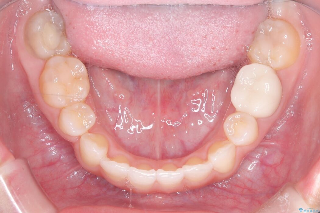
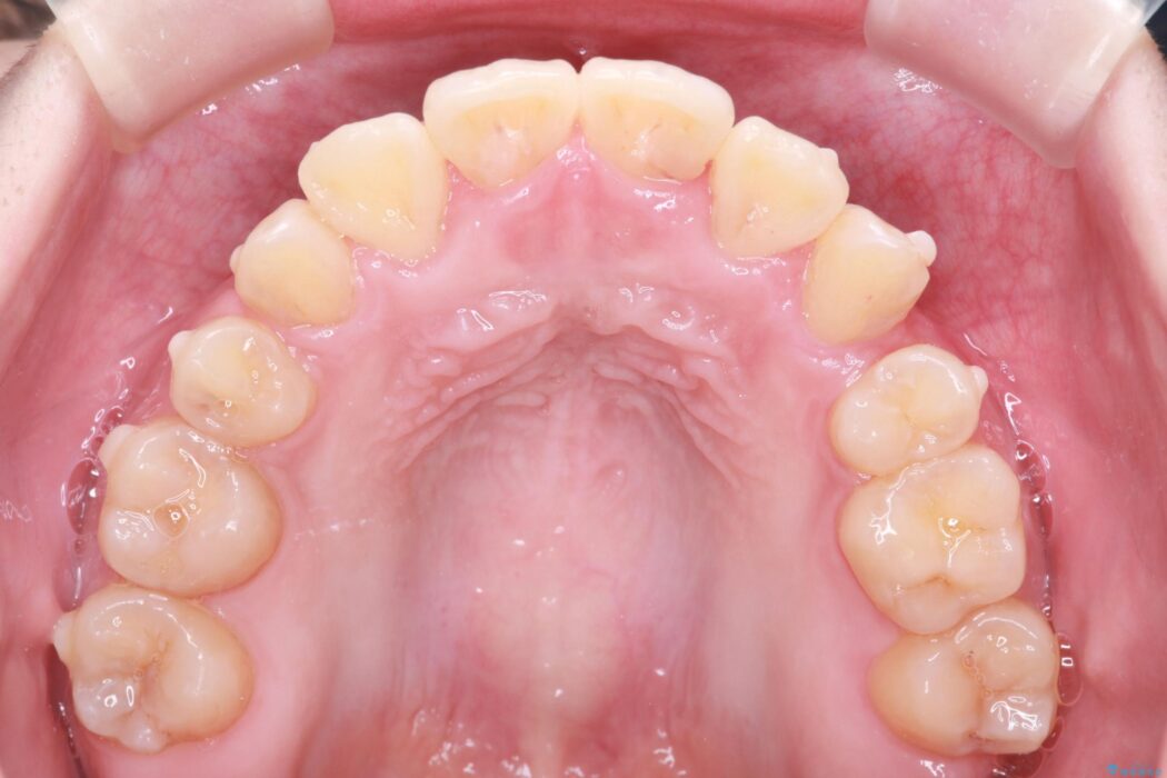
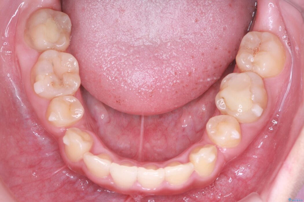
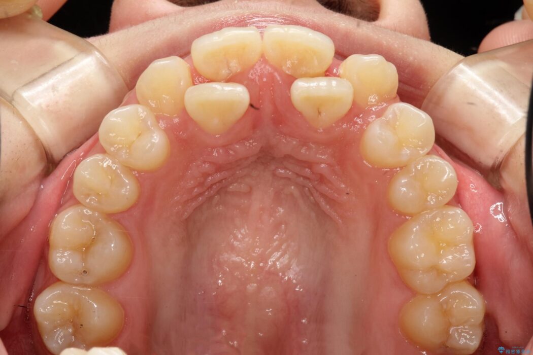
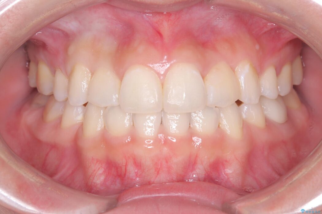
上下の前歯に激しい段差のある重度の叢生でした。
治療計画
精密検査の結果、歯をきれいに並べるためのスペースが圧倒的に不足していたため、上下左右の第一小臼歯を計4本抜歯する計画を立案しました。
まず抜歯した大きなスペースを効率よく使い、歯の根元から大きく動かす必要があるため、初期段階にワイヤー矯正を採用。その後、細かな噛み合わせの調整や仕上げにインビザラインを使用する「ハイブリッドな矯正治療」で、期間の短縮と精度の高い仕上がりを目指しました。
