空隙歯列(すきっ歯)の矯正治療
治療概要
- 患者様:20代男性
- 治療期間:1年6ヶ月
- 治療回数:10~30回
- 矯正装置:インビザライン
- 概算治療費:80万円
※費用は治療当時の料金となります - 担当医:河口智英
治療動機
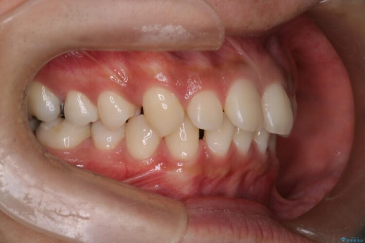
すきっ歯をなおしたいとのことで来院されました。
治療計画
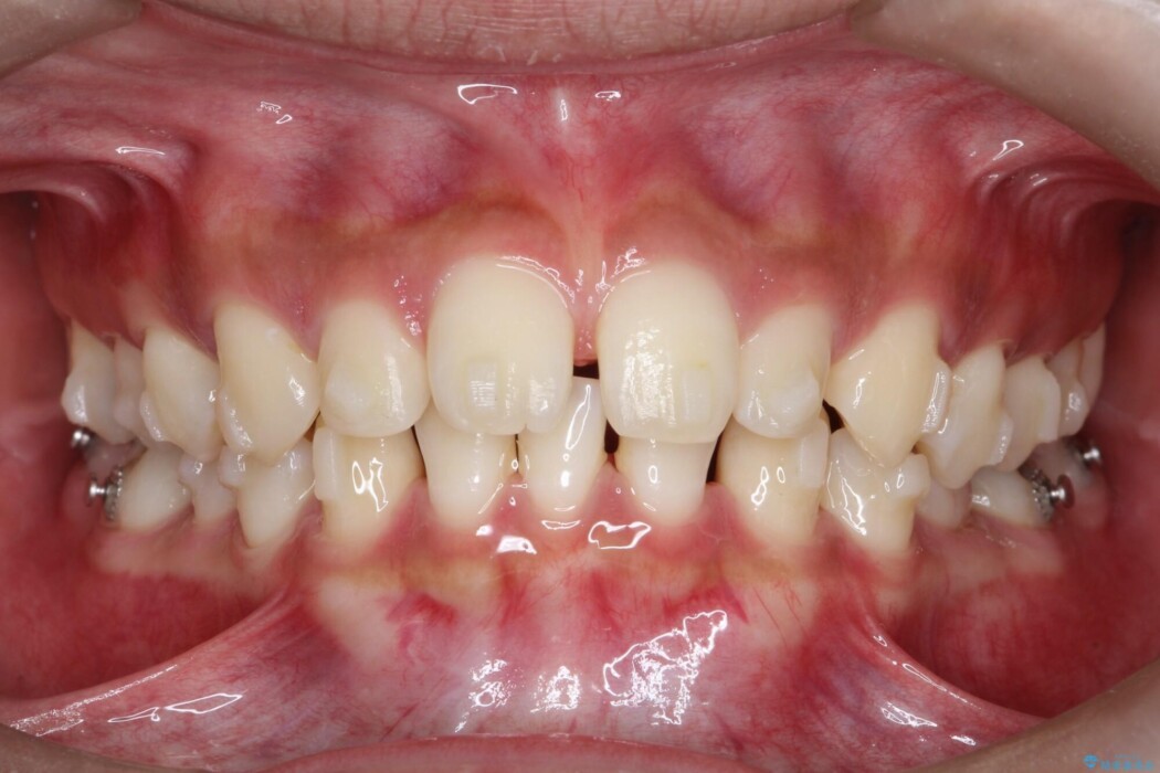
患者様のご希望によりなるべく目立たない装置をとのことでしたので、インビザラインでの矯正治療を行うこととしました。
治療後について
歯と歯の間に隙間がある歯並びのことを「空隙歯列」と呼びます。
単純に前歯の隙間を埋めるだけでは前歯に早期接触が生まれ、歯の噛み合わせがずれてしまうことがあります。
適切な計画を立てて隙間を埋めることにより、噛み合わせに問題なく審美的にも整った配列となりました。
マウスピース矯正の注意事項(リスク・副作用など)
- 口腔内・歯並びの状態によっては対応できない場合があります
- マウスピース型矯正装置の長時間装着(1日20時間以上)が必須です
- 治療計画通りに進めるためには、患者様の意志が重要になります
- 矯正治療後の保定が不十分だと後戻り(元の位置に戻ろうとする動き)をします
- 薬機法対象外の矯正歯科装置のため医薬品副作用被害救済制度の対象外となる場合があります
- 自費診療(保険適用外)となります















