前歯の凸凹をインビザラインできれいなアーチに
治療概要
- 患者様:20代女性
- 治療期間:2年
- 治療回数:10~30回
- 矯正装置:インビザライン
- 概算治療費:85万円
※費用は治療当時の料金となります - 担当医:河口智英
治療動機
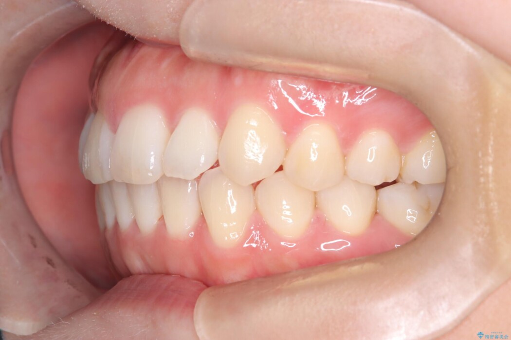
前歯のガタつきを治療したいとのことで来院されました。
治療計画
上顎前歯が前方に少し倒れていることに加え、軽度のガタつき(叢生)を確認しました。
まず臼歯部の遠心移動を行い、前歯が出ないように気を付けながらインビザラインにて歯並びを整える矯正治療をすることとしました。
また今回は歯の移動をサポートするため、顎間ゴムの着用をしていただきました。
治療後について
顎間ゴムは遠心移動をする際の補助装置となります。
しっかりと装置を着用をしていただけたため、きれいな仕上がりとなりました。
マウスピース矯正の注意事項(リスク・副作用など)
- 口腔内・歯並びの状態によっては対応できない場合があります
- マウスピース型矯正装置の長時間装着(1日20時間以上)が必須です
- 治療計画通りに進めるためには、患者様の意志が重要になります
- 矯正治療後の保定が不十分だと後戻り(元の位置に戻ろうとする動き)をします
- 薬機法対象外の矯正歯科装置のため医薬品副作用被害救済制度の対象外となる場合があります
- 自費診療(保険適用外)となります