治療後について
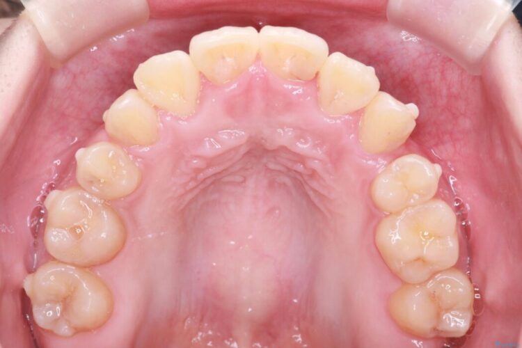
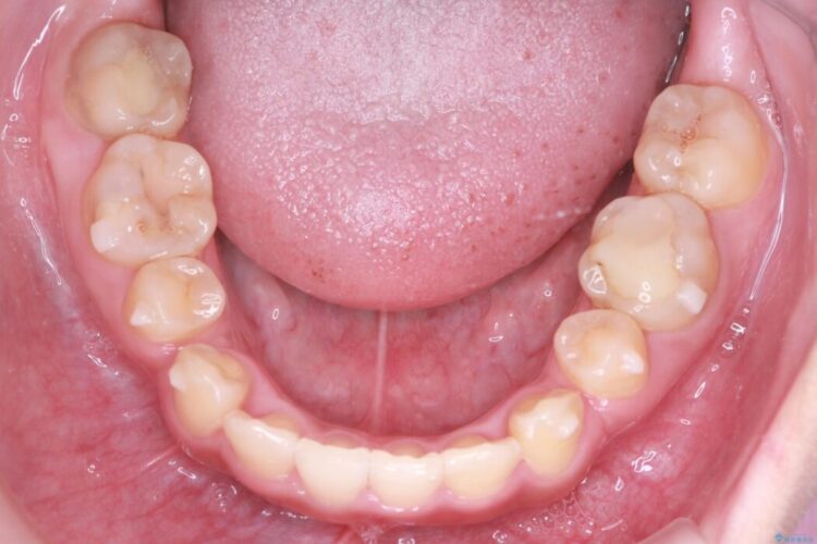
各装置の強みを活かした「2ステップ治療」で、効率的に仕上げました。
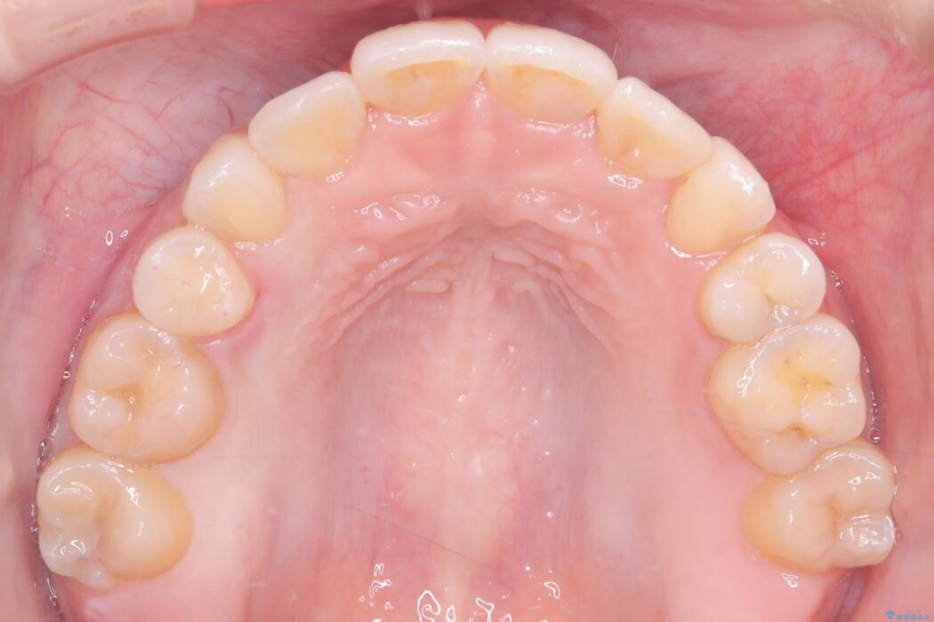
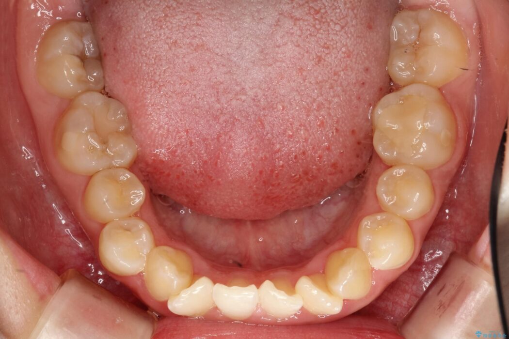
ワイヤー矯正: 重度のがたつきやねじれをスピーディーに解消し、抜歯したスペースへ歯を大きく移動させました。
インビザライン: 仕上げにマウスピースを使用し、0.1mm単位で微調整。最終的な噛み合わせを緻密に整えました。
