【非抜歯】凸凹な前歯をインビザラインで歯列矯正
治療概要
- 患者様:20代男性
- 治療期間:2年
- 治療回数:10~30回
- 矯正装置:インビザライン
- 概算治療費:75万円
※費用は治療当時の料金となります - 担当医:河口智英
治療動機
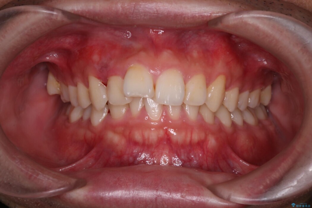
前歯のガタつきを改善したいとのことで他院にて相談をしたところ抜歯矯正を提案され、患者様としては非抜歯での治療をご希望とのことで来院されました。
治療計画
検査したところ叢生量などを考慮し当院の判断として非抜歯での治療が可能と判断しました。
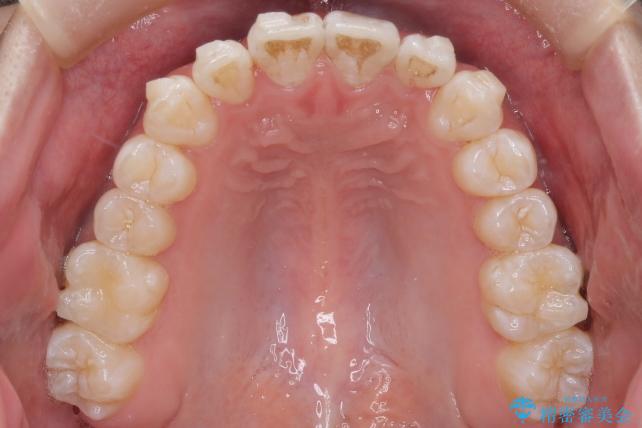
特に下顎前歯の叢生(がたつき)につきましては、きれいに配列させるだけのスペースが現状なかったため、遠心移動とIPR(歯と歯の間を少し削る)を行うことで確保しました。
治療後について
インビザラインは1日に20~22時間の装着が必要です。
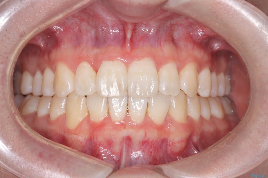
患者様の意識も高くしっかりと装着していただけたため、計画通りのきれいな歯列弓となりました。仕上がりにとてもご満足いただけました。
もし他院で抜歯矯正の判断がされても状態によっては非抜歯での矯正治療が可能な場合もありますので、ぜひ一度ご相談ください。
マウスピース矯正の注意事項(リスク・副作用など)
- 口腔内・歯並びの状態によっては対応できない場合があります
- マウスピース型矯正装置の長時間装着(1日20時間以上)が必須です
- 治療計画通りに進めるためには、患者様の意志が重要になります
- 矯正治療後の保定が不十分だと後戻り(元の位置に戻ろうとする動き)をします
- 薬機法対象外の矯正歯科装置のため医薬品副作用被害救済制度の対象外となる場合があります
- 自費診療(保険適用外)となります















