軽度の叢生をインビザラインで整える
治療概要
- 患者様:20代女性
- 治療期間:1年2ヶ月
- 治療回数:10~30回
- 矯正装置:インビザライン
- 概算治療費:75万円
※費用は治療当時の料金となります - 担当医:河口智英
治療動機
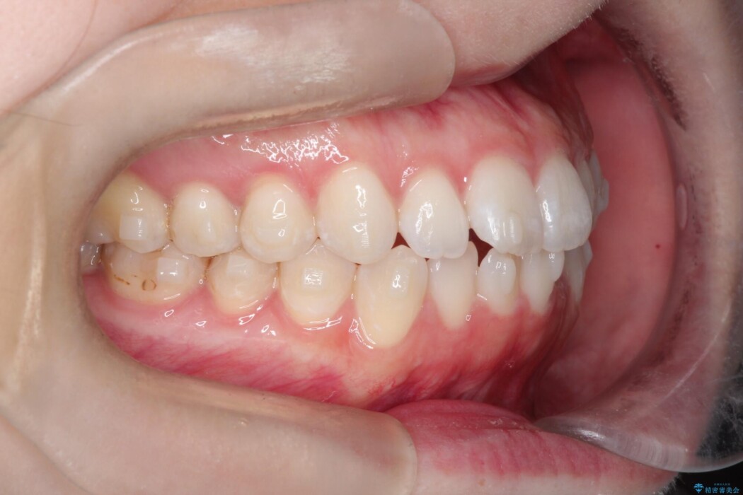
上顎下顎どちらの前歯もガタつきが気になっており改善したいとの主訴で来院されました。
治療計画
インビザラインは奥歯を後ろへ移動させる動きを得意としています。奥歯を動かすことで、軽度の叢生などの歯列不正を改善するスペースを確保できます。
治療後について
主訴である前歯のガタつきが整ってきれいなアーチとなり、とてもご満足いただけました。
マウスピース矯正の注意事項(リスク・副作用など)
- 口腔内・歯並びの状態によっては対応できない場合があります
- マウスピース型矯正装置の長時間装着(1日20時間以上)が必須です
- 治療計画通りに進めるためには、患者様の意志が重要になります
- 矯正治療後の保定が不十分だと後戻り(元の位置に戻ろうとする動き)をします
- 薬機法対象外の矯正歯科装置のため医薬品副作用被害救済制度の対象外となる場合があります
- 自費診療(保険適用外)となります















