上顎前突と正中離開のインビザライン矯正治療
治療概要
- 患者様:20代男性
- 治療期間:2年
- 治療回数:10~30回
- 矯正装置:インビザライン
- 概算治療費:85万円
※費用は治療当時の料金となります - 担当医:河口智英
治療動機
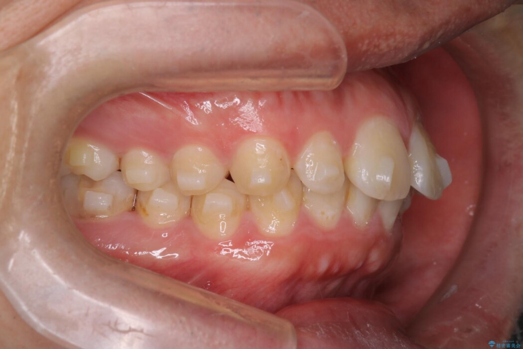
前歯中央の隙間と前に歯が出ていることを改善したいと来院されました。
治療計画
正中離開(上の前歯中央の間に隙間があいている状態)は左右の歯を寄せることで隙間をなくし、IPRを用いてスペースを確保しつつインビザラインにて並べることとしました。
治療後について
主訴である前歯中央の隙間は埋まり、前突も下げることができました。また審美的にもきれいな歯並びに仕上がって患者様にご満足いただけました。
舌側に倒れこんでいた奥歯の傾きも矯正したことにより正常角度になり、噛み合わせも改善しています。
マウスピース矯正の注意事項(リスク・副作用など)
- 口腔内・歯並びの状態によっては対応できない場合があります
- マウスピース型矯正装置の長時間装着(1日20時間以上)が必須です
- 治療計画通りに進めるためには、患者様の意志が重要になります
- 矯正治療後の保定が不十分だと後戻り(元の位置に戻ろうとする動き)をします
- 薬機法対象外の矯正歯科装置のため医薬品副作用被害救済制度の対象外となる場合があります
- 自費診療(保険適用外)となります















