食べ物を噛んだ時に歯がしみる、ズキズキ痛む、長引く痛み。不可逆性歯髄炎の治療
治療概要
- 患者様:50代男性
- 治療期間:2ヶ月
- 治療回数:2~5回
- 概算治療費:12万円
※費用は治療当時の料金となります - 担当医:河口智英
治療動機
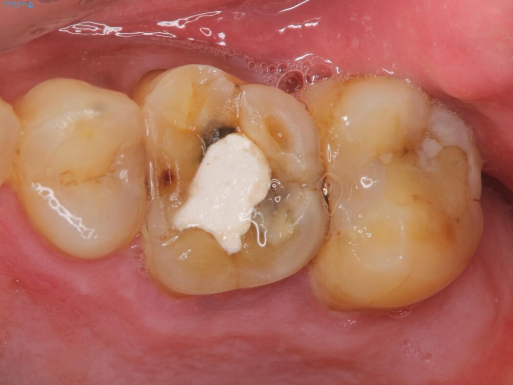
食事の際に歯がしみてしまう、また最近になって何もしていないのにズキズキ痛んだり長引いている痛みがある、とのことで来院されました。
治療計画
検査をしたところ不可逆性歯髄炎と認めました。
虫歯を取り除いてみると深いクラックラインが明確に確認できたため、全て除去して抜髄処置を行う方針としました。
治療後について
本症例では自費での根管治療を行いました。
当院での精密根管治療は自由診療になります。
保険治療と違ってマイクロスコープという最大30倍も拡大が可能な顕微鏡を使用し時間をかけて丁寧に治療します。
保険治療では使用できる材料や器具に制限があり成功率が低く、また再治療のリスクが高く、最終的に抜歯となってしまう可能性があります。長く歯を残しておきたいというご希望がある方は自費での根管治療をおすすめいたします。
根管治療の注意事項(リスク・副作用など)
- 根管治療により類似の全ての症例の問題が解決するわけではなく、症例はあくまでも一例です
- 根管治療により痛みや腫れがひかない事や、術後に痛みや腫れが生じる事、治療によるファイル破折やパーフォレーションなどの偶発症、術後の歯根破折を生じる可能性もあります
- 自費診療(保険適用外)となります










