過蓋咬合(ディープバイト)をインビザラインで治療する
治療概要
- 患者様:20代女性
- 治療期間:1年6ヶ月
- 治療回数:10~30回
- 矯正装置:インビザライン
- 概算治療費:100万円
※費用は治療当時の料金となります - 担当医:河口智英
治療動機
深い噛み合わせを改善したいとのことでご来院されました。
治療計画
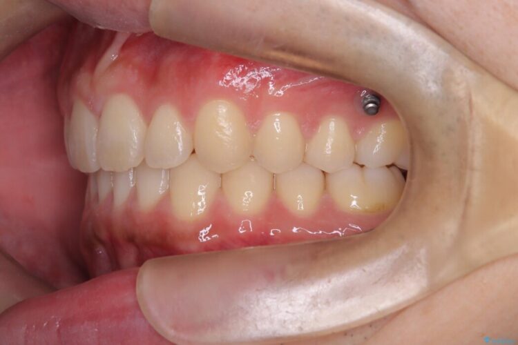
検査をした結果、アンカースクリューを用いて遠心移動を行いながら前歯部の圧下を行うインビザラインを併用する治療をご提案しました。
治療後について
適切な設計を行うことでディープバイトが改善され下顎の前歯が見えるようになり、患者様には喜んでいただけました。
マウスピース矯正の注意事項(リスク・副作用など)
- 口腔内・歯並びの状態によっては対応できない場合があります
- マウスピース型矯正装置の長時間装着(1日20時間以上)が必須です
- 治療計画通りに進めるためには、患者様の意志が重要になります
- 矯正治療後の保定が不十分だと後戻り(元の位置に戻ろうとする動き)をします
- 薬機法対象外の矯正歯科装置のため医薬品副作用被害救済制度の対象外となる場合があります
- 自費診療(保険適用外)となります

















