前歯のガタつきを改善したい
治療概要
- 患者様:40代男性
- 治療期間:1年2ケ月
- 治療回数:5~10回
- 矯正装置:インビザライン
- 概算治療費:88万円
※費用は治療当時の料金となります - 担当医:河口智英
治療動機
前歯のガタつきを改善したいとのことで来院されました。
治療計画
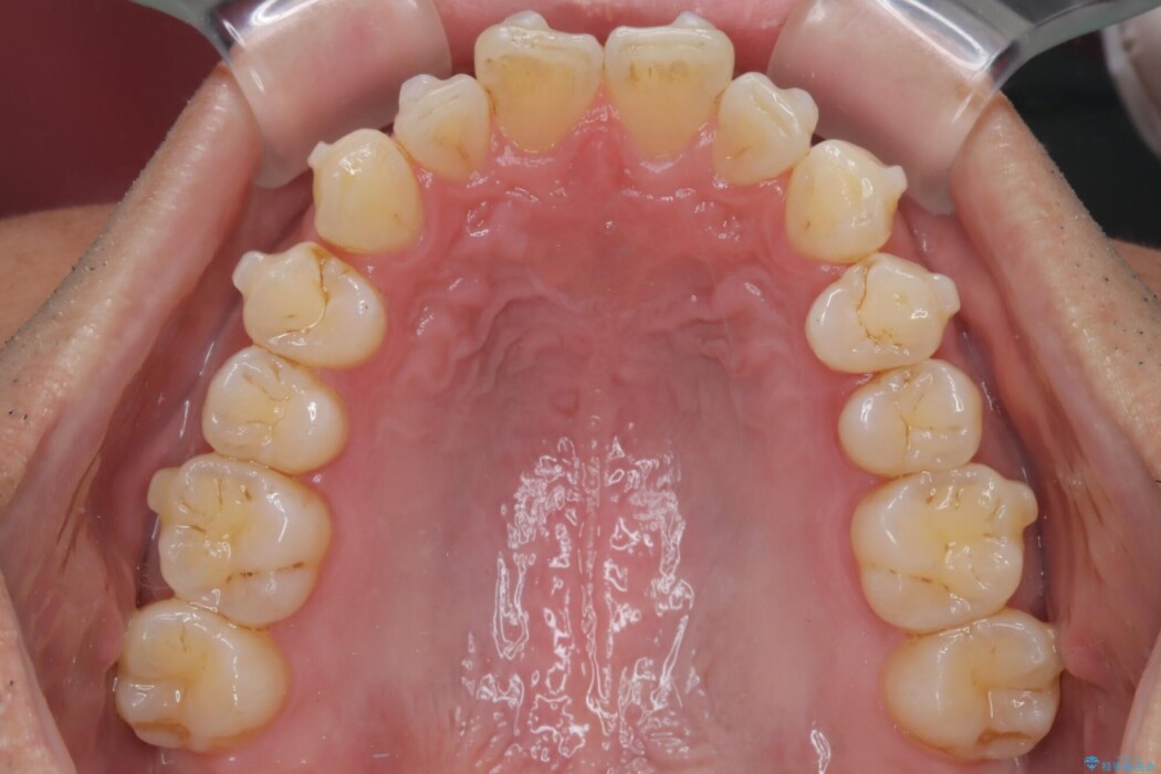
検査をしたところ、上下顎歯列の叢生に加えて下顎位が右方へ変異しておりました。
そのため外科矯正もご提案しましたが患者様のご希望によりインビザラインでの矯正治療を行うこととしました。
また、叢生改善の隙間を広げるために臼歯部の遠心移動も合わせて行い歯列を揃えました。
本症例では上顎の正中を顔のバランスを整えることを優先しております。
治療後について
叢生は改善されご満足いただける歯並びにすることができました。
マウスピース矯正の注意事項(リスク・副作用など)
- 口腔内・歯並びの状態によっては対応できない場合があります
- マウスピース型矯正装置の長時間装着(1日20時間以上)が必須です
- 治療計画通りに進めるためには、患者様の意志が重要になります
- 矯正治療後の保定が不十分だと後戻り(元の位置に戻ろうとする動き)をします
- 薬機法対象外の矯正歯科装置のため医薬品副作用被害救済制度の対象外となる場合があります
- 自費診療(保険適用外)となります




