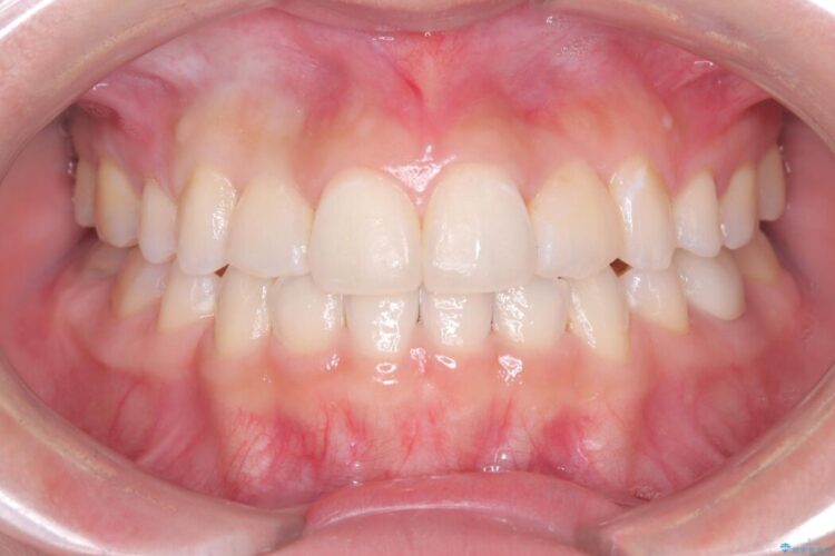
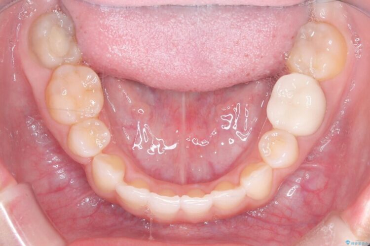
がたつきは解消され、抜歯跡もきれいに閉じました。ワイヤーの「移動力」とインビザラインの「正確性」を組み合わせ、審美性と機能性を兼ね備えた美しい歯並びを実現しました。
マウスピース矯正の注意事項(リスク・副作用など)
- 口腔内・歯並びの状態によっては対応できない場合があります
- マウスピース型矯正装置の長時間装着(1日20時間以上)が必須です
- 治療計画通りに進めるためには、患者様の意志が重要になります
- 矯正治療後の保定が不十分だと後戻り(元の位置に戻ろうとする動き)をします
- 薬機法対象外の矯正歯科装置のため医薬品副作用被害救済制度の対象外となる場合があります
- 自費診療(保険適用外)となります









