前歯の凸凹をマウスピース矯正で治す
治療概要
- 患者様:20代女性
- 治療期間:1年6ヶ月
- 治療回数:10~30回
- 矯正装置:インビザライン
- 概算治療費:80万円
※費用は治療当時の料金となります - 担当医:河口智英
治療動機
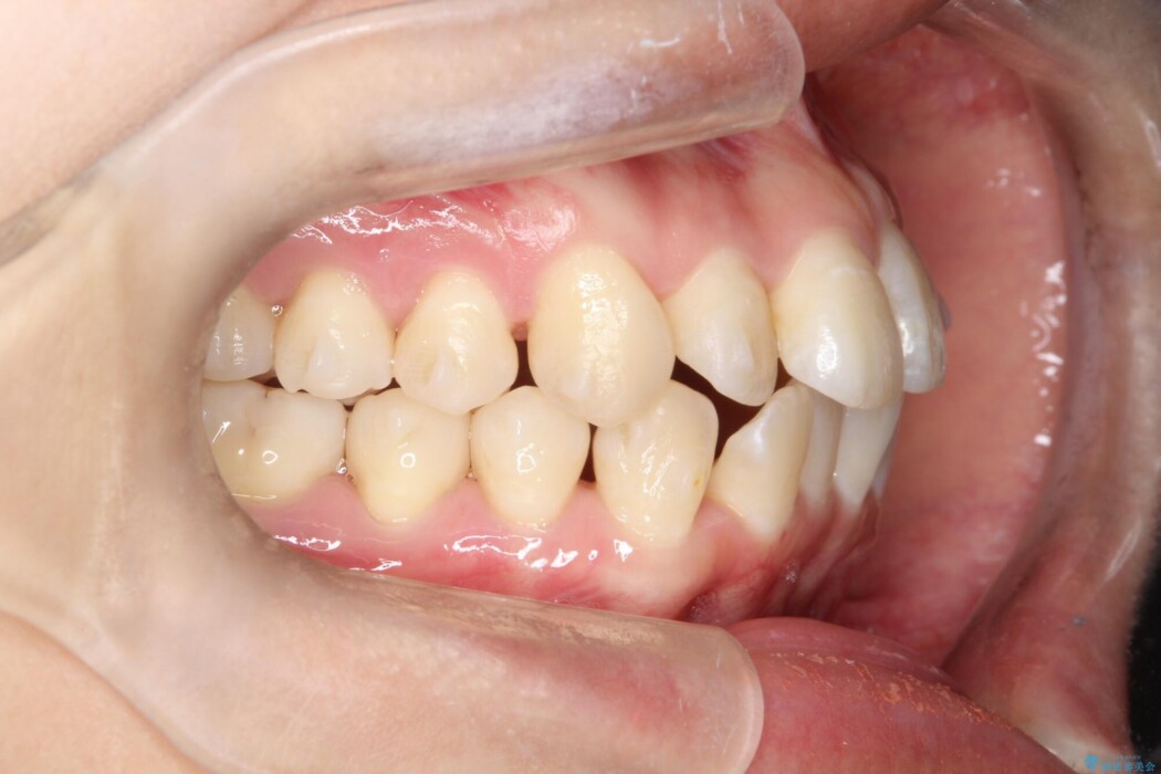
前歯の凸凹が気になり、矯正歯科治療の相談でご来院されました。
治療計画
検査した結果、非抜歯でのインビザラインによる治療が適用となるケースであったためアライナー矯正をご提案しました。
治療後について
前歯の凸凹(叢生)は抜歯ケースになることも多いですが、IPR(歯と歯の間を少し削ってスペースを作る処置)で歯をきれいに並べることができました。
また、患者様にしっかりとインビザラインを着用していただけたため、予定通りの期間で綺麗な仕上がりとなりました。
下顎右7番はインビザライン治療と並行してメタルフリー治療を行っております。
マウスピース矯正の注意事項(リスク・副作用など)
- 口腔内・歯並びの状態によっては対応できない場合があります
- マウスピース型矯正装置の長時間装着(1日20時間以上)が必須です
- 治療計画通りに進めるためには、患者様の意志が重要になります
- 矯正治療後の保定が不十分だと後戻り(元の位置に戻ろうとする動き)をします
- 薬機法対象外の矯正歯科装置のため医薬品副作用被害救済制度の対象外となる場合があります
- 自費診療(保険適用外)となります

















